Manifestations à Distance des Foyers Bucco-Dentaires : Ce que Votre Bouche Révèle sur Votre Santé Générale
Introduction : Votre bouche, miroir de votre santé systémique
Saviez-vous qu’un simple granulome apical non traité peut déclencher une inflammation articulaire, des vertiges persistants, voire contribuer à une endocardite bactérienne ? Ce phénomène, connu sous le nom de manifestation à distance des foyers bucco-dentaires, est au cœur d’une collaboration indispensable entre chirurgiens-dentistes et médecins spécialistes.
Selon l’OMS, plus de la moitié des adultes de la région européenne souffrent d’une maladie bucco-dentaire significative — la prévalence la plus élevée au monde. Pourtant, en France, seulement 43 % des Français consultent un chirurgien-dentiste chaque année, et 40 % ne prennent rendez-vous qu’en cas d’urgence.

Ces chiffres illustrent un paradoxe inquiétant : on sous-estime l’impact systémique des infections dentaires, alors même que la bouche est l’une des portes d’entrée les plus actives de l’organisme. Cet article vous propose une exploration complète et cliniquement rigoureuse de ces manifestations à distance, de leurs mécanismes, de leurs formes cliniques, et de la conduite à tenir face à elles.
1. Terminologie : Accidents Septiques et Aseptiques
Avant d’entrer dans le vif du sujet, il est essentiel de distinguer deux grandes catégories de manifestations à distance.
1.1 Les Accidents Septiques
Il s’agit d’accidents de type bactériémique ou septicémique. Une lésion locale chronique — la « maladie ou foyer primaire » — est susceptible de provoquer, par le biais du même micro-organisme, une maladie secondaire dans un organe distant. C’est ce que l’on désigne par la notion de métastase microbienne.
1.2 Les Accidents Aseptiques
Ces accidents ne génèrent pas de foyers métastatiques infectieux. Ils se divisent en deux sous-groupes :
- De type neuro-végétatif ou allergique, dont le diagnostic repose essentiellement sur la clinique.
- De type réflexe, sans signes généraux associés, souvent sous-diagnostiqués.

ResiDentaire™ | Plateforme de QCM Médecine Dentaire ResiDentaire
2. Les Foyers Primaires Bucco-Dentaires en Cause
Les foyers bucco-dentaires primaires susceptibles d’engendrer des manifestations à distance sont bien identifiés. On retrouve notamment :
- Les infections du complexe pulpo-apical : pulpites, mortifications pulpaires, polypes pulpaires.
- Les desmodontites aiguës et chroniques.
- Les granulomes apicaux et kystes radiculo-dentaires.
- Les dents incluses, surnuméraires et apex résiduels.
- Les accidents d’évolution des dents de sagesse : péricoronarites.
- Les parodontites et gingivites chroniques.

Ces foyers infectieux bucco-dentaires peuvent également retarder la mise en œuvre de traitements médicaux importants, comme certaines chimiothérapies, des immunosuppresseurs ou des bisphosphonates, ainsi que certaines interventions chirurgicales programmées comme la pose de prothèse orthopédique.
Pour limiter le développement de ces foyers, un brossage rigoureux et régulier reste la première ligne de défense. Une brosse à dents électrique comme l’Oral-B Pro 3, dotée du mouvement oscillo-rotopulsé recommandé par les dentistes, contribue efficacement à réduire la plaque bactérienne périapicale et gingivale.
3. Pathogénie : Comment le Foyer Dentaire Agit à Distance ?
Plusieurs mécanismes sont avancés pour expliquer l’impact systémique des foyers bucco-dentaires.
3.1 La Théorie Infectieuse
Le passage transitoire de bactéries dans le sang — la bactériémie — peut survenir à la faveur d’une plaie muqueuse ou à partir d’un foyer microbien. La déglutition du pus entraîne le passage des germes dans la circulation générale, et l’inhalation de pus peut être à l’origine d’infections pulmonaires.
Les toxines bactériennes libérées localement peuvent également circuler dans le sang et provoquer des troubles à distance — c’est la théorie toxinique.
3.2 La Théorie Immuno-Allergique
Les pathologies secondaires peuvent résulter de réactions immunitaires ou allergiques. Les complexes immuns circulants, produits par les antigènes bactériens présents dans la circulation, peuvent s’accumuler dans les articulations ou dans les reins lorsqu’ils forment des complexes lourds avec les anticorps de l’organisme.

3.3 La Théorie Réflexe Neurovégétative
Le mécanisme réflexe neurovégétatif s’explique par l’interconnexion étroite entre le nerf trijumeau, qui innerve les dents, et les fibres du système nerveux autonome — sympathique et parasympathique.
Le nerf trijumeau (V) se divise en trois branches à partir du ganglion de Gasser : le nerf ophtalmique de Willis, le nerf maxillaire supérieur et le nerf mandibulaire. Par ses fibres terminales, il assure la totalité de la sensibilité gingivo-dentaire. Toute irritation chronique de ce nerf peut donc se répercuter dans des territoires anatomiques éloignés de la cavité buccale.
4. Les Manifestations à Distance : Tableau Clinique Complet
4.1 Manifestations Septiques
Les accidents septiques englobent notamment :
- Les septicémies et bactériémies post-soins.
- Les endocardites bactériennes (maladie d’Osler), particulièrement redoutées chez les patients porteurs de valvulopathies.
- Les thrombophlébites crânio-faciales.
- Les arthrites septiques à distance, notamment sur prothèse articulaire.

4.2 Manifestations Aseptiques Inflammatoires
Le patient présente souvent une symptomatologie générale discrète mais persistante : pâleur, asthénie, légère anémie, amaigrissement progressif. La température est variable, sans frissons. Le bilan biologique révèle une VS élevée et un taux de fibrinogène augmenté, alors que l’hémoculture reste négative — signe distinctif clé par rapport aux formes septiques.
Parmi les formes cliniques décrites :
- Uvéites et iritis
- Néphrites chroniques
- Atteintes vasculaires
4.3 Troubles Réflexes à Distance
Certaines manifestations ont été rapportées à des foyers bucco-dentaires : hyperesthésie cutanée, hyperthermie, érythrose faciale, hyperhidrose, névralgie ophtalmique, blépharospasme, larmoiement, conjonctivite hyperhémique, otalgies, troubles de l’audition et de l’équilibration, vertiges, bourdonnements d’oreille, troubles de la sécrétion des larmes ou de la salive, dépilation diffuse et pelade.

Ces troubles se déclinent en plusieurs catégories :
Troubles moteurs : principalement la paralysie faciale périphérique d’origine dentaire.
Troubles algiques : l’algie est le signe le plus courant d’excitation pulpaire. La douleur peut rester localisée ou irradier à distance selon les branches du trijumeau.
Troubles articulaires : des tendinites récidivantes sans cause mécanique évidente doivent systématiquement faire évoquer une origine dentaire.
Troubles de la vie pilaire : ralentissement de la croissance pilaire, dépilation diffuse, pelade.
Troubles auriculaires : otalgies réflexes, vertiges, hypoacousie.
Troubles glandulaires : dysfonctionnement des glandes salivaires, lacrymales ou sudoripares.
5. Quelle Solution d’Hygiène Bucco-Dentaire Vous Convient le Mieux ?
Avant d’entrer dans la démarche diagnostique, il est utile de rappeler que la prévention primaire — c’est-à-dire l’élimination des foyers avant qu’ils ne deviennent chroniques — reste la stratégie la plus efficace. Le choix de la bonne routine d’hygiène joue un rôle central.
| Critère | Brosse manuelle | Brosse électrique rotative | Brosse sonique | Hydropulseur |
|---|---|---|---|---|
| Élimination de plaque | Moyenne | Excellente | Très bonne | Complémentaire |
| Facilité d’utilisation | Simple | Très simple | Simple | Modérée |
| Accès zones difficiles | Limité | Bon | Bon | Excellent |
| Soin des gencives | Dépend de la technique | Très bon | Bon | Excellent |
| Coût initial | Faible | Moyen à élevé | Moyen | Moyen à élevé |
| Idéal pour | Usage courant | Patients peu motivés | Dents sensibles | Parodontites, implants |
| Recommandé pour foyers | Non | Oui | Oui | Oui (adjuvant) |
Pour les patients à risque de foyers infectieux récurrents, l’association d’une brosse électrique de qualité comme l’Oral-B Genius X — dotée d’une intelligence artificielle qui détecte les zones mal brossées — et d’un hydropulseur comme le Waterpik Ultra WF-660EU représente la combinaison la plus efficace pour réduire l’accumulation de plaque sous-gingivale.
6. Conduite Diagnostique : Recherche du Foyer Primaire
6.1 L’Anamnèse
La chronologie est capitale : il faut établir un lien temporel entre l’apparition de la manifestation secondaire et un événement bucco-dentaire récent (extraction, soin sur dent dévitalisée, apparition d’une douleur dentaire).
6.2 L’Examen Clinique
Il comprend :
- L’examen minutieux de la muqueuse buccale.
- L’examen du système dentaire (percussion, tests de vitalité, palpation des apex).
- Un bilan radiologique : panoramique dentaire au minimum, cone beam si nécessaire.
- Un bilan biologique : VS, fibrinogène, NFS, CRP.
6.3 Établissement du Rapport de Causalité
Trois situations permettent d’établir ce lien :
- En contexte septicémique : existence d’un foyer dentaire actif, évolution favorable après suppression de la dent causale, absence d’autre porte d’entrée identifiée.
- En contexte inflammatoire : normalisation du bilan biologique après assainissement bucco-dentaire.
- En contexte réflexe : disparition des symptômes à distance après traitement du foyer primaire.
6.4 Traitement
Le traitement se décline en trois volets :
Préventif : hygiène bucco-dentaire rigoureuse, visites de contrôle bi-annuelles. Une visite régulière chez le dentiste deux fois par an est recommandée, notamment après la mise en place de matériaux prothétiques.
Curatif local : traitement conservateur (reprise d’endodontie, retraitement canalaire) ou non conservateur (avulsion) selon la valeur stratégique de la dent et l’étendue de la lésion.
Des maladies secondaires : prise en charge coordonnée avec le médecin spécialiste concerné.
6.5 Antibioprophylaxie
L’antibioprophylaxie est indiquée avant tout acte dentaire sanglant chez les patients à risque :
- Cardite rhumatismale.
- Cardiopathie à risque d’endocardite d’Osler.
- Néphropathie chronique.
- Porteurs de prothèses articulaires ou de matériaux implantaires.
7. Erreurs Fréquentes à Éviter
Erreur 1 — Supprimer la dent sans traiter la pathologie secondaire
Le problème : l’avulsion résout le foyer primaire, mais si la maladie secondaire (par exemple une néphrite ou une arthrite) n’est pas prise en charge simultanément par le spécialiste, le patient peut rester symptomatique et conclure à tort à l’inefficacité du traitement dentaire.
La bonne pratique : coordonner systématiquement la prise en charge dentaire avec le médecin référent dès le début du traitement.
Erreur 2 — Attribuer trop rapidement un symptôme à une origine dentaire
Le problème : de nombreux symptômes évoqués (vertiges, pelade, tendinites) sont plurifactoriels. Un lien de causalité hâtif peut conduire à des extractions injustifiées et retarder le diagnostic de la vraie cause.
La bonne pratique : incriminer un foyer bucco-dentaire comme étant à l’origine d’un symptôme ne doit pas être fait à la légère, mais recommander un examen bucco-dentaire dans ces circonstances n’a rien de néfaste. Le principe de précaution justifie un bilan stomatologique, mais pas une décision thérapeutique irreversible sans faisceau d’arguments convergents.
Erreur 3 — Négliger le bilan radiologique complet
Le problème : un simple examen clinique peut ne pas révéler des lésions apicales silencieuses, notamment en cas de dents dévitalisées anciennes asymptomatiques. Ces foyers « dormants » sont pourtant actifs sur le plan bactériémique.
La bonne pratique : systématiser la réalisation d’un panoramique dentaire complet chez tout patient adressé pour bilan stomatologique, complété au besoin par un cone beam ciblé.
Erreur 4 — Omettre l’antibioprophylaxie chez les patients à risque
Le problème : chez un patient porteur d’une valvulopathie ou d’une prothèse articulaire, tout acte dentaire sanglant sans couverture antibiotique préalable peut provoquer une endocardite infectieuse ou une infection périprothétique aux conséquences sévères.
La bonne pratique : se référer aux recommandations actualisées de la Société Française de Chirurgie Orale et systématiquement recueillir l’anamnèse cardiologique avant tout soin.
Erreur 5 — Sous-estimer les foyers chroniques asymptomatiques
Le problème : un granulome apical ou une parodontite chronique peuvent ne provoquer aucune douleur dentaire, mais entretenir une bactériémie chronique de bas grade responsable de manifestations systémiques insidieuses.
La bonne pratique : éduquer les patients à la réalité des foyers silencieux et renforcer l’observance des bilans de contrôle réguliers, même en l’absence de symptômes dentaires. Un dentifrice actif sur les gencives comme le Parodontax à l’acide hyaluronique peut aider à maintenir l’intégrité du joint gingivo-dentaire au quotidien.
Erreur 6 — Oublier de documenter l’évolution après suppression du foyer
Le problème : sans suivi post-thérapeutique structuré, il est impossible de confirmer le lien de causalité ni d’apporter la preuve de la guérison de la pathologie secondaire.
La bonne pratique : planifier des contrôles cliniques et biologiques à 1, 3 et 6 mois après le traitement du foyer, en coordination avec le médecin traitant.
8. Cas Cliniques Commentés
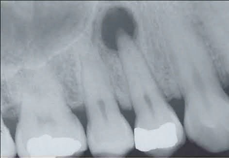
Cas Clinique 1 — Endocardite bactérienne et foyer apical silencieux
Présentation : M. A., 58 ans, cardiologue le suit pour une insuffisance mitrale modérée connue depuis dix ans. Il consulte en urgence pour une fièvre prolongée à 38,5 °C depuis trois semaines, des frissons, une fatigue intense et une perte de poids de 4 kg.
Problématique identifiée : les hémocultures reviennent positives à Streptococcus viridans — un streptocoque d’origine buccale. L’examen stomatologique révèle une dent dévitalisée en secteur 26, traitée il y a 12 ans, présentant à la radiographie un large granulome apical asymptomatique.
Prise en charge : hospitalisée, antibiothérapie par voie intraveineuse pendant 4 à 6 semaines. En parallèle, avulsion de la dent causale après stabilisation du tableau infectieux, puis assainissement bucco-dentaire complet.
Évolution : apyrexie obtenue à J18. Contrôle échocardiographique à 3 mois : pas de végétation résiduelle. Le patient est orienté vers un programme de prévention dentaire bi-annuel strict.
Point clé illustré : un foyer apical silencieux peut constituer un réservoir bactérien chronique suffisant pour déclencher une endocardite chez un patient à risque cardiaque. La coordination médecin-dentiste est ici vitale.
Cas Clinique 2 — Tendinite récalcitrante et parodontite chronique
Présentation : Mme B., 42 ans, sportive de niveau amateur, consulte pour une épicondylite latérale gauche évoluant depuis 8 mois, résistante à la physiothérapie, aux infiltrations de corticoïdes et au repos.
Problématique identifiée : lors d’un bilan systématique, le rhumatologue adresse la patiente en stomatologie. L’examen parodontal révèle une parodontite chronique de stade III, avec des poches de 5 à 7 mm en secteur postérieur mandibulaire, associée à une hygiène bucco-dentaire insuffisante.
Prise en charge : détartrage sous-gingival et surfaçage radiculaire étalés sur deux séances. Instructions d’hygiène renforcées. Le GUM Expanding Floss est recommandé pour le nettoyage interdentaire quotidien des espaces élargis par l’inflammation parodontale.
Évolution : à 3 mois, nette diminution de la symptomatologie au coude. À 6 mois, guérison complète de la tendinite, confirmée cliniquement et en élastographie. Aucune récidive à 12 mois.
Point clé illustré : la théorie immuno-allergique — avec accumulation de complexes immuns circulants dans les tendons — explique ce type de manifestation réflexe à distance d’un foyer parodontal chronique.
Cas Clinique 3 — Otalgies réflexes et dent de sagesse en péricoronarite
Présentation : M. C., 24 ans, étudiant, consulte chez son médecin généraliste pour des otalgies droites persistantes depuis 6 semaines. L’otoscopie est strictement normale. Audiogramme dans les limites de la normale.
Problématique identifiée : le médecin évoque une otalgie réflexe et adresse en stomatologie. L’examen clinique révèle une dent de sagesse inférieure droite (38) en semi-inclusion avec une péricoronarite chronique, à peine douloureuse, passée inaperçue par le patient.
Prise en charge : avulsion de la 38 sous anesthésie locale, précédée d’un rinçage au Listerine Total Care 0% alcool pour réduire la charge bactérienne péri-opératoire.
Évolution : disparition totale des otalgies à J10 post-opératoire. Aucune récidive à 6 mois.
Point clé illustré : le trijumeau, par ses connexions avec le nerf auriculo-temporal, peut projeter la douleur vers le conduit auditif externe. Une péricoronarite peu symptomatique peut être suffisante pour entretenir ce réflexe douloureux.
9. Foire Aux Questions (FAQ)
Qu’est-ce qu’une manifestation à distance d’origine dentaire exactement ? Il s’agit d’une pathologie qui affecte un organe éloigné de la cavité buccale mais dont l’origine est un foyer infectieux dentaire ou parodontal. Ce foyer primaire agit à distance via des mécanismes bactériémiques, toxiniques, immuno-allergiques ou réflexes neurovégétatifs.
Comment savoir si mes douleurs articulaires ou mes vertiges viennent de mes dents ? Le diagnostic est toujours clinique et multi-disciplinaire. Si vous présentez des symptômes systémiques inexpliqués (arthrites, otalgies, fatigue chronique, dermatoses), un bilan stomatologique complet — incluant un panoramique dentaire — est recommandé, même en l’absence de douleur dentaire évidente. La disparition des symptômes après traitement du foyer confirme rétrospectivement le lien de causalité.
Un granulome apical peut-il être asymptomatique et quand même provoquer des manifestations à distance ? Oui, c’est même le cas le plus fréquent. Les granulomes apicaux chroniques sont souvent totalement indolores car l’organisme a établi un équilibre avec le foyer infectieux. Ils peuvent néanmoins entretenir une bactériémie de bas grade et des réactions inflammatoires ou allergiques à distance. Seul le bilan radiologique permet de les détecter.
Quels patients sont les plus à risque de développer des complications à distance d’un foyer bucco-dentaire ? Les patients porteurs d’une cardiopathie valvulaire, d’une prothèse articulaire, d’une néphropathie chronique, d’un diabète mal équilibré ou en cours d’immunosuppression sont les plus vulnérables. Ces profils nécessitent une antibioprophylaxie avant tout acte dentaire invasif.
Combien de temps après le traitement du foyer dentaire les symptômes à distance disparaissent-ils ? La régression des symptômes est variable selon le type de manifestation. Pour les troubles réflexes simples (otalgies, algies faciales), la disparition peut être rapide — quelques jours à quelques semaines. Pour les manifestations inflammatoires (arthrites, néphrites), la normalisation du bilan biologique s’étale généralement sur 4 à 12 semaines après assainissement complet.
L’endocardite bactérienne peut-elle vraiment venir d’une simple extraction dentaire ? Oui. Tout acte dentaire sanglant provoque une bactériémie transitoire. Chez un patient à risque cardiaque, ces bactéries d’origine buccale peuvent se fixer sur les valves cardiaques altérées et provoquer une endocardite infectieuse. C’est pourquoi l’antibioprophylaxie pré-opératoire est une obligation médicale chez ces patients.
Est-ce que bien se brosser les dents suffit à prévenir ces manifestations ? Un brossage rigoureux bi-quotidien, idéalement associé à l’utilisation du fil dentaire et d’un bain de bouche adapté, réduit significativement le risque d’apparition de foyers infectieux primaires. Pour les patients à risque systémique, une consultation préventive chez le dentiste tous les 6 mois est recommandée. L’utilisation d’un bain de bouche Parodontax sans alcool peut aider à renforcer la barrière protectrice gingivale au quotidien.
La pélade peut-elle vraiment avoir une origine dentaire ? C’est une manifestation rare mais documentée dans la littérature. Elle s’inscrit dans le cadre des troubles réflexes de la vie pilaire liés à l’irritation chronique du nerf trijumeau. Dans ce cas, la suppression du foyer dentaire peut entraîner la repousse capillaire, bien que d’autres causes (auto-immunes, psychogènes) soient bien plus fréquentes et doivent être exclues en priorité.

ResiDentaire™ | Plateforme de QCM Médecine Dentaire ResiDentaire
Conclusion : La Bouche n’est Pas une Île
Les manifestations à distance des foyers bucco-dentaires rappellent avec force que la santé bucco-dentaire est indissociable de la santé générale. Un foyer infectieux dentaire n’est jamais anodin : il peut agir en silence, à distance, pendant des années, avant que ses conséquences systémiques ne se manifestent.
Pour les cliniciens, l’enjeu est double : savoir reconnaître une manifestation secondaire d’origine dentaire, et savoir quand et comment traiter le foyer primaire. Pour les patients, le message est clair : un examen bucco-dentaire approfondi doit être intégré à la prévention et au traitement de certaines maladies systémiques.
La prévention reste la meilleure stratégie. Hygiène quotidienne irréprochable, visites de contrôle bi-annuelles et communication proactive entre dentiste et médecin traitant — voilà les trois piliers d’une prise en charge réellement globale.
Pour aller plus loin dans votre pratique ou votre formation, le Guide clinique d’odontologie constitue une référence incontournable, tout comme le Référentiel internat en parodontologie pour les étudiants préparant les concours.
Cette page contient des liens d’affiliation Amazon. En cliquant dessus, vous n’êtes pas tenu de vous procurer les produits suggérés, mais si vous le faites, cela ne vous coûte rien de plus et m’aide à financer ce site.
Leave a Reply