L’occlusion bilatéralement équilibrée

L’Occlusion Bilatéralement Équilibrée en Prothèse Totale : Guide Complet en Odontologie

Mots-clés SEO : occlusion bilatéralement équilibrée, prothèse amovible totale, schémas occlusaux, relation centrée, stabilité prothétique, montage des dents, Gysi Hanau Gerber Sears


Introduction : Pourquoi l’Occlusion Est le Pilier de la Prothèse Totale ?

En prothèse amovible totale, une mauvaise occlusion ne se contente pas de gêner le patient — elle déclenche une cascade de complications : déplacements prothétiques, douleurs muqueuses, résorption osseuse accélérée, et perturbation des fonctions orales essentielles.

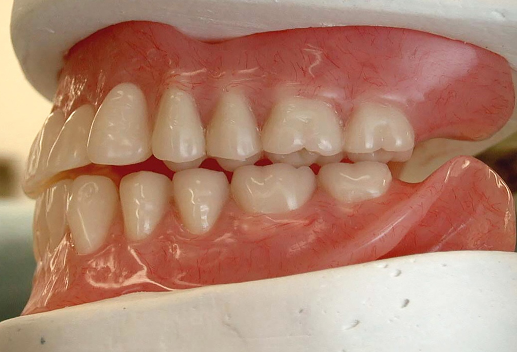
image d'ambiance générale sur la prothèse totale complete denture occlusion dental prosthesis

L’occlusion bilatéralement équilibrée est la réponse clinique et bioméchanique à ce défi. Ce concept, développé dès les années 1920, reste aujourd’hui la référence universelle en prothèse complète. Il garantit des contacts dento-dentaires harmonieux en statique (occlusion centrée) et en dynamique (propulsion et latéralité), assurant la stabilité des prothèses et la protection des tissus de soutien.

Cet article vous présente, de manière structurée et pédagogique, l’ensemble du concept : des bases biologiques aux schémas occlusaux, en passant par les règles cliniques et les erreurs à éviter. Que vous prépariez vos ECNi ou que vous débutiez en clinique, ce guide est fait pour vous.

Pour réviser avec des QCM interactifs sur ce sujet, la plateforme ResiDentaire™ est une ressource précieuse.


Les Dents Naturelles et Prothétiques : Deux Réalités Biologiques Opposées

Les Dents Naturelles

Les dents naturelles sont ancrées individuellement dans les maxillaires grâce au système desmodontal, un ensemble de ligaments qui les relie à l’os alvéolaire. Cette attache individuelle permet à chaque dent de fonctionner de manière indépendante.

Lorsqu’une malocclusion survient, son impact est généralement limité à la dent concernée et à son parodonte. Les dents naturelles disposent d’une capacité d’adaptation face à une malocclusion, pouvant migrer, pivoter ou s’enfoncer (ingression) pour compenser les contraintes. Cette adaptabilité retarde souvent l’apparition de réactions pathologiques, telles que la résorption osseuse ou l’inflammation parodontale.

Ce mécanisme d’adaptation est possible grâce aux propriocepteurs desmodontaux, qui informent le système nerveux central des forces appliquées sur chaque dent.

Les Dents Prothétiques

En revanche, les dents prothétiques sont fixées solidairement sur une base commune qui repose sur une muqueuse souple. Cette attache collective implique que toutes les dents prothétiques d’une arcade sont interconnectées.

complete denture base mucosa support

Ainsi, une malocclusion affectant une seule dent prothétique se répercute sur l’ensemble de l’arcade via la base prothétique. Contrairement aux dents naturelles, les prothèses n’ont aucune capacité d’adaptation intrinsèque. Une malocclusion entraîne une réponse pathologique immédiate : déplacement de la prothèse, irritations muqueuses ou douleurs.

Par conséquent, en prothèse totale, il est impératif de rechercher une intercuspidation maximale en relation centrée (OIM = ORC), qui est universellement adoptée comme position thérapeutique de référence.


Le Concept de l’Occlusion Bilatéralement Équilibrée

Définition

L’occlusion bilatéralement équilibrée est une conception occlusale qui définit des contacts dento-dentaires spécifiques, à la fois statiques (en occlusion centrée) et dynamiques (en propulsion et latéralité). Ce concept vise à garantir la stabilité des prothèses tout en minimisant les forces pathologiques sur les tissus de soutien.

Il repose sur des contacts simultanés et bilatéraux entre les dents prothétiques maxillaires et mandibulaires, assurant une répartition équilibrée des forces occlusales.

Règles en Occlusion Centrée

En occlusion centrée, l’objectif principal est d’obtenir des contacts simultanés et bilatéraux pour assurer la stabilité des prothèses sur leurs surfaces d’appui. Ces contacts doivent être uniformément répartis pour éviter tout basculement ou déplacement de la prothèse.

Une caractéristique clé : l’absence de contact entre les dents antérieures, avec un overjet et un overbite réduits à environ 1 mm. Cette configuration permet de minimiser les forces exercées sur les dents antérieures, qui sont moins stables en raison de la souplesse de la muqueuse sous-jacente.

Le Concept de l’Occlusion Bilatéralement Équilibrée

Règles en Propulsion

En mouvement de propulsion, l’occlusion bilatéralement équilibrée exige au minimum un contact en trépied stabilisateur. Ce trépied comprend :

  • Un contact inter-incisif antérieur, assurant un point d’appui à l’avant
  • Des contacts entre les deuxièmes molaires antagonistes, stabilisant l’arrière de l’arcade
mandibular protrusion movement dental

Alternativement, en plus du contact antérieur, des contacts généralisés peuvent être établis entre les pans mésiaux des cuspides mandibulaires et les pans distaux des cuspides maxillaires. Cette disposition garantit une répartition équilibrée des forces occlusales lors des mouvements de propulsion, réduisant ainsi les risques de déséquilibre prothétique.

Règles en Latéralité

En diduction (mouvement latéral), l’occlusion bilatéralement équilibrée nécessite également un trépied stabilisateur, avec une répartition spécifique des contacts :

Côté travaillant : Deux contacts cuspidiens sont recherchés, impliquant les pointes cuspidiennes vestibulaires et linguales des prémolaires et molaires antagonistes. Ces contacts assurent la stabilité fonctionnelle lors des mouvements masticatoires.

Côté non travaillant (côté équilibrant) : Les versants disto-internes des cuspides vestibulaires maxillaires entrent en contact avec les versants mésio-internes des cuspides palatines mandibulaires. Ce contact équilibrant contribue à maintenir la prothèse en place et à prévenir son basculement.

working side non-working side occlusion contacts

Les Différents Schémas Occlusaux

L’Occlusion Intégralement Équilibrée Généralisée (Gysi 1920 / Hanau 1926)

Développée par Gysi (1920) et Hanau (1926), l’occlusion intégralement équilibrée généralisée est le schéma le plus connu et le plus utilisé en prothèse amovible totale. Ce concept repose sur des contacts simultanés et généralisés dans toutes les positions occlusales (centrée, propulsion et latéralité). Il vise à maximiser la stabilité prothétique en répartissant les forces occlusales de manière homogène sur l’ensemble des dents prothétiques.

Hanau a formalisé cette approche avec ses célèbres lois de Hanau (également appelées “la roue de Hanau”), qui décrivent les facteurs interdépendants gouvernant l’occlusion équilibrée : l’angle de la guidance condylienne, l’angle de la guidance incisive, la pente cuspidienne, la courbe de compensation et le plan d’occlusion.

L’Occlusion Intégralement Équilibrée Non Généralisée (Ackermann et Starck)

Ce schéma suit les critères habituels en occlusion centrée et en propulsion. Cependant, en latéralité, il présente des particularités :

  • Côté non travaillant : Tous les versants distaux internes des cuspides palatines maxillaires entrent en contact avec les versants mésiaux internes des cuspides vestibulaires mandibulaires, assurant un équilibre fonctionnel.
  • Côté travaillant : Aucun contact n’est établi du côté lingual. Les contacts se limitent à la canine et aux cuspides vestibulaires des prémolaires mandibulaires, tandis que les molaires restent hors de contact.

Cette configuration réduit les interférences occlusales et simplifie le montage prothétique.

L’Occlusion Intégralement Équilibrée à Impact Lingual (Gerber, 1952)

Proposé par Gerber en 1952, ce schéma utilise des dents non anatomiques avec un relief occlusal de type pilon-mortier. Les cuspides d’appui palatines maxillaires entrent en contact avec les dents mandibulaires selon un rapport cuspide-fosse ou cuspide-fossette.

Gerber non anatomic teeth occlusion

Cette répartition oriente les charges occlusales vers le côté lingual, réduisant les forces exercées sur la muqueuse vestibulaire, plus fragile. L’absence de contact entre les cuspides vestibulaires mandibulaires et les fosses antagonistes maxillaires distingue ce schéma des autres.

Montage de Sears

Le montage de Sears se caractérise par l’utilisation de dents plates, non engrenées, permettant une propulsion horizontale sans interférences cuspides. Les forces fonctionnelles générées par ce montage ont des composantes horizontales importantes, particulièrement lorsque les versants cuspidiens sont très inclinés.

En optant pour des dents aux versants moins inclinés, ce schéma réduit les pressions exercées sur les tissus osseux et muqueux, favorisant une stimulation physiologique et minimisant la résorption osseuse.


Quelle Solution Vous Convient le Mieux ? Comparatif des Schémas Occlusaux

Pour vous aider à choisir le schéma occlusal adapté à chaque situation clinique, voici un tableau récapitulatif :

CritèreGysi / HanauAckermann & StarckGerber (1952)Montage de Sears
Type de dentsAnatomiquesAnatomiquesNon anatomiques (pilon-mortier)Plates, non engrenées
Contacts en OCSimultanés et généralisésSimultanés bilatérauxCuspide-fosse / fossetteContact plan-plan
Contacts en propulsionTrépied généraliséTrépied classiqueLingual majoritaireHorizontal sans interférence
Contacts en latéralitéBilatéraux généralisésUnilatéral modifiéImpact lingual dominantRéduits
Résorption osseuseRisque modéréRisque modéréFaible (côté lingual)Très faible
Complexité du montageÉlevéeModéréeModéréeSimple
Indication principaleCas standardsMontage simplifiéMuqueuse fragile / crête atrophiéeCrête très résorbée

Objectifs de l’Occlusion Bilatéralement Équilibrée

Assurer la Stabilité des Prothèses

La stabilité des prothèses est un enjeu central en prothèse totale, car la base prothétique repose sur une muqueuse souple, sujette à des déformations. Les contacts occlusaux, qu’ils soient statiques (en occlusion centrée) ou dynamiques (en propulsion et latéralité), doivent être soigneusement planifiés pour orienter les forces à travers les versants cuspidiens des dents prothétiques. Ces forces doivent contribuer à maintenir la prothèse en place, évitant tout basculement ou déplacement lors des fonctions orales.

Préserver les Tissus de Soutien

La base prothétique transmet les forces occlusales aux tissus de soutien (muqueuse et os sous-jacent). Une mauvaise répartition de ces forces peut entraîner une stimulation non physiologique, provoquant une résorption osseuse accélérée ou des lésions muqueuses.

L’occlusion bilatéralement équilibrée vise à minimiser ces risques en assurant une répartition homogène des charges occlusales, préservant ainsi l’intégrité des tissus de soutien.

Restaurer les Fonctions Orales

L’occlusion bilatéralement équilibrée joue un rôle clé dans la restauration des fonctions orales essentielles :

  • Mastication : L’efficacité masticatoire dépend directement de la position d’intercuspidation maximale, qui garantit des contacts stables et fonctionnels entre les dents prothétiques.
  • Phonation : La phonation est influencée par le montage des dents, en particulier des dents antérieures, qui doivent être positionnées pour permettre une articulation correcte des sons.
  • Déglutition : La déglutition génère les contacts inter-dentaires les plus fréquents et les plus prolongés. Une occlusion bien équilibrée assure que ces contacts sont harmonieux, évitant les instabilités prothétiques.

Importance de l’Enregistrement des Rapports Inter-Maxillaires

Pour atteindre ces objectifs, un enregistrement précis des rapports inter-maxillaires est essentiel. Cet enregistrement permet de définir la relation centrée (ORC) avec exactitude, garantissant que les prothèses sont conçues pour fonctionner en harmonie avec les mouvements mandibulaires du patient.

Le montage des dents prothétiques doit être minutieux, suivi d’une équilibration rigoureuse pour obtenir des contacts égaux et uniformément répartis, tant dans le sens antéro-postérieur que transversal.

Pour approfondir la biomécanique et la clinique de la prothèse totale, l’ouvrage Prothèse complète : Clinique et laboratoire est une référence incontournable pour les étudiants en odontologie.


Erreurs Fréquentes à Éviter en Occlusion Bilatéralement Équilibrée

dental articulating paper occlusion check

1. Confondre OIM et ORC en Prothèse Totale

L’erreur : Certains praticiens débutants reproduisent une intercuspidation maximale (OIM) sans vérifier qu’elle coïncide avec la relation centrée (ORC).

Pourquoi c’est problématique : En prothèse totale, l’OIM doit impérativement être en ORC. Toute discordance génère des forces déstabilisatrices répétées sur la prothèse, entraînant des douleurs et une résorption osseuse accélérée.

La bonne pratique : Toujours enregistrer la relation centrée de manière rigoureuse avec des cires d’occlusion ou des enregistrements en résine, avant le montage en articulateur.


2. Négliger les Contacts du Côté Non Travaillant

L’erreur : Concentrer l’attention sur le côté travaillant en latéralité et oublier les contacts équilibrants du côté non travaillant.

Pourquoi c’est problématique : Sans contact équilibrant, la prothèse bascule du côté opposé lors des mouvements masticatoires. Ce déséquilibre crée des points de pression localisés sur la muqueuse.

La bonne pratique : Vérifier systématiquement les contacts équilibrants avec du papier articulé fin et les équilibrer lors des séances de contrôle post-insertion.


3. Utiliser des Dents à Pente Cuspidienne Trop Élevée sur Crête Résorbée

L’erreur : Choisir des dents anatomiques à forte pente cuspidienne (30° ou plus) chez des patients présentant une crête très atrophiée.

Pourquoi c’est problématique : Les composantes horizontales des forces occlusales augmentent avec l’inclinaison des versants cuspidiens. Sur une crête résorbée, ces forces horizontales déstabilisent la prothèse et accélèrent la résorption résiduelle.

La bonne pratique : Opter pour des dents à faible relief cuspidien (dents semi-anatomiques ou montage de Sears) chez les patients à crête très résorbée ou à muqueuse fragile.


4. Omettre l’Équilibration Après Polymérisation

L’erreur : Considérer que le montage en articulateur est parfait et ne pas réaliser d’équilibration clinique après polymérisation de la résine.

Pourquoi c’est problématique : La polymérisation de la résine entraîne des modifications dimensionnelles inévitables qui modifient les contacts occlusaux établis en laboratoire. Une prothèse non équilibrée après polymérisation est quasi systématiquement déséquilibrée.

La bonne pratique : Toujours remonter les prothèses sur l’articulateur après polymérisation et réaliser une équilibration complète avant l’insertion en bouche.


5. Ignorer la Dimension Verticale d’Occlusion (DVO)

L’erreur : Négliger la détermination précise de la DVO ou la modifier empiriquement en cours de traitement.

Pourquoi c’est problématique : Une DVO incorrecte compromet l’ensemble de l’équilibre occlusal. Une DVO trop augmentée génère des douleurs musculaires et articulaires ; une DVO trop diminuée entraîne une instabilité prothétique et des problèmes de phonation.

La bonne pratique : Utiliser des méthodes de détermination combinées (espace libre d’inocclusion, méthodes phonétiques, repères esthétiques) et les valider cliniquement avant de fixer la DVO définitive.


6. Placer les Contacts Antérieurs en Occlusion Centrée

L’erreur : Créer des contacts entre les dents antérieures lors du montage en occlusion centrée.

Pourquoi c’est problématique : Les dents antérieures reposent sur une muqueuse souple et ne peuvent pas servir de points d’appui stables. Les forces exercées sur elles déstabilisent la prothèse et traumatisent la muqueuse.

La bonne pratique : En occlusion centrée, maintenir un overjet et un overbite d’environ 1 mm, sans aucun contact antérieur. Les contacts doivent être exclusivement postérieurs et bilatéraux.


Cas Cliniques Commentés

Cas Clinique 1 : Déplacement Prothétique lors de la Mastication

Présentation : M. A., 72 ans, édenté total depuis 6 ans, consulte pour des douleurs et un déplacement de sa prothèse mandibulaire lors des repas. Il rapporte des difficultés à mastiquer les aliments solides depuis la pose de ses nouvelles prothèses il y a 3 mois.

Problématique identifiée : À l’examen, on constate l’absence de contacts équilibrants du côté non travaillant lors des mouvements de latéralité. La prothèse mandibulaire bascule systématiquement vers la droite lors de la mastication du côté gauche. Le papier articulé révèle des contacts exclusivement unilatéraux en dynamique.

Prise en charge : Remontage des prothèses sur articulateur avec transfert arc facial et enregistrements de propulsion et de latéralité. Équilibration complète avec création de contacts équilibrants bilatéraux selon les règles de l’occlusion bilatéralement équilibrée.

Évolution attendue : Disparition des déplacements prothétiques et des douleurs muqueuses en 2 à 3 semaines. Amélioration significative de l’efficacité masticatoire confirmée par le patient.

Point clé illustré : L’absence de contacts équilibrants est l’une des causes les plus fréquentes d’instabilité prothétique. Une équilibration rigoureuse en dynamique est indispensable.


denture mucosal ulcer oral lesion

Cas Clinique 2 : Douleurs Muqueuses Localisées et Ulcération

Présentation : Mme B., 68 ans, porte une prothèse totale bimaxillaire depuis 4 mois. Elle consulte pour une ulcération douloureuse au niveau de la crête mandibulaire antérieure gauche, présente depuis 6 semaines et ne cicatrisant pas malgré les retouches de la base prothétique.

Problématique identifiée : L’examen occlusal révèle un contact prématuré en occlusion centrée au niveau de la première prémolaire mandibulaire gauche. Ce contact crée un effet de bascule antéro-postérieure qui génère une pression localisée sur la crête antérieure. Par ailleurs, la DVO est légèrement augmentée, participant aux tensions musculaires.

Prise en charge : Elimination du contact prématuré par meulage sélectif minutieux après vérification sur articulateur. Réévaluation et légère correction de la DVO. Prescription d’une bain de bouche antiseptique pour favoriser la cicatrisation. L’utilisation d’un bain de bouche Parodontax 0% alcool peut être recommandée pour la phase de cicatrisation.

Évolution attendue : Cicatrisation de l’ulcération en 10 à 15 jours après élimination du contact traumatisant. Disparition des tensions musculaires en 3 semaines.

Point clé illustré : Toute ulcération chronique sous prothèse doit faire rechercher en priorité un déséquilibre occlusal avant d’accuser la base prothétique ou la muqueuse.


Cas Clinique 3 : Résorption Osseuse Accélérée Chez un Patient à Crête Atrophiée

Présentation : M. C., 79 ans, édenté total depuis 25 ans, présente une crête mandibulaire très atrophiée. Des prothèses avec dents anatomiques à forte pente cuspidienne (35°) ont été réalisées il y a 2 ans. Il consulte pour une instabilité prothétique croissante et des douleurs diffuses.

Problématique identifiée : Le choix de dents à forte pente cuspidienne génère des composantes horizontales importantes lors des fonctions occlusales. Sur une crête très atrophiée avec une surface d’appui réduite, ces forces horizontales sont particulièrement délétères : instabilité, pression sur la muqueuse, stimulation non physiologique de l’os résiduel.

Prise en charge : Réalisation de nouvelles prothèses avec des dents à faible relief cuspidien (montage type Sears ou dents semi-anatomiques à 10°). Orientation des forces plus verticalement pour minimiser les composantes horizontales. Rééducation du patient à une mastication bilatérale alternante.

Évolution attendue : Meilleure stabilité prothétique immédiate. Ralentissement de la résorption osseuse résiduelle sur le suivi à 1 an.

Point clé illustré : Le choix du schéma occlusal doit toujours être adapté au contexte clinique du patient, notamment à l’état de la crête résiduelle. Les dents plates ou semi-anatomiques ne sont pas un compromis esthétique mais une nécessité biomécanique chez les patients à crête atrophiée.

Pour maîtriser l’ensemble de la clinique et du laboratoire en prothèse totale, consultez le Guide clinique d’odontologie et les Annales corrigées de l’internat en odontologie 2022-2024.


Foire Aux Questions (FAQ)

Quelle est la différence entre l’occlusion bilatéralement équilibrée et l’occlusion mutuellement protégée ?

L’occlusion bilatéralement équilibrée est spécifique à la prothèse totale : elle exige des contacts bilatéraux simultanés en statique et en dynamique (propulsion, latéralité) pour stabiliser les bases prothétiques. L’occlusion mutuellement protégée est, au contraire, un schéma utilisé en dentition naturelle ou en prothèse fixée, où les dents postérieures protègent les dents antérieures en occlusion centrée, et où les dents antérieures assurent la désocclusion des postérieures en dynamique. Ces deux concepts ne sont pas interchangeables.


Pourquoi ne doit-il y avoir aucun contact antérieur en occlusion centrée pour une prothèse totale ?

Les dents antérieures prothétiques reposent sur la muqueuse de la région symphysaire, qui est souple et peu propice à absorber les pressions. Si des contacts antérieurs existent en OC, ils créent un point d’appui instable à l’avant, provoquant la bascule de la prothèse vers l’arrière (phénomène de levier). En maintenant un overjet et un overbite d’environ 1 mm, on réserve la fonction d’appui aux secteurs postérieurs, nettement plus stables.


Qu’est-ce que le trépied stabilisateur et pourquoi est-il indispensable en propulsion ?

Le trépied stabilisateur désigne un ensemble minimal de trois points de contact lors d’un mouvement de propulsion : un contact inter-incisif antérieur et des contacts entre les deuxièmes molaires antagonistes (ou des contacts généralisés mésio-distaux). Ce schéma en trois points crée un plan stable qui empêche la rotation ou le basculement de la prothèse dans toutes les directions spatiales. Sans ce trépied, la prothèse peut se soulever d’un côté ou se déplacer en avant ou en arrière.


Comment savoir quel schéma occlusal choisir pour mon patient ?

Le choix dépend principalement de l’état de la crête résiduelle, de la qualité de la muqueuse et du profil neuromusculaire du patient. Pour une crête bien formée et une muqueuse saine, le schéma de Gysi-Hanau (dents anatomiques, contacts généralisés) est le plus indiqué. Pour une crête modérément résorbée, le schéma d’Ackermann-Starck simplifie le montage. Pour une crête très atrophiée ou une muqueuse fragile, le schéma de Gerber ou le montage de Sears (dents plates) sont préférables car ils minimisent les composantes horizontales des forces occlusales.


Pourquoi est-il obligatoire de remonter les prothèses en articulateur après polymérisation ?

La polymérisation de la résine prothétique entraîne une légère contraction et une déformation de la base, modifiant les rapports occlusaux établis lors du montage en laboratoire. Ces modifications, même minimes (quelques dixièmes de millimètre), suffisent à créer des contacts prématurés ou à supprimer des contacts équilibrants. Remonter les prothèses après polymérisation permet de détecter et de corriger ces modifications avant la mise en bouche, garantissant la précision de l’occlusion.


Quelle est la règle de Hanau et quel est son intérêt pratique ?

La “roue de Hanau” décrit cinq facteurs interdépendants qui régissent l’équilibre occlusal en prothèse totale : l’angle de la guidance condylienne, l’angle de la guidance incisive, la pente des cuspides, la courbe de compensation (courbe de Spee) et le plan d’occlusion. Ces facteurs sont liés mathématiquement : si l’un change, les autres doivent être ajustés pour conserver l’équilibre. En pratique, l’intérêt est de comprendre que toute modification d’un paramètre (par exemple, réduire la pente cuspidienne) impose d’ajuster les autres (augmenter la courbe de compensation, modifier l’angle incisif, etc.) pour maintenir l’équilibre.


Un patient porteur d’une prothèse bilatéralement équilibrée peut-il avoir des contacts antérieurs en propulsion ?

Oui, et c’est même l’une des règles du trépied en propulsion : un contact inter-incisif antérieur est recherché. Ce contact antérieur joue le rôle de premier point d’appui du trépied stabilisateur lors de la propulsion. La règle d’absence de contact antérieur ne s’applique qu’à l’occlusion centrée, pour éviter les effets de levier sur les dents antérieures en position statique.


Conclusion : Maîtriser l’Occlusion Bilatéralement Équilibrée pour une Prothèse Totale de Qualité

L’occlusion bilatéralement équilibrée est un pilier incontournable de la prothèse amovible totale. Garantir la stabilité des prothèses, préserver les tissus de soutien et restaurer des fonctions orales harmonieuses sont trois objectifs indissociables qui guident l’ensemble du traitement.

Pour y parvenir, il faut maîtriser les règles occlusales en statique et en dynamique, savoir choisir le schéma occlusal adapté à chaque patient, éviter les erreurs classiques de l’étudiant et du clinicien débutant, et accorder autant d’importance à l’équilibration clinique qu’au montage en laboratoire.

Les schémas proposés par Gysi, Hanau, Ackermann, Starck, Gerber et Sears offrent des solutions adaptées à des situations cliniques très variées, de la crête bien formée à la crête très atrophiée. C’est au praticien, au terme d’un bilan clinique rigoureux, de sélectionner l’approche la mieux adaptée à son patient.

Points clés à retenir :

  • En prothèse totale, l’OIM doit coïncider avec l’ORC
  • Contacts simultanés et bilatéraux en OC, sans contact antérieur
  • Trépied stabilisateur obligatoire en propulsion et en latéralité
  • Adapter le schéma occlusal à l’état de la crête résiduelle
  • Toujours équilibrer après polymérisation
  • Un contact équilibrant absent = une prothèse instable

Cette page contient des liens d’affiliation. En cliquant dessus, vous n’êtes pas tenu de vous procurer les produits suggérés, mais si vous le faites, cela ne vous coûte rien de plus et cela m’aide à financer ce site.

À propos de CoursDentaire

L'Excellence Dentaire à Portée de Clic

Voir tous les articles

Leave a Reply

Your email address will not be published. Required fields are marked *