Pathologies des dents temporaires
Pathologies des dents temporaires
Pathologies non carieuses et non traumatiques
Anomalies d’éruption
Éruption précoce
Une ou deux incisives peuvent être présentes à la naissance.
Éruption retardée
On ne parlera de « retard d’éruption » qu’au-delà de 12 mois de retard par rapport à la date normale d’évolution.
Accidents de dentition
Ils sont de trois ordres : locaux, régionaux, généraux.
Accidents locaux
Le prurit gingivo-dentaire. S’il y a suppuration, il s’agit d’une péri-coronarite qui est douloureuse.
Accidents régionaux
Hydrorrhée nasale, érythrose jugale, larmoiement, hypersalivation sont dus à l’irritation trigémino-sympathique.
Accidents généraux
Les accidents sont du type :
- Hyperthermie pendant 3 jours ;
- Bronchite dentaire ;
- Troubles digestifs divers.
Anomalies de nombre et de morphologie
Anomalies de nombre
- Anodontie totale : Due à un facteur héréditaire, empêchant la formation des germes dentaires.
- Hypodontie (Oligodontie) : Absence partielle de groupes de dents.
- Hyperdontie : Les dents surnuméraires s’observent souvent en position médiane.
Anomalies de forme et de structure
Anomalies de volume
- Macrodontie : Exemple, incisives centrales.
- Microdontie : Fréquente dans la trisomie 21.
Anomalies de conformation
- Dilacération corono-radiculaire : Caractérisée par le non-alignement de la racine par rapport à l’axe de la couronne.
- Gémination : Tentative d’un germe de se subdiviser.
Anomalies de position
Les malpositions et les migrations sont très rares en denture lactéale.
Anomalies de teinte ou dyschromies
Ces dyschromies peuvent être d’origine génétique ou acquise.
Dyschromies d’origine génétique
- Les ictères néonataux.
Dyschromies acquises
Dyschromies pathologiques
Elles résultent de la carie dentaire, traitements, dépulpations ou nécrose pulpaire.
Dyschromies traumatiques
Également pathologiques.
Dyschromies médicamenteuses
- Les tétracyclines administrées à la femme enceinte (à partir du 4ème mois de gestation) et au jeune enfant jusqu’à l’âge de 8 ans sont à l’origine de colorations disgracieuses et indélébiles.
- Fluorose : L’émail est terne, sans éclat, opaque, avec en surface la présence de taches irrégulières blanchâtres. La couche d’émail la plus externe est hyperminéralisée.
Anomalies de structure
- Mélanodontie infantile de Beltrami.
- Amélogénèse imparfaite.
- Dysplasie de Capdepont.
- Dentinogénèse imparfaite.
- Hypoplasie brune héréditaire.
On distingue celles qui atteignent l’émail et celles qui touchent la dentine.
Au niveau de l’émail
Les anomalies de structure de l’émail peuvent avoir une origine acquise ou héréditaire.
Acquises
- Hypoplasies partielles de l’émail : Très fréquentes, les dents temporaires sont moins souvent atteintes que les dents définitives.
- Fluorose : L’émail est terne avec des taches crayeuses. Les dents peuvent être blanchâtres et, suivant le taux de fluor absorbé, leur couleur peut varier du jaune au marron foncé.
Héréditaires
- Mélanodontie infantile de Beltrami-Romieu : Altération de l’émail de la dent temporaire qui se voit chez l’enfant à partir de douze mois. Il s’agit d’une dysplasie (anomalie de la formation) de l’émail qui est héréditaire. Elle se traduit par la disparition de l’émail (il se dissout ou se détache par plaques). Dès lors, les dents ne sont plus protégées et entament un processus de destruction. Les premières dents atteintes (parfois les seules) sont les incisives supérieures. De petites plaques d’émail se détachent, elles deviennent progressivement noires, puis se détruisent pour ne laisser que des chicots.
- Amélogénèse imparfaite : Maladie héréditaire intéressant toutes les dents. Elle peut présenter plusieurs formes cliniques.
- Hypoplasie héréditaire de l’émail : Trouble de la matrice adamantine pendant l’amélogenèse.
- Hypominéralisation de l’émail : L’émail est mou, friable. Il existe une perturbation de la minéralisation
. - Rachitisme : Il peut laisser des séquelles importantes sur l’émail.
- Fentes labio-palatines : Bien souvent, l’émail des enfants qui en sont porteurs est atteint d’anomalies de structure.
Au niveau de la dentine
- Dentinogénèse imparfaite ou dysplasie de Capdepont : Maladie héréditaire. Les deux dentures sont atteintes. Les dents ont une couleur sucre d’orge orangé, sont translucides, opalescentes. Ces dents sont dépourvues d’émail dont il ne reste que des îlots très minces. Il existe une usure excessivement rapide de toutes les couronnes. L’image radiologique montre une forme de « battant de cloche » : la couronne paraît globuleuse du fait d’une striction corono-radiculaire, la racine est grêle par suite de l’hypoplasie dentinaire.
Pathologies carieuses des dents temporaires
Particularités des dents temporaires vis-à-vis de la carie
Chez l’enfant, si l’étiologie de la carie est essentiellement due, comme chez l’adulte, aux interactions entre bactéries cariogènes, alimentation riche en hydrates de carbone et susceptibilité de l’hôte, d’autres facteurs augmentent encore le risque carieux. En effet, chez le jeune enfant, la concentration salivaire en facteurs de défense est moins importante, le flux salivaire est aussi plus faible. Parallèlement à cette diminution du flux salivaire, on observe également une diminution de la clairance buccale des sucres de l’alimentation. D’autre part, les dents temporaires présentent des caractéristiques morphologiques et physiologiques qui influencent les signes cliniques de la maladie carieuse.
Ces caractéristiques sont représentées, pour les dents temporaires, par :
- Une couche d’émail et de dentine plus fine. L’émail, très mince, a un degré de minéralisation moindre que celui de la dent permanente, c’est pourquoi sa déminéralisation sera rapide de même que l’atteinte pulpaire ;
- Une chambre pulpaire volumineuse expliquant la rapidité de l’atteinte pulpaire au cours des pathologies voire des thérapeutiques ;
- L’existence de canaux pulpo-parodontaux mettant en communication le plancher pulpaire, mince, des molaires avec la zone inter-radiculaire ;
- Un complexe dentino-pulpaire se caractérisant par une largeur plus importante des tubuli dentinaires, une vascularisation plus importante de la pulpe, une faible épaisseur de la dentine et une physiologie pulpaire variable selon le stade physiologique de la dent temporaire. Cette pulpe est également moins sensible aux stimuli douloureux par suite, probablement, d’une moindre densité des fibres nerveuses.
Manifestations cliniques
Les dents les plus fréquemment atteintes sont les molaires ainsi que les incisives maxillaires, alors que les canines et les dents mandibulaires, à l’exception des molaires, sont très souvent indemnes de caries. Avant 5 ans, la localisation la plus fréquente est la face occlusale des molaires. Les molaires mandibulaires sont plus atteintes que les molaires maxillaires, et les deuxièmes molaires maxillaires et mandibulaires ont une plus grande susceptibilité à la carie. Pendant cette période, il n’y a pas encore de contacts proximaux, et les surfaces proximales des molaires ne sont pas en général cariées.
En revanche, au cours de la croissance, les contacts proximaux s’établissent et la fréquence des caries des faces proximales des molaires temporaires est plus importante lorsqu’il existe une carie sur la face occlusale. La face distale de la deuxième molaire temporaire devient plus susceptible à la carie à partir de l’éruption de la première molaire permanente.
Les caries des puits et fissures observées au niveau des molaires sont dues essentiellement à la difficulté de nettoyer correctement ces zones de fortes rétentions de la plaque dentaire. L’atteinte initiale se traduit souvent par une coloration du fond des sillons.
Les manifestations cliniques de la carie, en denture lactéale, sont représentées par :
- La carie évolutive ;
- La carie arrêtée ;
- Les poly caries ou formes complexes.
Formes cliniques de la carie selon l’évolution
Il est particulièrement important en denture temporaire de faire un diagnostic différentiel entre les deux formes courantes, la carie évolutive et la carie arrêtée, qui s’appuie sur six critères cliniques et radiologiques :
- La localisation de la carie ;
- L’étendue de la perte de substance ;
- La coloration des tissus durs ;
- La texture des tissus ;
- La présence ou non de dentine réactionnelle ;
- La sensibilité.
Carie évolutive
La carie évolutive, de progression rapide vers le complexe pulpaire, siège essentiellement sur les faces proximales des molaires, des canines et des incisives. Elle aboutit rapidement à la nécrose pulpaire et ne s’accompagne pas de formation de dentine réactionnelle. L’examen à la sonde montre, une fois l’émail disparu, la présence d’une dentine ramollie ; par exemple, la carie distale de la première molaire et la carie mésiale de la deuxième molaire temporaire. Elle se développe sans aucune symptomatologie, cette lésion double ne devient douloureuse qu’au moment de l’effondrement d’une des crêtes marginales, par compression de la papille inter-dentaire avec un tassement alimentaire. L’enfant se plaint d’une douleur vive, plus accentuée après le repas (« syndrome du septum ») dont l’extériorisation peut faire croire à une atteinte pulpaire. L’évolution se fait dans la majorité des cas vers la nécrose.
Carie arrêtée
La carie arrêtée siège au niveau des faces occlusales des molaires et sur les faces vestibulaires et proximales des incisives et canines. À l’inverse de la lésion précédente, l’examen clinique révèle la présence d’une dentine réactionnelle, dure, lisse, brillante, de couleur variable (jaune, marron ou noire). Ces dents se caractérisent par une absence de sensibilité aux différents stimuli : froid, chaud, examen à la sonde.
Poly caries ou formes complexes
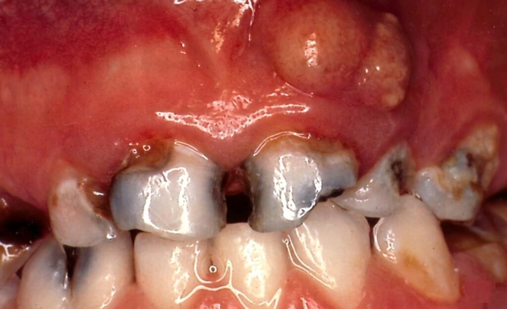
Carie du biberon ou syndrome du biberon
Ce type de pathologie s’observe en général chez l’enfant de plus de 12 mois. Sous ce terme, on décrit des caries rampantes dont l’étiologie est complexe. Ces caries sont dues à :
- Une consommation exagérée et répétée d’hydrates de carbone avant le coucher ou au moment de la sieste (sucette dont la tétine est trempée dans du miel, succion d’un bonbon ou d’un morceau de chocolat), consommation importante de sirops médicamenteux pédiatriques ;
- L’infection par les streptocoques mutans ;
- La persistance d’une alimentation au biberon contenant du lait sucré, de l’eau sucrée ou du jus de fruit.
Cette pathologie se caractérise par une atteinte tout d’abord des faces vestibulaires et palatines des incisives supérieures, entraînant une destruction très rapide de la couronne et s’accompagnant d’une mise à nu, le plus souvent indolore, de la dentine. Les autres dents sont également touchées selon le même processus. Ce processus se produit en trois étapes :
- Une colonisation par les streptocoques mutans ;
- Une intense multiplication et une accumulation de ces streptocoques par suite de la consommation exagérée et fréquente de substrats cariogènes ;
- Une déminéralisation rapide et une cavitation de l’émail, ce qui se traduit, sur le plan clinique, par des caries rampantes.
Quatre stades cliniques peuvent être décrits :
Stade 1 : Atteinte initiale
- Observé entre 10 et 20 mois sur les dents antérieures maxillaires.
- L’émail se caractérise par une zone de déminéralisation blanche, opaque située au niveau cervical de la dent, plus rarement sur les faces proximales.
Stade 2 : Atteinte dentinaire
- Observé à l’âge de 16-24 mois.
- Caractérisé par des lésions carieuses plus prononcées au niveau des dents antérieures maxillaires touchant la dentine qui prend une couleur jaune-brun.
- Ces lésions inquiètent les parents et les enfants commencent à se plaindre d’une plus grande sensibilité au froid.
- Les premières molaires temporaires maxillaires présentent des lésions initiales au niveau des zones cervicales et proximales.
Stade 3 : Atteinte profonde
- Observé entre 20 et 36 mois.
- Caractérisé par des lésions importantes et profondes des dents antérieures maxillaires s’accompagnant d’irritations pulpaires.
- L’enfant se plaint de douleurs provoquées par la mastication, la boisson et le brossage ainsi que de douleurs spontanées la nuit et durant plusieurs minutes.
- Les premières molaires maxillaires sont au stade 2 et le stade 1 peut être diagnostiqué sur les premières molaires mandibulaires ainsi que sur les canines maxillaires.
Stade 4 : Atteinte traumatique
- Diagnostiqué à l’âge de 30-48 mois.
- Caractérisé par une fracture de la couronne des dents antérieures maxillaires par suite de la destruction amélo-dentinaire.
- Ces dents sont nécrosées dans la plupart des cas.
- Les premières molaires maxillaires sont au stade 3 et sont à l’origine de douleurs pulpaires.
- Les deuxièmes molaires et les canines maxillaires peuvent être au stade 2, de même que les premières molaires mandibulaires.
Ce type de lésions doit être différencié de la mélanodontie infantile de Beltrami qui s’observe aussi au niveau des dents temporaires. Elle se caractérise par :
- L’apparition de taches brunâtres sur la face vestibulaire des incisives maxillaires qui vont s’étendre en profondeur en détruisant progressivement la couronne dentaire ;
- Une coloration noire des moignons dentinaires.
Ces lésions atteignent l’ensemble des dents temporaires (à l’exception des incisives mandibulaires).
Complications de la carie
Syndrome du septum
Le syndrome du septum est une forme particulière touchant le septum inter-dentaire. Une irritation locale, sous forme d’un mauvais point interdentaire.
Signes subjectifs :
- À l’interrogatoire, l’enfant se plaint d’une douleur vive, généralement exacerbée par les repas, localisable, les antalgiques classiques permettent de la faire rétrocéder.
Signes cliniques :
- Les dents sont atteintes de caries proximales, la localisation préférentielle de cette lésion est située au niveau de la deuxième molaire.
- L’atteinte carieuse peut être de faible épaisseur et sera de type évolutif.
- La papille inter-dentaire est enflammée, congestive.
- L’application des tests cliniques (tests thermiques ou percussions) n’apporte aucun élément important.
Diagnostic différentiel :
- Une inflammation pulpaire occasionnée par une carie proximale évolutive.
- La lésion parulique signe une atteinte osseuse en relation avec une nécrose pulpaire, cette lésion est généralement située à distance de l’attache épithéliale en regard de la dent concernée.
Signes radiologiques :
- Confirment les cavitations carieuses proximales.
- Un éventuel épaississement ligamentaire peu marqué.
- L’intégrité ou non des zones alvéolaires et osseuses, le syndrome du septum sera toujours suspecté au niveau des caries proximales, quelle que soit la pathologie pulpaire.
Atteinte de la furcation
La furcation constitue une zone de très fréquentes complications infectieuses, avec la dent permanente en voie de formation. La pathologie de la furcation constitue une réelle difficulté dans le choix d’une thérapeutique, elle reste une des raisons majeures d’extraction des molaires temporaires.
Examen clinique :
- Permet d’observer un abcès gingival proche de l’attache épithéliale.
- Cette pathologie parodontale peut être indépendante d’une pathologie pulpaire, c’est le cas le plus fréquent d’erreur de diagnostic.
- L’examen mettra en évidence :
- L’état pulpaire (vitalité ou nécrose) ;
- La présence d’un syndrome du septum ;
- L’état parodontal comparé au stade physiologique de la résorption.
Diagnostic radiologique :
- Il est aisé, il y a disparition complète de l’architecture de l’os inter-radiculaire.
Complications intéressant le germe sous-jacent
Les pathologies pulpaires peuvent être, si elles ne sont pas traitées, à l’origine de péricoronarites, d’hypoplasies, de dyschromies voire d’un arrêt de développement de la dent de remplacement. Ces pathologies peuvent aussi être à l’origine d’un kyste folliculaire.
Pathologies pulpaires : Pulpopathies
La douleur liée à la pulpite est de très courte durée au niveau de la dent temporaire et cède aux antalgiques habituels, si bien que l’enfant ne vient pratiquement jamais consulter pour cette pathologie. La douleur aiguë et pulsatile est fréquemment l’expression d’un syndrome du septum.
Signes cliniques :
- Sont ceux de lésions carieuses.
Examens radiologiques :
- Confirment la proximité pulpaire et mettent en évidence l’absence d’atteinte osseuse péri-dentaire ou inter-dentaire.
Formes cliniques et classification :
Les douleurs typiques de pulpite décrites chez l’adulte ne sont pas rencontrées chez l’enfant, pour lequel les symptômes se traduisent par une gêne ou une douleur à la mastication. Kunzel propose la classification clinique suivante :
- Pulpite séreuse :
- Cavité profonde, chambre pulpaire fermée et douleur transitoire provoquée (« pression et sucre ») ;
- L’enfant peut indiquer la dent causale.
- Pulpite purulente :
- Cavité profonde avec dentine ramollie jusqu’à la chambre pulpaire ;
- Douleurs spontanées, localisées ou irradiantes, importantes la nuit ;
- L’ouverture de la chambre pulpaire soulage le patient.
- Pulpite ulcéreuse chronique :
- Communication de la cavité de carie à la chambre pulpaire ;
- L’exploration à la sonde réveille une douleur et une douleur à la mastication.
- Pulpite chronique granulomateuse :
- Destruction importante de la couronne avec des proliférations hyperplasiques du tissu conjonctif pulpaire de diverses dimensions ou un polype pulpaire unique pouvant combler la chambre pulpaire ;
- Symptomatologie pauvre et douleur à la mastication.
Nécrose pulpaire
C’est la pathologie la plus fréquente d’une dent temporaire cariée non soignée. Cette nécrose, le plus souvent indolore, fait suite à l’atteinte pulpaire. Sur les dents pluri-radiculées, elle peut intéresser la totalité ou une partie de la pulpe radiculaire et être ainsi responsable d’une pathologie mixte associant signes de nécrose et signes d’inflammation pulpaire.
Pathologies périapicales : Parodontites apicales
Deux formes cliniques sont d’observation courante :
Forme aiguë
Signes cliniques :
- Sont importants, il y a des antécédents de douleur vive spontanée, pulsatile, qui, à l’inverse du syndrome du septum ou de la pulpite, peuvent se répéter.
- L’adénopathie est fréquente et l’état général est altéré (hyperhémie, asthénie).
- La palpation permet de mettre en évidence la mobilité dentaire.
Signes radiologiques :
- Cette parodontite s’observe le plus fréquemment au niveau des molaires temporaires au stade II.
Décision thérapeutique :
- La conservation de la dent temporaire par traitement et obturation canalaire devra être choisie si les critères suivants sont réunis :
- Bon état général de l’enfant ;
- Cavité buccale assainie ;
- Reconstitution coronaire durable possible.
Forme chronique
- Plus fréquente au niveau de la dent temporaire au stade III, la dent représente à cette période une entité largement ouverte, autorisant de nombreux échanges pulpo-parodontaux.
Signes subjectifs :
- Sont comparables à ceux du syndrome du septum.
Signes cliniques :
- La destruction coronaire est souvent importante.
- Les papilles inter-dentaires sont congestionnées et hyperplasiques.
- La parulie, si elle est présente, est distante de l’attache épithéliale.
- Les tests cliniques sont sans valeur, la mobilité de la dent n’est pas constante.
- La palpation vestibulaire permet de soupçonner la disparition de l’os alvéolaire.
Signes radiologiques :
- Permettent d’établir le diagnostic, l’absence de radio-opacité de l’os alvéolaire inter-radiculaire et inter-dentaire signe l’étendue de la lésion.
Pathologies traumatiques : Traumatismes
- Les fêlures ;
- Les fractures simples ;
- Les fractures complexes ;
- Les fractures corono-radiculaires ;
- Les fractures radiculaires ;
- Intrusion/luxation latérale ;
- Concussion/subluxation ;
- Expulsion.
Conclusion
L’enfant doit suivre des contrôles chez un pédodontiste afin d’intercepter toute pathologie et d’en éviter les complications. Cependant, la prise en charge des jeunes enfants pose des difficultés dans la coopération et souvent dans la décision thérapeutique, c’est pourquoi le praticien doit avoir les compétences appropriées en matériel et expertise. La prise en charge de l’enfant reste un exercice difficile car elle demande beaucoup plus que de simples connaissances sur la physiologie et la pathologie dentaire et les techniques restauratrices ; le praticien doit savoir faire preuve de psychologie et de patience. L’avènement de nouvelles techniques et de nouveaux matériaux a élargi nos possibilités thérapeutiques. La dentisterie adhésive occupe une place de plus en plus importante dans ces techniques de restaurations.
Voici une sélection de livres:
- Odontologie conservatrice et endodontie odontologie prothètique de Kazutoyo Yasukawa (2014) Broché
- Concepts cliniques en odontologie conservatrice
- L’endodontie de A à Z: Traitement et retraitement
- Guide clinique d’odontologie
- Guide d’odontologie pédiatrique, 3e édition: La clinique par la preuve
- La photographie en odontologie: Des bases fondamentales à la clinique : objectifs, matériel et conseils pratique
Pathologies des dents temporaires

Dr J Dupont, chirurgien-dentiste spécialisé en implantologie, titulaire d’un DU de l’Université de Paris, offre des soins implantaires personnalisés avec expertise et technologies modernes.

