PATHOLOGIE DE LA MUQUEUSE BUCCALE
PATHOLOGIE DE LA MUQUEUSE BUCCALE
Pathologie de la muqueuse buccale
La muqueuse buccale regroupe la langue, le plancher de la langue, les gencives, la face interne des joues et des lèvres, le palais et le voile du palais. Tout comme la peau, dont elle est très proche au niveau constitution, elle est exposée à toutes sortes d’agressions, qu’elles soient bactériennes, virales, mycosiques (champignons), physiques, chimiques ou thermiques et pourra être le siège d’une pathologie extrêmement variée, dont les principales formes sont abordées dans les lignes qui suivent.
La plupart des lésions rencontrées sont bénignes, mais elles peuvent constituer les prémices de lésions beaucoup plus graves, c’est pourquoi, la moindre anomalie détectée en bouche doit inciter à consulter un spécialiste. En ce sens, le Chirurgien Dentiste se trouve souvent en première ligne dans le dépistage et la prévention de certaines pathologies buccales. En examinant une lésion, il peut être amené à déclencher des démarches diagnostiques et initier une action thérapeutique. Il représente donc souvent le premier maillon de la chaîne thérapeutique.
Les aphtes
Ce sont des lésions bénignes qui représentent un motif fréquent de consultation. Il s’agit d’ulcérations douloureuses de la muqueuse buccale. Ils sont superficiels, de taille et de localisation variables et sont souvent perçus comme des brûlures. Les facteurs connus favorisant son apparition sont le stress, certains aliments comme les noix, le gruyère, les épices, les kiwis, certains médicaments (ex : aspirine, antibiotiques), les traumatismes (prothèse ou obturation dentaire irritative, morsure, dérapage de brosse à dents), certaines infections. En l’absence de traitement, un aphte demande généralement 10 à 15 jours pour cicatriser. Le traitement consiste d’abord à éliminer les causes évidentes (ex : dépose d’une couronne devenue coupante, surveillance de l’alimentation, arrêt de prise des médicaments responsables). Localement, la thérapie au Laser permet d’obtenir les meilleurs résultats, grâce à ses effets anti-inflammatoire, antalgique et biostimulant (accélère la régénération tissulaire). Un complément de traitement avec des antiseptiques locaux (bains de bouche ou gels) améliorera encore la cicatrisation.
Aspect typique d’un aphte

Les candidoses
Appelées aussi “muguet”, elles sont le résultat de la colonisation massive de la muqueuse buccale par un champignon : le Candida Albicans. Normalement, le Candida Albicans n’est pas un ennemi ; c’est sa prolifération qui le rend pathogène. Les candidoses surviennent suite à l’altération des défenses de l’organisme, telles que le diabète, la prise prolongée d’antibiotiques, la sécheresse buccale, la dénutrition, la diminution immunitaire. Elles peuvent revêtir soit l’aspect de plaques blanches, soit l’aspect rouge vif et lisse. Elles provoquent généralement une perte d’appétit (gêne et inconfort lors de l’alimentation), des douleurs et parfois des saignements. Le traitement consiste d’abord à éliminer les causes supposées responsables (ex : arrêt des antibiotiques) ; il convient également d’adopter un régime alimentaire spécifique (diminution des sucres et de l’alcool qui favorisent la multiplication des levures, absorption de yaourts pour empêcher la croissance des levures) ; des traitements médicamenteux à base d’antifongiques peuvent être indiqués ; enfin l’emploi du Laser pour son action cicatrisante peut s’avérer fort intéressant, en complément des bains de bouche.
Un des aspects d’une candidose buccale

Les lésions blanches, rouges et pigmentées
Ces lésions buccales sont très variées et vont des lésions les plus bénignes aux lésions cancéreuses. Toute modification de l’aspect de la muqueuse buccale, qu’elle soit douloureuse ou non, est un motif de consultation, car derrière cette modification peut se cacher une lésion potentiellement à risque. Les origines de ces lésions peuvent être diverses : tabac, traumatisme (dents ou prothèses dentaires), accident thermique ou chimique, candidose (champignon), atteinte virale ou bactérienne, certaines maladies. Les thérapies mises en place dépendent du diagnostic de ces lésions, lui-même souvent posé après examens complémentaires.
Aspect du lichen plan sur la face interne de la joue

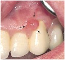
Les épulis
Ce sont des excroissances bénignes de la gencive, qui saignent facilement et qui peuvent avoir des causes multiples. Leur traitement consiste en leur exérèse.
Aspect d’une épulis

Les herpes
Ce sont des lésions qui touchent fréquemment les lèvres (ce sont les classiques “boutons de fièvre”), mais elles peuvent être localisées à d’autres endroits. Elles sont dues à un virus qui passe régulièrement de la phase passive à la phase active. Différents stimuli tels qu’une irradiation solaire, des stress psychiques, d’autres affections, des facteurs hormonaux ou des stimuli locaux tels qu’une brûlure légère peuvent faire que le virus redevienne actif et se développe. Il y a d’abord une sensation de tension et de fourmillements. Au bout de quelques heures, apparaissent des vésicules douloureuses, disposées en groupes et remplies d’un liquide limpide très infectieux. Ensuite, ces vésicules se rompent et se dessèchent. La durée des symptômes ne dépasse pas en général 10 jours. Pour limiter l’apparition de ces lésions, il faut faire en sorte d’éviter les facteurs favorisants cités ci-dessus. Une fois la lésion installée, le traitement consiste à appliquer le plus précocement possible une crème à base d’Aciclovir. Le Laser permet, quant à lui une nette amélioration de la cicatrisation, en réduisant son délai. Enfin, pendant la phase active, ces lésions étant hautement contagieuses, il faut éviter leur contact avec d’autres personnes et se laver systématiquement les mains pour ne pas entraîner de dissémination à d’autres régions (ex : yeux).

Voici une sélection de livres:
- Guide pratique de chirurgie parodontale Broché – 19 octobre 2011
- Parodontologie Broché – 19 septembre 1996
- MEDECINE ORALE ET CHIRURGIE ORALE PARODONTOLOGIE
- Parodontologie: Le contrôle du facteur bactérien par le practicien et par le patient
- Parodontologie clinique: Dentisterie implantaire, traitements et santé
- Parodontologie & Dentisterie implantaire : Volume 1
- Endodontie, prothese et parodontologie
- La parodontologie tout simplement Broché – Grand livre, 1 juillet 2020
- Parodontologie Relié – 1 novembre 2005
Leave a Reply