Terminologie Fondamentale de la Morphologie Dentaire
Mots-clés : morphologie dentaire, terminologie dentaire, anatomie dentaire, couronne anatomique, racine dentaire, faces des dents, cuspides, sillons, fosses, odontologie, études dentaires

Introduction : Pourquoi Maîtriser la Terminologie Morphologique ?
La morphologie dentaire constitue le socle de toute formation en odontologie. Avant de poser un composite, de réaliser un soin canalaire ou de concevoir une prothèse, chaque étudiant doit posséder un vocabulaire précis et universel pour décrire les structures dentaires avec exactitude.
Ce guide a été conçu pour accompagner les étudiants dès leur première année de formation jusqu’à l’internat. Chaque terme est présenté dans son contexte clinique, avec sa définition, son usage pratique et ses nuances. Maîtriser cette terminologie, c’est non seulement réussir ses examens, mais aussi communiquer efficacement avec ses collègues et ses patients tout au long de sa carrière.
Bon à savoir : La terminologie présentée ici est conforme aux standards internationaux utilisés dans les publications scientifiques francophones et dans les annales de l’internat en odontologie.
Pour approfondir vos révisions, les Annales corrigées de l’internat en odontologie 2022-2024 constituent une référence incontournable pour mettre en pratique ces notions dans un contexte d’examen.
1. Couronne et Racine : Les Deux Grandes Divisions de la Dent
Définitions Anatomiques
La dent se divise en deux grandes entités morphologiques, séparées par une ligne de démarcation précise.
Couronne anatomique : Partie de la dent normalement recouverte d’émail. Il s’agit d’une définition structurelle, indépendante de la position gingivale ou de l’âge du patient. Elle est délimitée en apical par la jonction amélo-cémentaire (JAC).
Racine anatomique : Partie de la dent recouverte de cément. Elle représente la portion ancrée dans l’os alvéolaire via le ligament parodontal (desmodonte).
Jonction amélo-cémentaire (JAC) : Limite précise qui sépare la couronne anatomique de la racine anatomique. Cette ligne est fondamentale en parodontologie car elle constitue un repère fixe, contrairement à la gencive qui évolue avec l’âge.
Couronne clinique : Partie de la dent visible dans la cavité buccale. Sa hauteur varie selon l’état de la gencive.
Racine clinique : Partie non visible de la dent, située en dessous de la gencive. Elle correspond à ce qui est enfoui, qu’il s’agisse de la racine anatomique ou d’une partie de la couronne anatomique encore recouverte de gencive.

Variations Cliniques selon l’Âge
La relation entre couronne anatomique et couronne clinique évolue tout au long de la vie. Cette notion est essentielle pour comprendre l’évolution de l’état parodontal et adapter les soins.
Enfant de 10 ans — Dent en éruption partielle
Chez l’enfant, les dents sont souvent en éruption incomplète. La gencive recouvre encore la plus grande partie de la couronne anatomique. La couronne clinique est donc plus courte que la couronne anatomique. Ce phénomène est particulièrement visible sur les molaires permanentes en cours d’éruption.
Implication clinique : La mise en place d’une digue ou d’un crampon peut être difficile si la couronne clinique est insuffisamment exposée.
Patient de 25 ans — Situation de référence
Chez un adulte jeune avec une gencive saine, le bord gingival (ou feston gingival) suit généralement la ligne cervicale de la couronne anatomique. Couronne anatomique et couronne clinique coïncident.
Personne de 60 ans — Récession gingivale
Avec l’âge, les fibres parodontales se relâchent progressivement et la gencive a tendance à migrer en direction apicale (récession gingivale). La couronne clinique devient alors plus longue que la couronne anatomique : on observe une exposition partielle de la racine anatomique (cémentum visible). Ce phénomène explique l’hypersensibilité dentinaire fréquente chez les patients âgés.

2. Terminologie des Faces des Dents
Chaque face dentaire porte un nom précis, orienté par rapport à l’axe de la dent et à son positionnement dans la cavité buccale. Cette nomenclature est universelle et doit être utilisée systématiquement dans les observations cliniques et les comptes-rendus.
Faces Externes et Internes
Face vestibulaire (V) : Face en contact avec les joues ou les lèvres. Le terme “buccal” est synonyme et s’applique à toutes les dents, qu’elles soient antérieures ou postérieures. Pour les incisives et canines, on peut également parler de face labiale.
Face linguale (L) : Face orientée vers la langue. Ce terme s’applique à toutes les dents de la mandibule.
Attention : À l’arcade maxillaire, cette face est appelée face palatine (P), en raison de sa proximité avec le palais osseux. L’erreur de confondre “lingual” et “palatin” est fréquente lors des examens.
Face Triturante
Face occlusale : Surface masticatoire des dents postérieures (prémolaires et molaires). C’est sur cette face que s’exercent les forces de mastication.
Bord incisif (bord libre) : Surface fonctionnelle des dents antérieures (incisives). Il ne s’agit pas d’une face à proprement parler, mais d’un bord tranchant.
Faces Proximales
Face mésiale (M) : Face dirigée vers la ligne médiane du visage. La notion de “mésial” est relative et toujours définie par rapport à la ligne médiane.
Face distale (D) : Face la plus éloignée de la ligne médiane. Elle s’oppose à la face mésiale.
Points essentiels à retenir :
- Toute face mésiale est en contact avec la face distale de la dent adjacente (sauf pour la dernière dent de l’arcade).
- Pour les incisives centrales, les faces mésiales se font face de part et d’autre de la ligne médiane.
- Les faces distales de la dernière dent de chaque arcade (molaires de sagesse ou deuxième molaires si les troisièmes sont absentes) ne sont pas en contact avec une autre dent.
- Les faces proximales ne sont pas auto-nettoyantes, contrairement aux faces vestibulaires et linguales soumises à l’action des joues, de la langue et du flux salivaire.
Synthèse des Faces
| Type | Faces |
|---|---|
| Faces axiales verticales | Vestibulaire, Linguale (ou Palatine), Mésiale, Distale |
| Face horizontale | Occlusale (dents postérieures) ou Bord incisif (dents antérieures) |

3. Divisions de la Couronne et de la Racine
Pour localiser précisément une lésion, un point de contact ou une restauration, les cliniciens utilisent un système de division en tiers. Ce système permet une description standardisée, reproductible et universellement compréhensible.
Division de la Couronne
Vue horizontale (observée de face : vestibulaire, linguale, mésiale ou distale) :
- Partie cervicale : tiers le plus proche du collet.
- Partie moyenne : tiers intermédiaire.
- Partie occlusale (ou incisive pour les dents antérieures) : tiers le plus proche de la surface masticatoire.
Vue verticale (plan vestibulaire ou lingual) :
- Tiers mésial
- Tiers moyen
- Tiers distal

Vue proximale (plan mésial ou distal) :
- Tiers vestibulaire
- Tiers moyen
- Tiers lingual
Application clinique : Pour décrire une carie, on dira par exemple “lésion carieuse au tiers cervical de la face mésiale”, ce qui permet au confrère ou au technicien de prothèse de localiser immédiatement la zone concernée.
Division de la Racine
La racine est divisée en trois tiers selon un axe cervico-apical :
- Tiers cervical : zone de la furcation pour les dents pluriradiculées.
- Tiers moyen
- Tiers apical : zone vers le sommet de la racine (apex), proche du foramen apical.
4. Termes pour Décrire les Jonctions et Dimensions des Dents
Nomenclature des Angles et Lignes de Transition
Les lignes de transition entre deux faces (angles externes) sont nommées en accolant les noms des faces. La première face voit son suffixe modifié : « -al » devient « -o ».
Exemples pour une molaire :
- Occluso-mésiale
- Mésio-linguale
- Mésio-vestibulaire
- Occluso-distale
- Disto-linguale
- Disto-vestibulaire
- Occluso-vestibulaire
- Occluso-linguale
Les angles sont les points de jonction de trois faces : par exemple, l’angle mésio-occluso-vestibulaire est le point de rencontre de la face mésiale, de la face occlusale et de la face vestibulaire.
Dimensions des Dents
Les dimensions d’une dent sont décrites par les mêmes conventions :
Molaire :
- Dimension mésio-distale (largeur)
- Dimension vestibulo-linguale (profondeur)
- Dimension occluso-cervicale (hauteur)
Incisive :
- Dimension incisivo-cervicale : du bord incisif à la ligne cervicale
Racine :
- Dimension cervico-apicale : de la JAC à l’apex
5. Morphologie de la Couronne Anatomique
La couronne dentaire est un assemblage complexe de surfaces convexes et concaves, toutes dotées d’une fonction spécifique. Leur reproduction fidèle est l’enjeu principal des restaurations prothétiques et des soins conservateurs.
Structures Convexes
Les Cuspides
Les cuspides sont des élévations de forme et volume variables situées sur la face occlusale. Elles participent directement à la mastication et à l’intercuspidation (engrènement des arcades).
Classification selon les dents :
- Canines : monocuspidées (une seule cuspide)
- Prémolaires : bicuspidées (au moins deux cuspides : une vestibulaire et une ou plusieurs linguales)
- Molaires : pluricuspidées (au moins trois cuspides, dont au moins deux vestibulaires)
Nomenclature des cuspides :
Pour une prémolaire bicuspidée :
- Cuspide vestibulaire
- Cuspide linguale
Pour une molaire à quatre cuspides :
- MV : Mésio-vestibulaire
- DV : Disto-vestibulaire
- ML : Mésio-linguale
- DL : Disto-linguale

Structure d’une cuspide : Elle peut être représentée comme une pyramide quadrangulaire à quatre versants, délimitée par quatre arêtes convergentes vers la pointe cuspidienne.
Les Arêtes
Chaque cuspide présente quatre arêtes convergentes qui lui confèrent une forme arrondie :
- Arête mésiale
- Arête distale
- Arête vestibulaire (externe sur les canines)
- Arête occlusale (interne sur les dents postérieures ; linguale sur les canines)
Arêtes externes : Elles suivent une direction occluso-cervicale et sont plus prononcées sur les premières prémolaires et les canines maxillaires.
Arêtes internes : Présentes sur les cuspides principales des dents postérieures, sauf sur la cuspide mésio-palatale des molaires maxillaires (qui ne présente que trois arêtes internes).
Les Crêtes
Les crêtes sont des éminences allongées courant sur différentes faces dentaires. Elles jouent un rôle clé dans la résistance mécanique de la dent et dans le guidage occlusal.
Crêtes cuspidiennes :
- Crête mésio-distale (MD) : formée par les arêtes mésiale et distale. Elle représente le grand axe de la cuspide.
- Crête vestibulo-linguale (VL) : formée selon le type de cuspide :
- Cuspide vestibulaire : arête vestibulaire + arête occlusale
- Cuspide linguale : arête linguale + arête occlusale
- Canine : arête vestibulaire + arête linguale
Crêtes transversales et obliques :
- Crête transversale : traverse la face occlusale des dents postérieures dans une direction vestibulo-linguale. Elle relie deux cuspides opposées (une vestibulaire, une linguale).
- Crête oblique (pont d’émail) : présente sur les molaires maxillaires. Elle relie les cuspides mésio-linguale et disto-vestibulaire en diagonale. Son identification est fondamentale pour la préparation de coiffes et la réalisation d’inlays/onlays.

Crêtes marginales :
- Élévations linéaires situées sur la face occlusale des prémolaires et molaires, et sur la face linguale des incisives et canines.
- Elles délimitent la face occlusale en mésial et en distal.
- Leur reconstruction fidèle lors d’une restauration est essentielle pour rétablir les points de contact proximaux.
Les Tubercules
Les tubercules sont des élévations situées sur une face autre que l’occlusale.
- Cingulum : tubercule sur la face linguale des incisives et canines. Il constitue un point d’appui pour certains crochets de prothèse amovible.
- Tubercule de Carabelli : fréquemment observé sur la face linguale de la cuspide mésio-palatale de la première molaire maxillaire permanente. Sa présence est variable et représente un trait anatomique à valeur anthropologique.
- Tubercule de Bölk : parfois présent sur la face vestibulaire des deuxième et troisième molaires maxillaires.

Structures Concaves
Les Sillons
Les sillons sont des dépressions linéaires, étroites et prononcées que l’on retrouve principalement sur les faces occlusales, mais aussi sur les faces vestibulaires ou linguales.
Sillons principaux :
- Sillon central : direction mésio-distale. Il sépare les cuspides vestibulaires des cuspides linguales.
- Sillon périphérique : direction vestibulo-linguale. Il sépare les cuspides mésiales des cuspides distales.
Sillons accessoires :
- Présents sur les pans cuspidiens occlusaux.
- Ils subdivisent les versants cuspidiens en lobes (médian et latéraux).
- Leur rôle fonctionnel est de faciliter la mastication en permettant l’échappement des aliments lors de l’intercuspidation.
Note clinique : Les sillons, notamment leurs jonctions (fosses et fossettes), sont des sites d’élection pour les caries occlusales, car ils sont difficiles d’accès pour le brossage. Le scellement prophylactique de sillons est indiqué chez les jeunes patients à risque carieux élevé.

Les Fosses
Les fosses sont des petites dépressions ou trous sur les faces occlusales des dents pluricuspidées.
- Fosses centrales : situées au centre de la table occlusale, à l’intersection des sillons principaux.
- Fosses marginales : situées aux extrémités mésiale et distale d’un sillon principal central, à l’intersection avec une crête marginale.

Les Fossettes
Les fossettes sont des dépressions anfractueuses sur les faces vestibulaires ou linguales :
- Sur la face linguale de l’incisive latérale maxillaire (à la jonction entre cingulum et crêtes marginales) : c’est une zone de prédilection pour les caries.
- Sur la face vestibulaire des molaires (terminaison du sillon périphérique vestibulaire).
6. Le Collet Dentaire
Collet Anatomique
Définition : Ligne cervicale séparant la couronne anatomique (émaillée) de la racine anatomique (cémentée). C’est la jonction amélo-cémentaire (JAC).
Caractéristiques :
- Ligne sinueuse qui circonscrit entièrement la dent.
- Son tracé est invariable dans le temps : il ne change jamais, quelles que soient les modifications gingivales.
- Le tracé de la JAC n’est pas plan ; il décrit une courbe irrégulière, plus haute du côté mésial que du côté distal pour les dents antérieures.
Collet Physiologique
Définition : Limite entre la couronne clinique et la racine clinique, déterminée par la position du feston gingival.
Caractéristiques :
- Variable selon l’âge et les antécédents parodontaux du patient.
- Le feston gingival comble les espaces interdentaires (papilles interdentaires) et fixe la hauteur du collet physiologique.
- Lors d’une récession gingivale, le collet physiologique migre vers l’apex, exposant du cément.
7. Morphologie de la Racine Anatomique
Forme Générale
La racine est décrite comme un cône présentant :
- Une base cervicale (au niveau du collet)
- Un sommet apical (apex), muni d’un orifice : le foramen apical (ou foramen principal), par lequel passent les éléments du pédicule vasculo-nerveux (artère, veine, nerf).

La longueur radiculaire est généralement supérieure à la hauteur de la couronne. La surface radiculaire est lisse, mais peut présenter des sillons, dépressions ou crêtes qui influencent la résistance aux forces occlusales.
Forme en Coupe Axiale
La forme de la racine en section transversale varie selon les dents :
- Arrondie (canine mandibulaire)
- Ovalaire
- Aplatie dans la direction vestibulo-linguale ou mésio-distale (incisives mandibulaires)
Cette forme influe directement sur la stratégie d’instrumentation endodontique.
Forme de l’Apex
- Pointu
- Arrondi
- En crochet (déviation apicale fréquente sur les racines des dents de sagesse)

Nombre de Racines
- Monoradiculées : une seule racine (incisives, canines, parfois prémolaires)
- Pluriradiculées : plusieurs racines
Furcation :
- Bifurcation : deux racines (prémolaires mandibulaires, molaires mandibulaires)
- Trifurcation : trois racines (molaires maxillaires)
Rapports des Racines entre elles
- Séparées : axes divergents, convergents ou parallèles
- Fusionnées : racines unies sur toute leur longueur
- Accolées : racines rapprochées sans fusion véritable
8. Maximum de Convexité (Bombé)
Convexité Vestibulaire et Linguale
Définition : Le maximum de convexité (ou bombé) est le point le plus saillant d’une face axiale, le plus éloigné de l’axe central de la dent.
Rôles physiologiques du bombé :
- Guide les aliments pendant la mastication, en les éloignant du sillon gingival.
- Protège la gencive des traumatismes mécaniques directs lors de la mastication.
- Favorise l’auto-nettoyage par le flux salivaire et les mouvements des joues et de la langue.
- Éloigne les aliments de la gencive marginale pour prévenir les irritations chroniques.

Importance prothétique : Le chirurgien-dentiste doit impérativement reproduire ces convexités naturelles lors de toute restauration (composite, couronne, bridge). Un bombé insuffisant favorise la rétention alimentaire et le développement de pathologies parodontales. Un bombé excessif traumatise la gencive marginale.
Convexité Proximale (Point de Contact)
Définition : Zone d’intersection des surfaces proximales de deux dents adjacentes. Le point de contact est situé :
- Près du bord libre dans la direction verticale (sauf pour les dents postérieures).
- Près du bord vestibulaire dans la direction horizontale.
Évolution avec l’âge :
- Sujet jeune : contact punctiforme (ponctuel), sur une très petite surface.
- Sujet âgé : contact surfacique (facette de contact élargie), dû à l’attrition interproximale progressive et à la laxité des fibres parodontales qui permettent des micro-mouvements.
Rôles du point de contact :
- Stabilise la position des dents sur l’arcade (effet d’arc).
- Évite les bourrages alimentaires entre les dents (prévention des caries proximales et des parodontopathies).
- Protège les papilles gingivales en repoussant les aliments vers le vestibule ou le plancher buccal.

Importance prothétique : Le chirurgien-dentiste doit impérativement recréer un point de contact adéquat lors de toute restauration impliquant une face proximale. Un point de contact absent ou insuffisant conduit au bourrage alimentaire et à terme à une carie ou une parodontopathie localisée.
Définitions Associées aux Pertes de Tissu Dentaire
- Attrition : Perte de tissu dentaire due à des contacts dento-dentaires répétés (usure physiologique liée à la mastication ou pathologique liée au bruxisme).
- Abrasion : Perte de tissu due à des contacts non dentaires (brossage traumatique, pipette, objets durs).
- Érosion : Perte de tissu due à une attaque acide non bactérienne (reflux gastro-œsophagien, régurgitations, alimentation acide).
9. Ligne de Plus Grand Contour et Équateur Dentaire
Définition
Ligne de plus grand contour : Circonférence maximale de la dent, unissant les points les plus saillants de la couronne (les maxima de convexité de chaque face axiale). On l’appelle également équateur dentaire.
Ligne prothétique : Équateur relatif à plusieurs dents, considérant un axe d’insertion commun pour une prothèse amovible. Elle est déterminée par l’orientation choisie pour l’axe d’insertion de la prothèse.
Dépouille et Contre-Dépouille
Dépouille : Partie de la couronne au-dessus (occlusal) de la ligne de plus grand contour. C’est la zone accessible à l’insertion d’une prothèse.
Contre-dépouille : Partie de la couronne entre la ligne de plus grand contour et la gencive, avec une circonférence inférieure à celle de l’équateur. Cette zone n’est pas accessible à l’insertion d’un crochet de prothèse, mais peut être utilisée pour la rétention.
Zone cervicale : Partie entre la ligne de plus grand contour et la ligne cervicale (zone de contre-dépouille par excellence).
Le Paralléliseur
Le paralléliseur est un appareil de laboratoire qui permet de déterminer la ligne de plus grand contour en fonction d’un axe d’insertion choisi. Il est indispensable pour :
- Tracer les crochets rétenteurs d’une prothèse amovible partielle (PAP)
- Déterminer les zones de rétention et de dépouille
- Planifier les modifications coronaires nécessaires avant la réalisation d’une PAP

Pour approfondir ces notions, le Guide clinique d’odontologie offre une présentation complète des applications cliniques de ces concepts anatomiques.
10. Face et Table Occlusale
Face Occlusale
Définition : Surface délimitée par la ligne de plus grand contour, passant par les points les plus convexes des faces axiales. La face occlusale inclut donc les points de contact mésial et distal, ainsi que les lignes de transition entre les faces vestibulaire/linguale et la surface masticatoire.
Table Occlusale
Définition : Surface à l’intérieur de la face occlusale, délimitée par les crêtes cuspidiennes mésio-distales et les arêtes marginales. Elle représente la zone fonctionnelle active de la dent.

Caractéristiques :
- Occupe environ 60 % de la surface occlusale des dents cuspidées.
- Elle est déportée vestibulairement pour les dents maxillaires.
- Elle est déportée lingualement pour les dents mandibulaires.
Cette disposition est directement liée à l’anatomie des arcades et à l’angulation des axes dentaires, et influe sur la direction des forces occlusales transmises au parodonte.
11. Embrasures
Définition et Organisation
Les embrasures sont les espaces interdentaires formés par les surfaces proximales de deux dents adjacentes, au-delà du point de contact. Chaque point de contact divise l’espace interdentaire en quatre volumes pyramidaux, avec le point de contact au sommet.
Les Quatre Types d’Embrasures
| Embrasure | Localisation |
|---|---|
| Vestibulaire | Côté des lèvres/joues |
| Linguale (ou palatine) | Côté de la langue/palais |
| Cervicale (gingivale) | Vers la gencive, limitée en occlusal par le point de contact |
| Occlusale | Vers la table occlusale, limitée en cervical par le point de contact |

Clinique : L’embrasure cervicale est normalement comblée par la papille interdentaire. En cas de parodontite ou de récession papillaire, l’espace ainsi créé (triangle noir) est source de préjudice esthétique et de rétention alimentaire accrue.
Quelle Solution Choisir ? Tableau Comparatif des Structures Dentaires
Ce tableau synthétise les principales structures convexes et concaves de la couronne anatomique, en les comparant selon leurs caractéristiques morphologiques et cliniques.
| Critère | Cuspide | Crête | Tubercule | Sillon | Fosse | Fossette |
|---|---|---|---|---|---|---|
| Type | Convexe | Convexe (allongée) | Convexe | Concave | Concave | Concave |
| Localisation | Face occlusale | Occlusale / axiale | Face non occlusale | Occlusale / axiale | Face occlusale | Linguale / vestibulaire |
| Fonction | Mastication, intercuspidation | Résistance mécanique | Variable | Échappement alimentaire | Confluence des sillons | — |
| Risque carieux | Versants cuspidiens | Faible | Faible | Élevé (jonctions) | Élevé | Élevé |
| Pertinence prothétique | Haute | Haute (reconstruction) | Modérée | Reproduction anatomique | Reproduction anatomique | Faible |
| Exemples | Cuspides MV, ML, DV, DL | Crête oblique molaires max. | Carabelli, cingulum | Sillon central, périphérique | Fosse centrale, marginale | Fossette incisive latérale |
Erreurs Fréquentes à Éviter en Morphologie Dentaire
Maîtriser la terminologie ne suffit pas si certains pièges conceptuels ne sont pas identifiés. Voici les erreurs les plus souvent commises par les étudiants.
Erreur 1 : Confondre “Lingual” et “Palatin”
Problème : Qualifier la face interne d’une molaire maxillaire de “linguale” au lieu de “palatine”.
Conséquence : Imprécision dans les comptes-rendus cliniques, confusion lors des examens écrits, mauvaise communication avec les techniciens de prothèse.
Bonne pratique : Toujours préciser : face linguale pour les dents mandibulaires, face palatine pour les dents maxillaires.
Erreur 2 : Confondre Couronne Anatomique et Couronne Clinique
Problème : Utiliser les deux termes de manière interchangeable sans en préciser le contexte.
Conséquence : Erreur d’évaluation des hauteurs coronaires pour la réalisation d’une prothèse fixée ou la pose d’une digue. Mauvaise interprétation des variations gingivales.
Bonne pratique : La couronne anatomique est un concept structurel et immuable (délimitée par la JAC) ; la couronne clinique est un concept clinique et variable (délimitée par la gencive).
Erreur 3 : Négliger la Reconstruction des Points de Contact
Problème : Lors de la réalisation d’un composite ou d’une couronne, ne pas recréer un point de contact adéquat avec les dents adjacentes.
Conséquence : Bourrage alimentaire chronique, carie secondaire sur la dent adjacente, inflammation parodontale localisée (papille rouge, saignante).
Bonne pratique : Utiliser systématiquement une matrice adaptée (matriceur, matrice sectorielle) pour contrôler le point de contact lors de toute restauration proximale.
Erreur 4 : Ignorer la Crête Oblique des Molaires Maxillaires
Problème : Méconnaître l’existence ou l’importance de la crête oblique (pont d’émail) lors de la préparation d’une cavité ou d’un inlay.
Conséquence : Ablation inutile de tissu sain, fragilisation de la dent, perturbation de l’occlusion.
Bonne pratique : Identifier systématiquement la crête oblique sur les molaires maxillaires avant toute préparation. Sa préservation est préférable si les contours de la cavité le permettent.
Erreur 5 : Confondre Sillon, Fosse et Fossette
Problème : Utiliser ces trois termes de manière interchangeable lors d’une description anatomique ou d’un compte-rendu.
Conséquence : Description imprécise, difficulté à localiser correctement une lésion ou une restauration existante.
Bonne pratique : Rappel : le sillon est linéaire, la fosse est une dépression à l’intersection de sillons (sur face occlusale), la fossette est une dépression anfractueuse sur une face axiale.
Erreur 6 : Sous-estimer les Variations Anatomiques Individuelles
Problème : Appliquer mécaniquement une description “standard” sans tenir compte des variations anatomiques du patient (nombre de cuspides, présence d’un tubercule de Carabelli, racines fusionnées, etc.).
Conséquence : Surprises per-opératoires lors d’extractions ou de traitements endodontiques, localisation incorrecte des canaux.
Bonne pratique : S’appuyer sur le bilan radiographique préopératoire et développer l’habitude d’observer chaque dent individuellement avant d’intervenir.
Cas Cliniques Commentés
Cas Clinique 1 : Carie Occlusale sur Première Molaire Permanente chez un Adolescent

Présentation : Lucas, 14 ans, sans antécédents médicaux particuliers. Il se présente pour un bilan de contrôle. Son hygiène bucco-dentaire est décrite comme “correcte” par les parents, mais irrégulière selon le patient. Pas de douleur spontanée.
Problématique identifiée : À l’examen clinique, une opacité brunâtre est visible au niveau de la fosse centrale de la première molaire mandibulaire droite. La sonde accroche. Radiographiquement, la lésion est limitée à l’émail.
Prise en charge et recommandations : La connaissance de l’anatomie occlusale est ici cruciale. La fosse centrale est le point de convergence des sillons principal et central, formant une zone anfractueuse difficile à nettoyer. La lésion est traitée par résine composite après ablation sélective de tissu carié. Un scellement préventif est réalisé sur la fosse centrale de la dent controlatérale encore saine. Des conseils d’hygiène ciblés sont prodigués.
Résultat attendu : Arrêt de la progression carieuse, préservation maximale du tissu sain, prévention de la lésion symétrique.
Point clé illustré : Les fosses centrales et marginales sont des zones à risque carieux élevé en raison de leur anatomie concave difficile d’accès au brossage.
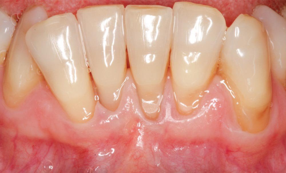
Cas Clinique 2 : Récession Gingivale et Exposition Cémentaire chez une Patiente de 58 Ans

Présentation : Marie, 58 ans, retraitée. Elle consulte pour une hypersensibilité dentinaire au froid, localisée aux dents 33-34-35 (canine et prémolaires mandibulaires gauches). Elle utilise une brosse à dents à poils durs depuis de nombreuses années.
Problématique identifiée : L’examen clinique révèle une récession gingivale de 2 à 3 mm sur les dents concernées. La couronne clinique est plus longue que la couronne anatomique : du cément est exposé, en dessous de la JAC. Le brossage traumatique (abrasion) et l’âge ont entraîné une migration apicale de la gencive.
Prise en charge et recommandations : Les concepts de couronne anatomique vs couronne clinique, et de collet anatomique vs collet physiologique, sont directement impliqués. Une rééducation à la technique de brossage (technique de Bass modifiée) est instaurée. Le passage à une brosse à poils souples est recommandé — par exemple une brosse électrique à technologie sonique comme la My Variations sonique USB-C qui régule automatiquement la pression. Un dentifrice désensibilisant adapté est prescrit.
Résultat attendu : Stabilisation de la récession, diminution progressive de l’hypersensibilité après 4 à 6 semaines, préservation des tissus résiduels.
Point clé illustré : Le collet physiologique est variable et la récession gingivale modifie la hauteur de la couronne clinique. La compréhension de ces notions est essentielle pour adapter les soins et le matériel d’hygiène.
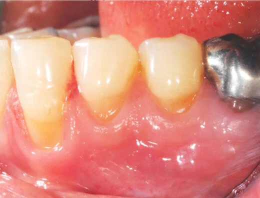
Cas Clinique 3 : Bourrage Alimentaire après Restauration Proximale Inadéquate
Présentation : Thomas, 32 ans, cadre commercial. Il revient 3 semaines après la réalisation d’un composite de classe II (face distale de la dent 26, première molaire maxillaire gauche). Il se plaint d’un “bourrage de nourriture” entre 26 et 27, et d’une gencive irritée à cet endroit.
Problématique identifiée : L’examen clinique révèle un point de contact absent entre 26 et 27 : la sonde de Miller passe librement entre les deux dents. La papille est rouge et légèrement œdémateuse. La restauration n’a pas correctement reconstitué le point de contact distal de la molaire.
Prise en charge et recommandations : Le composite est repris. La notion de point de contact proximal et de son rôle dans la protection parodontale est au cœur de ce cas. Une matrice sectorielle (Palodent ou similaire) est utilisée pour garantir le contact avec la dent 27. La restauration finale présente un point de contact ferme, contrôlé au fil dentaire. L’utilisation d’un GUM Expanding Floss est recommandée pour l’hygiène interdentaire quotidienne du patient.
Résultat attendu : Résolution de l’inflammation papillaire en 10-15 jours, absence de bourrage alimentaire, satisfaction du patient.
Point clé illustré : Un point de contact proximal inexistant ou insuffisant est une source directe de complication parodontale et de récidive carieuse. Sa reconstruction est une exigence clinique non négociable.
Foire Aux Questions (FAQ) sur la Morphologie Dentaire
Quelle est la différence entre la couronne anatomique et la couronne clinique ?
La couronne anatomique est définie par sa structure tissulaire : c’est la partie de la dent recouverte d’émail, délimitée en apical par la jonction amélo-cémentaire (JAC). Elle est immuable et ne change pas avec l’âge. La couronne clinique, en revanche, est la portion visible dans la bouche. Elle dépend de la position de la gencive et peut donc évoluer : elle s’agrandit en cas de récession gingivale et se réduit si la gencive recouvre davantage la dent (hyperplasie gingivale, éruption incomplète).
Pourquoi dit-on “face palatine” pour les dents maxillaires et non “face linguale” ?
Pour les dents de la mâchoire supérieure (maxillaire), la face interne est en contact avec le palais (osseux et mou), et non directement avec la langue. On utilise donc le terme “face palatine” ou “palatal”. Pour les dents de la mâchoire inférieure (mandibulaire), la face interne est effectivement tournée vers la langue, d’où l’usage du terme “face linguale“. Cette distinction est importante dans les descriptions cliniques et les publications scientifiques.
Qu’est-ce qu’un sillon, et pourquoi les sillons sont-ils des zones à risque carieux ?
Un sillon est une dépression linéaire étroite et profonde, principalement présente sur les faces occlusales. Sa géométrie en V ou en U, avec des parois rapprochées, rend le nettoyage mécanique par une brosse à dents quasiment impossible au fond du sillon. Les bactéries cariogènes s’y accumulent, en anaérobie partielle, favorisant la déminéralisation de l’émail à la base du sillon. C’est pourquoi le scellement prophylactique est recommandé chez les enfants et adolescents à risque carieux élevé.
Que signifie “point de contact” entre deux dents, et pourquoi est-il important ?
Le point de contact est la zone de jonction entre les faces proximales de deux dents adjacentes. Il stabilise les dents sur l’arcade, empêche le bourrage alimentaire entre elles, et protège la papille gingivale interdentaire. Lors d’une restauration, la reconstitution d’un point de contact adéquat est essentielle : un contact absent favorise la rétention alimentaire, la carie proximale sur la dent adjacente, et l’inflammation gingivale.
Quelle est la différence entre attrition, abrasion et érosion ?
Ces trois termes décrivent des pertes de tissu dentaire d’origines différentes. L’attrition résulte de contacts entre dents (mastication normale ou bruxisme). L’abrasion est causée par un frottement mécanique externe, comme un brossage trop appuyé. L’érosion est chimique, d’origine acide non bactérienne (reflux gastro-œsophagien, boissons acides, vomissements répétés). Ces trois mécanismes peuvent se combiner chez un même patient.
Qu’est-ce que la crête oblique des molaires maxillaires, et pourquoi est-elle importante ?
La crête oblique (ou “pont d’émail”) est une éminence allongée qui traverse en diagonale la face occlusale des molaires maxillaires, reliant les cuspides mésio-linguale et disto-vestibulaire. Elle confère une résistance mécanique importante à la dent. Sur le plan clinique, sa préservation lors des préparations cavitaires est recherchée : son ablation fragilise la dent et modifie les contacts occlusaux. Sa méconnaissance est une source d’erreur fréquente lors des travaux pratiques d’anatomie dentaire.
Comment reconnaître et nommer correctement les cuspides d’une molaire à quatre cuspides ?
Les quatre cuspides d’une molaire permanente sont nommées par leur position sur la face occlusale. En partant de la cuspide la plus proche de la joue (vestibulaire) et du côté de la ligne médiane (mésial) : mésio-vestibulaire (MV), puis en allant vers l’arrière : disto-vestibulaire (DV), du côté lingual/palatin : mésio-linguale (ML) et disto-linguale (DL). La cuspide MV est généralement la plus grande et la plus fonctionnelle à la mandibule, tandis que la ML est prépondérante au maxillaire.
Qu’est-ce que le tubercule de Carabelli, et doit-on en tenir compte cliniquement ?
Le tubercule de Carabelli est une excroissance anatomique variable sur la face linguale (palatine) de la cuspide mésio-palatale de la première molaire maxillaire permanente. Sa présence est inconstante (fréquence variable selon les populations ethniques). Cliniquement, il peut présenter des sillons ou fossettes à sa base qui sont des zones à risque carieux. Il peut également interférer avec la mise en place d’une couronne prothétique si sa morphologie est prononcée.
Conclusion : La Morphologie Dentaire, Socle Incontournable de la Pratique Clinique
La terminologie de la morphologie dentaire n’est pas qu’un exercice de mémorisation académique. C’est un langage universel qui structure la pensée clinique, facilite la communication interprofessionnelle et oriente chaque geste thérapeutique.
Comprendre pourquoi chaque structure existe — ses fonctions, ses vulnérabilités, ses implications dans la pathologie et dans la reconstruction — c’est passer du statut d’étudiant qui récite à celui de clinicien qui analyse.
Points clés à retenir :
- Couronne anatomique et clinique sont deux concepts distincts et variables dans le temps.
- Les faces ont des noms précis qui dépendent du maxillaire (palatin vs lingual).
- Les structures convexes protègent et guident ; les structures concaves sont des sites à risque.
- Le point de contact proximal est aussi important que n’importe quelle autre structure coronaire.
- Les variations anatomiques individuelles doivent toujours être recherchées avant d’intervenir.
Pour aller plus loin dans vos études, l’Anatomie dentaire illustrée est une référence visuellement riche, idéale pour ancrer ces notions.
La plateforme ResiDentaire™ propose également des QCM de révision spécialement conçus pour préparer l’internat en odontologie.
Cette page contient des liens d’affiliation Amazon. En cliquant dessus, vous n’êtes pas tenu de vous procurer les produits suggérés, mais si vous le faites, cela ne vous coûte rien de plus et cela aide à financer ce site.
Leave a Reply