Reconstitution complexe des dents
Reconstitution complexe des dents
Introduction
Les caries à évolution rapide, les fractures des dents dépulpées et les traumatismes dentaires entraînent des délabrements coronaires importants. Il en résulte des cavités volumineuses avec parfois :
- Trois parois ou plus absentes,
- Des cuspides affaiblies,
- Absence de la moitié de la hauteur coronaire.
Ces cavités sont appelées cavités complexes.
Ces délabrements coronaires diminuent considérablement la rétention au niveau de ces cavités, ce qui pourrait compromettre toute possibilité de reconstitution coronaire. Pour une reconstitution morphologique et fonctionnelle fiable de ces cavités dites complexes, le praticien doit faire appel à des artifices ou, plus précisément, à des éléments de rétention extrinsèques et intrinsèques afin d’augmenter la rétention au niveau de ces cavités et surtout augmenter la pérennité de ces reconstitutions qu’on appellera reconstitution complexe.
Qu’appelle-t-on une cavité complexe ?
Par opposition aux cavités simples à une face et aux cavités composées à deux faces, on appelle cavité complexe une cavité englobant au minimum trois parois coronaires. Cette définition générale ne rend cependant pas compte de toutes les situations cliniques, et l’on considère qu’une cavité devient complexe lorsque les seules parties résiduelles de l’organe dentaire ne peuvent assurer la stabilité ou la rétention de l’obturation.
Restauration simple
C’est une restauration en méthode directe, réalisée directement sur fauteuil sans aucun artifice de rétention.
Reconstitution corono-radiculaire
La reconstitution corono-radiculaire permet de compenser le déficit tissulaire, mécanique et esthétique des dents dépulpées délabrées. Elle intéresse à la fois les portions coronaire et radiculaire de la dent : elle concerne toujours une reconstitution complexe qui, pour assurer sa rétention, nécessite des éléments spécifiques.
La reconstitution corono-radiculaire directe
Ce sont des restaurations corono-radiculaires (RCR) collées, également appelées reconstitutions corono-radiculaires par matériau inséré en phase plastique (RMIPP). Elles sont réalisées en une seule séance au fauteuil avec un matériau qui peut être foulé ou injecté.

La reconstitution corono-radiculaire indirecte
Appelées aussi reconstitutions corono-radiculaire coulées, ces reconstitutions nécessitent une étape en laboratoire. Elles sont métalliques (alliage précieux ou non précieux) ou en céramique. Ce type de reconstitution est principalement indiqué dans le cas :
- D’un volume coronaire faible,
- D’un nombre de parois réduit (1 paroi restante ou totalement absente),
- D’une limite cervicale en position sous-gingivale.

Objectifs
Une reconstitution corono-radiculaire est nécessaire lorsque le délabrement de la dent dépulpée est important. Elle a pour objectifs :
- D’assurer, si nécessaire, la rétention de la restauration coronaire par la reconstitution des tissus perdus,
- D’assurer la pérennité de la dent sur l’arcade, sur le plan biologique et structurel,
- De préserver les tissus dentaires résiduels,
- D’assurer une répartition équilibrée des contraintes transmises au tissu coronaire et radiculaire restants,
- De contribuer à la restauration de l’aspect esthétique.
Spécificités de la dent dépulpée
Comportement biomécanique
La moindre résistance à la fracture de la dent dépulpée est multifactorielle. La perte de substance dentaire occasionnée par la carie, la mise en forme canalaire lors du traitement endodontique et les modifications structurelles du tissu dentinaire qui en découlent représentent les causes principales de la fragilité de la dent dépulpée. Plusieurs études in vitro ont montré que le délabrement coronaire est le facteur prépondérant de la fragilité de l’organe dentaire. La réalisation des cavités occlusales, mésio-occlusales et mésio-occluso-distales entraîne une diminution de la résistance de respectivement 20 %, 45 %, et plus de 60 %. L’aménagement de la cavité d’accès afin d’optimiser la préparation canalaire peut entraîner un amincissement des parois dentaires résiduelles, notamment au niveau cervical.

Lors de l’utilisation des produits d’irrigation et de désinfection canalaire
Les différents produits utilisés pour l’irrigation canalaire et la désinfection interagissent avec le contenu minéral et organique de la dentine et peuvent donc en modifier ses propriétés :
- L’hydroxyde de calcium, en utilisation prolongée, diminue significativement la résistance mécanique de la dentine.
- L’EDTA agit sur la quantité de calcium ainsi que sur les propriétés des parties non collagéniques de la dentine. Ces modifications entraînent une érosion ainsi qu’un ramollissement de la dentine.
- L’hypochlorite de sodium a une action protéolytique en coupant les molécules collagéniques.
- La chlorhexidine entraîne une diminution significative de la dureté de la dentine radiculaire.
Comportement biologique
Dyschromie-susceptible
Les modifications internes et externes engendreront à terme une variation de la teinte. La disparition de la pulpe laisse donc le complexe dentino-pulpaire dans un état inactif.
Au niveau de l’émail
La composition de l’émail, principalement minérale, ne subit aucune modification d’un point de vue qualitatif. Seule la réduction quantitative implique une diminution des capacités de protection mécanique de la dent.
Au niveau de la dentine
La trame collagénique persiste mais se dégradera lentement avec le temps.
La reconstitution corono-radiculaire
Ancrage radiculaire
Définition du tenon radiculaire
Un tenon est défini comme le segment de restauration inséré dans le canal radiculaire pour faciliter la rétention de l’élément central. Le but principal de l’ancrage radiculaire est de conserver la restauration coronaire dans une dent traitée par endodontie qui a subi une perte importante de la structure de la couronne.
Caractéristiques des tenons
Selon les dimensions
Le diamètre : La rigidité du tenon augmente avec son diamètre. Plus le tenon est rigide, plus les contraintes transmises à la dent sont importantes. Il est donc déconseillé d’augmenter inutilement le diamètre, d’autant plus que cela n’améliore pas significativement sa rétention. Le diamètre du tenon doit être compris entre 1 et 1,3 millimètres. Le praticien doit veiller à préserver au minimum 1 mm de dentine périphérique et ne jamais dépasser plus de 1/3 du diamètre de la racine.
La longueur : Théoriquement, la longueur du tenon doit avoisiner les deux tiers de la longueur radiculaire. Dans tous les cas, la longueur radiculaire doit être supérieure à la longueur coronaire. Différents critères peuvent la définir :
- Être à 5-7 mm de la jonction amélo-cémentaire,
- Être supérieure à la couronne clinique,
- Avoir la moitié de la hauteur de l’os alvéolaire,
- Préserver au moins 4 mm de gutta-percha dans la portion apicale afin de respecter l’herméticité apicale.
Les études montrent qu’une augmentation de la longueur se traduit par une augmentation de la rétention et une meilleure répartition des contraintes.
Selon la forme
Tenons préfabriqués : Les tenons peuvent être coniques, cylindriques ou cylindro-coniques.
Les tenons cylindro-coniques : Semblent être le meilleur choix. La forme cylindro-conique assure une répartition favorable du stress le long du tenon, permet une mutilation moindre de la dentine radiculaire apicale et offre une rétention suffisante.
Tenon anatomique : Les tenons anatomiques reproduisent l’anatomie de la lumière canalaire débarrassée des matériaux d’obturation endodontique. Cette fois, c’est le tenon qui est formé de façon à s’adapter au système canalaire.

Selon la composition
Tenons en céramique : Plus esthétiques que les tenons métalliques, blancs et opaques, à base d’oxyde de zirconium, ils présentent une dureté élevée et une biocompatibilité. Cependant, ils sont plus susceptibles de causer des fractures radiculaires que les tenons en fibre. De plus, leur surface ne colle pas aux matériaux composites de résine et ils ne sont pas facilement amovibles en cas de retraitement endodontique.
Tenons métalliques : En acier ou en titane.
- Tenons en acier inoxydable : Très rigides, ils concentrent les forces au niveau apical au lieu de les répartir uniformément sur la dentine. Le risque de fractures radiculaires est élevé.
- Tenons en titane : Ils présentent une bonne biocompatibilité. Le risque de fracture radiculaire est moindre en raison de leur rigidité moins élevée. Ils peuvent cependant être difficiles à retirer (risque de fracture du tenon).

Tenons fibrés :
- Tenons en fibre de carbone :
- Avantages : Une rigidité semblable à celle de la dentine, une résistance plus forte, plus faciles à enlever que les autres tenons en fibres.
- Inconvénients : Leur couleur marron foncé peut compromettre le rendu esthétique dans le cas d’un canal large ou d’un parodonte fin.

- Tenons en fibre de quartz : Blancs, transparents ou opaques, ils présentent une résistance à la fracture plus élevée, un module d’élasticité très proche de celui de la dentine, une esthétique très satisfaisante et une parfaite biocompatibilité.
- Tenons en fibre de verre : Blancs, transparents ou opaques, ils présentent une résistance élevée et des caractéristiques d’élasticité similaires à celles de la dentine. Ils sont capables de conduire la lumière, facilitant l’obtention de restaurations esthétiques de haute qualité.

Matériaux d’assemblage
L’assemblage entre la dent et la RCR peut se faire soit par scellement (rétention mécanique), soit par collage (rétention par adhésion). On distingue trois catégories de matériaux d’assemblage :
- Les ciments conventionnels de scellement (ciments au phosphate de zinc ou oxyphosphate),
- Les matériaux hybrides (CVI MAR),
- Les colles adhésives (aussi nommées composites de collage ou ciments résineux).
Le moignon coronaire
Les biomatériaux de reconstitution coronaire ont pour objet le remplacement des pertes de substances amélo-dentinaires occasionnées par les différents modes de dégradation subis par une dent, la carie en représentant le principal. Les matériaux incluent : composite, amalgame d’argent, compomère, CVI MAR, couronne métallique ou céramo-métallique.
La reconstitution corono-radiculaire directe
Indications
- Le nombre de parois restantes ne doit pas être inférieur à 2 ou 3,
- Épaisseur supérieure ou égale à 1 mm,
- Hauteur supérieure ou égale au 2/3 de la hauteur initiale,
- Limite cervicale en position supra-gingivale,
- Possibilité de pose d’un champ opératoire.
Contre-indications
- Le nombre de parois restantes inférieur à 2,
- La hauteur inférieure au 2/3 de la hauteur initiale,
- L’impossibilité de pose d’un champ opératoire,
- Limite intra-sulculaire.
Protocole opératoire de la réalisation d’une reconstitution corono-radiculaire directe avec un tenon fibré et une restauration coronaire au composite
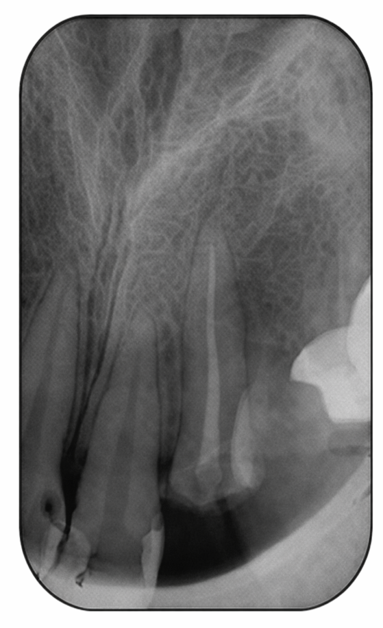
- La radiographie préopératoire :
Elle renseigne sur la morphologie canalaire et permet de déterminer la longueur du logement du tenon et son diamètre, ainsi que la qualité de l’obturation canalaire. - Le champ opératoire :
Reconstitution complexe des dents. - Préparation du logement intra-radiculaire :
La portion coronaire ayant été débarrassée des tissus altérés et des résidus d’obturation, le passage d’une série de forets Largo, de diamètre croissant, élimine l’essentiel du matériau d’obturation endodontique et prépare une ébauche de logement radiculaire. Le foret de préparation est inséré en rotation jusqu’à la longueur prévue. - L’essayage du tenon :
Le diamètre du tenon est choisi de façon à occuper le maximum d’espace dans le logement canalaire, sans pour autant frotter contre les parois radiculaires. - Le conditionnement du tenon :
Reconstitution complexe des dents. - Le conditionnement des tissus dentaires :
Reconstitution complexe des dents. - Application de l’adhésif :
Reconstitution complexe des dents. - Injection du composite de collage :
Le composite de collage est injecté dans le logement canalaire, le tenon est également enduit de colle et inséré dans son logement canalaire, puis le tout est photopolymérisé. - Mise en place du tenon et photopolymérisation :
Reconstitution complexe des dents. - Finalisation :
Après photopolymérisation finale de la restauration, la préparation coronaire périphérique est achevée avant la pose d’une couronne provisoire.

1-La radiographie préopératoire :
Elle nous renseigne sur la morphologie canalaire et permet de déterminer la longueur du logement du tenon et son diamètre, ainsi que la qualité de l’obturation canalaire.
2- Le champ opératoire :

Reconstitution complexe des dents
3-Préparation du logement intra radiculaire :
La portion coronaire ayant été débarrassée des tissus altérés et des résidus d’obturation, le passage d’une série de forets Largo, de diamètre croissant élimine l’essentiel du matériau d’obturation endodontique, et prépare une ébauche de logement radiculaire

Le foret de préparation est inséré en rotation jusqu’à la longueur prévue

4-L’essayage du tenon :
Le diamètre du tenon est choisi de façon à occuper le maximum d’espace dans le logement canalaire, sans pour autant frotter contre les parois radiculaires

5-Le conditionnement du tenon :
6- Le conditionnement des tissus dentaires :

7- Application de l’adhésif :


8- Le composite de collage est injecté dans le logement canalaire, le tenon est également enduit de colle et inséré dans son logement canalaire, puis le tout est photopolymérisé

9-Mise en place du tenon et photopolymérisation :

10-Après photopolymérisation finale de la restauration, la préparation coronaire périphérique est achevée avant la pose d’une couronne provisoire.

Conclusion
La réalisation d’une reconstitution corono-radiculaire est un acte courant mais loin d’être anodin. Les nombreux impératifs biologiques et mécaniques qui président à sa réalisation doivent faire l’objet d’une analyse et d’une réflexion qui laissent peu de place aux habitudes cliniques ou à l’improvisation.
Voici une sélection de livres:
- Odontologie conservatrice et endodontie odontologie prothètique de Kazutoyo Yasukawa (2014) Broché
- Concepts cliniques en odontologie conservatrice
- L’endodontie de A à Z: Traitement et retraitement
- Guide clinique d’odontologie
- Guide d’odontologie pédiatrique, 3e édition: La clinique par la preuve
- La photographie en odontologie: Des bases fondamentales à la clinique : objectifs, matériel et conseils pratique
Leave a Reply