Le Traitement des Dents Incluses : Guide Complet en Chirurgie Dentaire
Mots-clés SEO : dents incluses, inclusion dentaire, canine incluse, traitement orthodontique, dégagement chirurgical, rétention dentaire, diagnostic orthodontique, éruption dentaire perturbée
Introduction : Pourquoi l’Inclusion Dentaire Est-elle un Enjeu Majeur en Orthodontie ?
L’inclusion dentaire représente l’une des pathologies les plus fréquentes et les plus complexes auxquelles est confronté l’orthodontiste. Elle touche environ 15 à 20 % de la population selon les études (LANGLADE, 1986), et peut concerner aussi bien les dents déciduales que permanentes ou surnuméraires.
Une dent incluse est bien plus qu’une simple anomalie esthétique : elle engage le pronostic fonctionnel de l’arcade, la vitalité des dents adjacentes, et parfois la santé parodontale à long terme. Diagnostiquée précocement, elle se traite efficacement. Négligée, elle peut entraîner des complications sévères : résorptions radiculaires, kystes, algies chroniques.
Ce guide s’adresse aux étudiants en odontologie qui souhaitent maîtriser l’ensemble du raisonnement clinique face à une inclusion dentaire : du dépistage au choix thérapeutique, en passant par les investigations radiologiques et les techniques chirurgico-orthodontiques.

Pour approfondir vos connaissances en orthodontie pédiatrique, l’ouvrage Orthodontie de l’enfant et du jeune adulte est une référence incontournable.
Définitions et Terminologie
Maîtriser les définitions est essentiel pour raisonner avec précision, notamment à l’internat.
Rétention dentaire
Terme générique proposé par l’AFNOR désignant toute dent bloquée dans le maxillaire au-delà de la date normale de son éruption, quelle qu’en soit la cause.
Inclusion dentaire
Une dent incluse est une dent retenue dans le maxillaire au-delà de sa date normale d’éruption, entourée de son sac péri-coronaire, sans aucune communication avec la cavité buccale. Cette absence de communication la distingue de la simple rétention.
Inclusion physiologique vs pathologique
Toutes les dents passent par un stade d’inclusion physiologique au cours de leur développement. Il y a pathologie lorsque la dent reste emprisonnée dans l’os et les tissus mous au-delà de la date normale d’éruption, en tenant compte de l’âge dentaire du patient — et non uniquement de son âge chronologique.
Épidémiologie des Dents Incluses
Prévalence générale
Selon LANGLADE (1986), la fréquence des dents incluses dans une population orthodontique est de 15 %, dont 1 % pour les dents mandibulaires. D’autres études portent cette estimation jusqu’à 20 % de la population générale.
Ce sont les dents permanentes qui sont de loin les plus concernées. Les inclusions de dents lactéales restent exceptionnelles et s’inscrivent le plus souvent dans le cadre de grands syndromes malformatifs (BIANCHI et ROCCUZZU recensent seulement 10 cas dans la littérature sur 20 ans, touchant principalement la 2e molaire de lait).
Hiérarchie des dents les plus touchées
Par ordre décroissant de fréquence :
- Dents de sagesse mandibulaires (3e molaires inférieures)
- Dents de sagesse maxillaires (3e molaires supérieures)
- Canines supérieures
- Incisives centrales supérieures
- Prémolaires inférieures
- Canines mandibulaires
- 1ères et 2es molaires (rarement)

Données chiffrées à connaître
- Canine supérieure : 2,84 % d’inclusion au maxillaire (exception faite des DDS)
- La canine supérieure est 20 fois plus incluse au maxillaire qu’à la mandibule
- Position palatine : 50 à 85 % des cas — position vestibulaire : 30 % — position intermédiaire : 20 %
- Côté unilatéral dans 80 % des cas, légèrement plus à droite
- À la mandibule : 1ère PM incluse dans 0,48 %, 2e PM dans 0,24 %, canine dans 0,22 %
- 90 % des inclusions sont recouvertes essentiellement de tissus mous
- Légère prédominance féminine : 60 % selon ROHRER (1929)
Diagnostic Clinique
Le diagnostic doit être établi le plus précocement possible afin de surveiller l’évolution et de mettre en place une thérapeutique adaptée au moment opportun.
Spécificité selon le type de dent incluse
L’absence d’incisive centrale supérieure est souvent détectée rapidement par les parents, dès l’éruption de la latérale qui réduit l’espace médian et crée une asymétrie visible. Pour les autres dents, la découverte est presque toujours fortuite lors d’un examen de dépistage.
Examen Exobuccal
Les signes exobuccaux sont rares et discrets. Ils concernent essentiellement le soutien des tissus mous, en particulier la lèvre supérieure.
L’examen des articulations temporo-mandibulaires (ATM) est systématique, à la recherche de troubles liés à une cinétique mandibulaire perturbée par l’absence de protection canine ou de guide incisif correct.
Examen Endobuccal
Inspection
- Absence de la dent permanente après sa date normale d’éruption
- Persistance tardive de la dent temporaire correspondante
- Diminution de l’espace nécessaire à l’éruption sur l’arcade
- Dysharmonie dento-maxillaire (DDM)
- Signes de QUINTERO et de DUFRECHE (voir section canines)
- Versions des dents adjacentes
- Anomalie d’insertion du frein labial supérieur

Palpation
- Recherche d’une voussure fibro-muqueuse : indolore, incompressible, palatine ou vestibulaire
- Une palpation douloureuse sur une muqueuse rouge et œdématiée évoque une complication infectieuse
- Étude de la mobilité des dents temporaires et permanentes adjacentes (rhizalyse ?)
Rétention des Incisives
Signes à l’examen de la denture
- Absence d’une incisive sur l’arcade alors que son homologue a évolué depuis plus de 6 mois → anomalie très significative (EINHOLTZ)
- Persistance de l’incisive lactéale : évaluer sa mobilité et sa coloration
- Présence de l’incisive latérale permanente en l’absence de centrale = signe d’alerte fort
Examen de la région alvéolaire
- Diminution ou fermeture de l’espace
- Voussure fibro-muqueuse vestibulaire ou palatine en regard du site
- Fistule possible si palpation douloureuse
- Déviation de la suture inter-maxillaire : évocatrice d’une incisive palatine orientée vers le PSM
Examen occlusal
- Déviation des milieux inter-incisifs du côté de l’inclusion
- Mésio-gression des secteurs postérieurs
- Ouverture de diastèmes
Rétention des Canines
Signes cliniques spécifiques
À partir de 13 ans (ou 6 mois après l’éruption de la canine controlatérale), la persistance de la canine temporaire sur l’arcade doit alerter. On distingue :
- Absence de la canine temporaire non remplacée par la canine définitive : diastème résiduel entre latérale et prémolaire
- Signe de DUFRECHE : rotation axiale de l’incisive latérale
- Signe de QUINTERO : vestibulo-position coronaire et rotation mésio-vestibulaire de la latérale (signe pathognomonique de l’inclusion canine). La couronne de la latérale est déplacée dans le sens opposé à la pression exercée sur sa racine
- Rotation mésio-linguale de la 1ère prémolaire : joue en faveur d’une inclusion palatine (BASSIGNY)
L’absence ou la microdontie de l’incisive latérale modifie le guide d’éruption canin et doit retenir l’attention.
Examen de la région alvéolaire
- Voussure fibro-muqueuse dure, indolore, non dépressible : région palatine rétro-incisive ou vestibulaire en regard de l’apex de la latérale
- Possibilité de fistule par mortification pulpaire de la latérale
- Chez l’adulte : algies par lyse des dents voisines, accidents infectieux type péricoronarite
Examen occlusal
- Déviation des milieux inter-incisifs
- Mésio-gression ou version des secteurs postérieurs
- Perte du guidage canin → apparition de surfaces d’usure, interférences et prématurités
- Trauma occlusal antérieur en l’absence de protection de groupe compensatoire
Rétention des Prémolaires
La 2e prémolaire inférieure est la plus concernée. Signes cliniques :
- Persistance des molaires lactéales sans mobilité
- Perte prématurée des molaires lactéales avec migration mésiale des 1ères molaires
- Absence ou réduction de l’espace d’éruption
- Résorption des racines des dents adjacentes
- Apparition de diastèmes antérieurs
- Version distale de la dent adjacente mésiale par pression coronaire de la dent incluse sur la racine
- Perturbation globale des rapports intra et inter-arcades
Rétention des Molaires
L’inclusion molaire (hors 3e molaires) est rare, mais ses conséquences sont sévères :
- Diastème en regard du site d’inclusion
- Perturbation des rapports molaires inter-arcades
- Prématurités et interférences occlusales
- Effondrement de la dimension verticale
- Caries distales coronaires ou radiculaires douloureuses
- Accidents infectieux (péricoronarite), kystiques et algiques
Investigations Radiologiques
Examens de 1ère intention
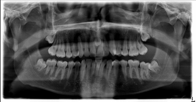
Radiographie Panoramique
La panoramique est l’examen de débrouillage incontournable. Elle permet d’évaluer :
- La position dans le plan vertical (hauteur d’inclusion)
- L’axe général de la dent
- Les rapports avec les dents voisines (résorptions ?)
- La présence d’odontomes ou de germes surnuméraires

Limite importante : la position vestibulaire ou palatine ne peut pas être formellement déterminée sur cet examen seul.
Téléradiographie de Profil (Norma Latéralis)
Cet examen lève le doute d’agénésie et apporte des informations dans le plan vertical et antéropostérieur. Sa limite est la superposition des dents des deux hémi-mâchoires.
Rétro-alvéolaire
Examen de choix pour préciser :
- La forme et l’anatomie de la canine (volume, fermeture apicale, coudure radiculaire)
- L’état du follicule dentaire et de l’espace desmodontal
- L’existence ou la suspicion d’une ankylose
- Les rapports de voisinage : ERICKSON et KUROL estiment les atteintes des incisives permanentes chez les 10-13 ans à 0,71 %
- L’aspect des tissus environnants (kystes, odontomes)
Examens de 2e Intention
Dentascan et Reconstitution 3D (CBCT)
Le CBCT (Cone Beam Computed Tomography) est devenu le gold standard pour le bilan des inclusions complexes. Il repose sur l’absorption différentielle des rayonnements par les diverses structures et permet des coupes de 1 mm d’épaisseur dans le plan axial.

Ses apports sont décisifs :
- Localisation tridimensionnelle précise de la dent incluse
- Visualisation détaillée des rapports avec les structures de voisinage
- Localisation des obstacles (odontomes, dents surnuméraires)
- Suspicion et quantification des séquelles sur les dents adjacentes (rhizalyse)
- Bilan osseux complet (kystes associés)
- Documents fournis en grandeur réelle, permettant des mesures directes
Pour maîtriser la lecture des examens radiologiques en odontologie, le Guide clinique d’odontologie offre une approche diagnostique complète et actualisée.
Stratégie Thérapeutique : Paramètres Décisionnels
Facteurs Clés à Évaluer
La stratégie thérapeutique dépend d’une évaluation globale du patient selon plusieurs critères fondamentaux :
L’âge est un facteur primordial. Plus le patient est jeune, meilleur est le pronostic en termes de mobilisation orthodontique et de cicatrisation parodontale. Les traitements chez l’adulte sont possibles mais les conditions physiologiques sont moins favorables.
La motivation du patient et de sa famille est indispensable. L’orthodontiste doit informer clairement de la durée et de la complexité possible du traitement (plusieurs chirurgies), solliciter l’adhésion active et ne jamais imposer une désinclusion sans consentement éclairé.
L’état du parodonte conditionne fortement le choix thérapeutique. La présence de parodontopathies (récession, gingivite, perte d’attache, lyse osseuse) doit être soigneusement évaluée, de même que la hauteur de gencive attachée en regard du site.
La valeur esthétique et fonctionnelle de la dent oriente les priorités : tout doit être mis en œuvre pour sauver une incisive centrale ou une canine.
La position dans les trois plans de l’espace est déterminante. Une dent trop haute, entre les apex, horizontale ou antrale impose des décisions différentes.
L’ankylose (GLICKMAN) est définie comme la fusion de l’os alvéolaire au cément avec disparition du ligament alvéolaire. Elle contre-indique formellement toute traction orthodontique : celle-ci déplacerait les dents d’ancrage voire l’ensemble de l’arcade.
La coudure ou dilacération radiculaire doit être prise en compte. Une dilacération importante amène généralement à la perte de la dent, mais une tentative de mise sur l’arcade peut être envisagée pour préserver le capital osseux en vue d’une future prothèse implanto-portée.
Note importante : La mortification pulpaire ne contre-indique pas la désinclusion orthodontique.
Options et Alternatives Thérapeutiques
Traitement Préventif
1. Élimination des obstacles
Les dents surnuméraires : fréquentes au maxillaire (80-90 %, surtout au prémaxillaire), elles constituent un obstacle majeur à la migration intra-osseuse. Un dépistage radiologique vers 9 ans (1ère période de transition de denture mixte) est recommandé. Si une dent surnuméraire est mise en évidence, son extraction doit être réalisée précocement, dès qu’un retard d’éruption est suspecté.
Les odontomes sont les tumeurs d’origine dentaire les plus répandues. Leur exérèse incomplète entraîne des récidives. Le principe est le suivant : plus l’extraction des dents surnuméraires se fait précocement, plus les chances d’évolution spontanée de la dent permanente augmentent.

2. Extraction de la dent temporaire
En se référant à l’étude d’ERICSSON et KUROL (1988), il est recommandé d’extraire la canine temporaire dès que le diagnostic de dystopie palatine est établi.
L’âge de 8 ans est le moment opportun pour observer l’éruption intra-osseuse de la canine maxillaire et réaliser le dépistage d’une inclusion. C’est à ce stade que la dent quitte normalement sa position palatine pour migrer en vestibulaire.
Le retard dans la chute de la temporaire doit être considéré comme une conséquence de la dystopie de la dent succédanée, et non comme sa cause.
3. Aménagement d’un couloir d’éruption
Expansion antérieure du prémaxillaire : Un hypodéveloppement sagittal du prémaxillaire diminue la longueur antérieure de l’arcade. Les moyens disponibles sont :
- Quad’hélix
- Disjoncteur
- Plaque palatine à vérin médian
- Arc de base d’expansion de Ricketts

Distalisation des secteurs latéraux (en cas de mésialisation secondaire à une extraction précoce) :
- Pendulum d’Hilgers
- Distal Jet
- Forces extra-orales
Germectomie des premières prémolaires : en cas de DDM sévère, si les canines sont en bon axe et en correspondance avec les premières prémolaires, la germectomie ou l’extraction précoce des 1ères PM libère le couloir d’éruption.
Traitement Curatif
L’abstention thérapeutique
L’abstention peut s’envisager dans deux situations :
- Le patient refuse le traitement et la dent incluse ne représente aucune menace pour son environnement
- La mise en place de la dent est impossible (position, ankylose) et l’avulsion serait trop délabrante (dent trop haute, en proximité du sinus ou du nerf dentaire)
Extraction de la dent incluse
Elle est indiquée lorsque la dent incluse est :
- Associée à des complications nerveuses, infectieuses, mécaniques ou tumorales
- Ankylosée et gênante pour l’environnement
- Déformée avec une angulation corono-radiculaire importante
- Un danger pour une dent adjacente (résorption, mobilité, risque carieux)
Le Traitement Chirurgico-Orthodontique
C’est l’approche de choix pour la majorité des inclusions traitées activement.
Indications et contre-indications
Indications :
- Chez l’enfant jusqu’à 14 ans, quand les techniques de levée d’obstacles s’avèrent insuffisantes
- Chez l’adolescent entre 14 et 20 ans, sauf si l’espace disponible est suffisant et la dent seulement ectopique
- Chez l’adulte, qui est le plus souvent le candidat idéal au traitement chirurgico-orthodontique, du fait de l’absence d’évolution spontanée
Contre-indications :
- Dent incluse ankylosée
- Dent en position horizontale
- Risque de mortification de la dent ou d’une dent voisine
- Angulation corono-radiculaire importante (une coudure radiculaire seule ne contre-indique pas la traction)
- Dégagement trop mutilant (inclusion très haute)
- Patient non coopérant
Phase 1 : Préparation Orthodontique
Après correction des dysmorphoses, l’évaluation de l’espace disponible est indispensable.
Si l’espace est suffisant : pas d’avulsions nécessaires. Le gain de place au secteur incisif peut s’obtenir par stripping, nivellement, fermeture des diastèmes, levée de supraclusion, ou expansion antérieure (arc de Ricketts).
Si l’espace est insuffisant : extractions de dents permanentes nécessaires, notamment en cas de :
- Mésialisation importante des secteurs latéraux
- Croissance de type rotation postérieure
- Traitement tardif
- DDM sévère
- Dents fortement cariées (notamment les dents de 6 ans)
La canine temporaire peut être conservée provisoirement pour des raisons esthétiques et biomécaniques (maintien de l’espace mésio-distal et de la largeur vestibulo-linguale de la crête alvéolaire).

Phase 2 : Dégagement Chirurgical et Technique de Collage
La voie d’abord (vestibulaire ou palatine) est déterminée par la position de la dent incluse. Après dégagement de la couronne, un bouton de traction est collé directement sur la surface amélaire.
Protocole de collage :
- Dépôt d’adhésif sur l’attache et sur la surface préparée
- Séchage rapide à la canule d’aspiration (évaporation du solvant)
- Dépôt d’une faible quantité de résine composite sur la base de l’attache
- Positionnement de l’attache (pinces classiques ou, pour les inclusions profondes, pinces diamantées fines ou guide JPL)
- Élimination des excès à la sonde
- Polymérisation de l’adhésif et du composite

Phase 3 : Traction Orthodontique Postopératoire
La traction peut être réalisée par fil, élastique, power chain ou chaînette, en intra- ou inter-arcade. L’arc principal sert d’ancrage.
- Les tractions par arc principal génèrent une intensité variable nécessitant des activations fréquentes (forces discontinues)
- L’utilisation de ressorts fermés en NiTi est préférable : elle génère des forces légères et continues, plus favorables à la désinclusion progressive et atraumatique
Pour une maîtrise complète de la biomécanique orthodontique appliquée, l’ouvrage BIOMECANIQUE ORTHODONTIQUE est une référence de choix pour les étudiants avancés.
Quelle Approche Choisir ? Tableau Comparatif des Options Thérapeutiques
Voici un récapitulatif des principales options thérapeutiques pour vous aider à structurer votre raisonnement clinique face à une inclusion dentaire.
| Critère | Abstention | Extraction | Traitement Préventif | Chirurgico-Orthodontique |
|---|---|---|---|---|
| Âge optimal | Tout âge | Tout âge | < 10 ans | < 20 ans (idéal) |
| Indication principale | Ankylose / refus | Complications / ankylose | Dépistage précoce | Inclusion sans ankylose |
| Complexité | Nulle | Modérée | Faible | Élevée |
| Durée de traitement | — | Courte | 6-18 mois | 18-36 mois |
| Résultat fonctionnel | Nul | Dent absente | Éruption spontanée | Dent sur l’arcade |
| Résultat esthétique | Inchangé | Prothèse nécessaire | Optimal | Optimal |
| Coopération requise | Faible | Faible | Modérée | Élevée |
| Pronostic parodontal | Variable | Bon (site préservé) | Excellent | Bon si traitement précoce |
Erreurs Fréquentes à Éviter
1. Retarder le dépistage radiologique
L’erreur : attendre les signes cliniques évidents avant de réaliser une panoramique de dépistage.
Pourquoi c’est problématique : passé l’âge de 9-10 ans, une inclusion canine ou incisive en cours peut déjà provoquer des résorptions radiculaires silencieuses sur les dents adjacentes. Ces séquelles sont irréversibles.
La bonne pratique : réaliser une panoramique de dépistage systématique vers 9 ans, à la 1ère période de transition de denture mixte.

2. Confondre âge dentaire et âge chronologique
L’erreur : diagnostiquer une inclusion uniquement sur la base de l’âge civil du patient.
Pourquoi c’est problématique : deux enfants du même âge peuvent avoir des âges dentaires très différents. Un retard d’éruption peut être physiologique chez un patient à maturation tardive.
La bonne pratique : toujours évaluer l’âge dentaire à partir des données radiologiques (stade de Nolla, ossification des germes adjacents) avant de parler d’inclusion pathologique.
3. Sous-estimer le signe de QUINTERO
L’erreur : ne pas rechercher les signes cliniques subtils d’une canine incluse lors de l’examen endobuccal.
Pourquoi c’est problématique : la rotation mésio-vestibulaire de la couronne de l’incisive latérale est un signe pathognomonique de pression canine. Le rater retarde le diagnostic de plusieurs mois à années.
La bonne pratique : inspecter systématiquement la position et l’axe de l’incisive latérale chez tout enfant de 10-12 ans, et palper la région palatine rétro-incisive.
4. Coller l’attache sans isolement rigoureux
L’erreur : tenter le collage du bouton de traction sur une surface amélaire humide ou contaminée lors du dégagement chirurgical.
Pourquoi c’est problématique : l’humidité et la contamination salivaire sont les premières causes d’échec du collage, conduisant à une deuxième intervention chirurgicale.
La bonne pratique : assurer un isolement rigoureux du champ opératoire, sécher soigneusement à la canule d’aspiration avant tout dépôt d’adhésif, et procéder à la polymérisation de manière contrôlée.
5. Appliquer des forces trop lourdes en traction
L’erreur : utiliser des élastiques ou des arcs générant des forces importantes pour accélérer la désinclusion.
Pourquoi c’est problématique : des forces excessives provoquent des résorptions radiculaires, des lésions parodontales, voire des pertes d’ancrage avec déplacement des dents supports.
La bonne pratique : privilégier les ressorts en NiTi à mémoire de forme, qui génèrent des forces légères, continues et constantes, bien plus favorables à la migration progressive et atraumatique.
6. Négliger le pronostic parodontal post-traitement
L’erreur : se concentrer exclusivement sur la mise en place mécanique de la dent sans anticiper l’état parodontal final.
Pourquoi c’est problématique : une désinclusion techniquement réussie peut aboutir à une dent sur l’arcade avec une récession importante, une hauteur de gencive attachée insuffisante, ou un défaut osseux compromettant sa pérennité.
La bonne pratique : évaluer en amont la hauteur de gencive attachée sur le site receveur, planifier si nécessaire une greffe muqueuse concomitante ou différée, et assurer un suivi parodontal régulier.
Cas Cliniques Commentés
Cas Clinique 1 : Canine Supérieure Incluse en Position Palatine chez une Adolescente de 13 ans
Présentation : Emma, 13 ans, est adressée par son pédodentiste pour persistance de la canine temporaire supérieure droite et absence de la canine permanente. Pas de douleur. La canine controlatérale est présente sur l’arcade depuis 6 mois.
Examen clinique : Signe de QUINTERO positif à droite (rotation mésio-vestibulaire de l’incisive latérale 12). Voussure palatine rétro-incisive dure, indolore, non dépressible. Pas de fistule.
Investigations : La panoramique confirme l’inclusion canine 13 en position haute, axe oblique. Le CBCT localise la canine en position palatine, avec son apex en regard de la racine de l’incisive latérale sans résorption visible.
Prise en charge : Phase orthodontique préparatoire pour ouvrir l’espace et aligner les incisives. Extraction de la canine temporaire. Dégagement chirurgical palatin sous anesthésie locale avec collage d’un bouton de traction. Traction par ressort NiTi vers le bas et le vestibulaire.
Évolution attendue : Mise en place de la canine sur l’arcade en 12 à 18 mois. Pronostic favorable compte tenu de l’âge de la patiente, de l’absence de résorption et de sa bonne coopération.
Point pédagogique : Le signe de QUINTERO est un signe d’appel précoce que tout clinicien doit rechercher systématiquement chez l’enfant de 10-13 ans.

Cas Clinique 2 : Incisive Centrale Incluse avec Dent Surnuméraire chez un Enfant de 9 ans
Présentation : Lucas, 9 ans, consulte pour asymétrie du sourire. L’incisive centrale supérieure gauche (21) n’est pas sortie alors que la controlatérale (11) est présente depuis 8 mois.
Examen clinique : Diastème médian. Voussure fibro-muqueuse palatine discrète en regard du site 21. La latérale 22 est présente.
Investigations : La panoramique révèle la présence d’un mésiodens (dent surnuméraire médio-palatine) bloquant l’éruption de 21. La dent incluse est en position verticale, sans anomalie de forme.
Prise en charge : Extraction chirurgicale précoce du mésiodens. Surveillance clinique et radiologique pendant 6 mois. En l’absence d’éruption spontanée, dégagement et traction orthodontique.
Évolution attendue : Dans 60 à 70 % des cas, l’extraction seule du mésiodens permet une éruption spontanée de 21 dans les 12 à 18 mois suivants, sans nécessiter de traction.
Point pédagogique : Devant tout retard d’éruption d’une incisive centrale, la première étape est d’éliminer un obstacle mécanique. L’extraction précoce d’un mésiodens est souvent suffisante chez l’enfant.
Cas Clinique 3 : Inclusion de la 2e Prémolaire Inférieure Gauche chez un Adulte de 28 ans
Présentation : Karim, 28 ans, consulte pour une douleur sourde intermittente au secteur 3. La panoramique de routine révèle une 2e prémolaire inférieure gauche (35) totalement incluse en position horizontale, sous la racine de la 1ère molaire (36).
Examen clinique : Absence de 35 sur l’arcade. La molaire de lait correspondante avait été extraite à 10 ans. Espace résiduel quasi fermé en raison de la mésialisation de 36.
Investigations : Le CBCT confirme la position horizontale de 35, avec contact rapproché de sa couronne avec la racine mésiale de 36. Pas de résorption évidente mais situation à risque.
Prise en charge : Après discussion des options avec le patient, la décision d’extraction est retenue : la position horizontale contre-indique la traction orthodontique, et le risque de lésion radiculaire sur 36 est trop important. Une consultation implantaire est programmée pour le remplacement prothétique.
Évolution attendue : Extraction chirurgicale par voie vestibulaire, préservation du capital osseux par greffe d’apposition si nécessaire, en vue d’un implant à 6 mois.
Point pédagogique : Chez l’adulte, la position horizontale d’une dent incluse associée à un espace fermé impose souvent l’extraction plutôt que la désinclusion, particulièrement lorsque les structures adjacentes sont menacées.
Foire Aux Questions (FAQ)
Comment savoir si une canine supérieure est incluse ou simplement en retard d’éruption ?
Si la canine permanente n’est pas visible sur l’arcade à 13 ans, ou si son homologue controlatérale est sortie depuis plus de 6 mois, il faut systématiquement réaliser un bilan radiographique (panoramique et rétro-alvéolaire). La présence du signe de QUINTERO (rotation de la latérale) est un indice clinique fort d’inclusion canine. En cas de doute, un CBCT permet une localisation 3D précise et définitive.
À partir de quel âge faut-il réaliser une panoramique de dépistage des inclusions ?
L’âge de référence est 9 ans, correspondant à la 1ère période de transition de denture mixte. C’est à ce stade que les germes des canines, prémolaires et incisives permanentes sont suffisamment développés pour être évalués radiologiquement, et que les éventuels obstacles (mésiodens, odontomes) peuvent être détectés et traités précocement.
Quelle est la différence entre rétention et inclusion dentaire ?
La rétention est un terme générique : toute dent bloquée au-delà de sa date normale d’éruption, quelle qu’en soit la cause. L’inclusion est un sous-type plus précis : la dent est retenue dans le maxillaire, entourée de son sac péri-coronaire, sans aucune communication avec la cavité buccale. Cette distinction est importante à l’écrit de l’internat.
Une dent incluse peut-elle s’érupter spontanément sans traitement ?
Oui, dans certaines conditions. Chez l’enfant de moins de 10 ans, l’extraction d’un obstacle (mésiodens, odontome, dent temporaire) peut suffire à libérer l’éruption spontanée de la dent permanente dans 60 à 70 % des cas. Plus le patient est jeune et plus l’inclusion est récente, plus les chances d’éruption spontanée sont élevées après levée de l’obstacle.
La traction orthodontique est-elle douloureuse après la chirurgie de dégagement ?
Les suites postopératoires immédiates (24-48h) génèrent un certain inconfort lié au dégagement chirurgical, gérable par antalgiques classiques. La traction orthodontique en elle-même, si elle est correctement calibrée avec des forces légères et continues (ressorts NiTi), est généralement bien tolérée. La douleur augmente en cas de forces trop lourdes, ce qui est une erreur à éviter absolument.
Pourquoi la canine est-elle la dent la plus importante à “sauver” en cas d’inclusion ?
La canine est le pilier central de l’arcade dentaire : elle assure le guidage canin en propulsion et protège les dents postérieures lors des mouvements latéraux (protection de groupe ou fonction de groupe). Son absence entraîne des interférences, des usures prématurées et peut déstabiliser l’ensemble de la dynamique occlusale. Sa forme, sa longueur radiculaire et sa position lui confèrent une longévité exceptionnelle. C’est pourquoi l’orthodontiste doit tout mettre en œuvre pour la mettre sur l’arcade.
Une dent ankylosée peut-elle être désincluse orthodontiquement ?
Non. L’ankylose (fusion os-cément avec disparition du ligament alvéolaire) est une contre-indication formelle à la traction orthodontique. Toute force appliquée provoquerait le déplacement des dents d’ancrage voire de l’arcade entière, sans mobiliser la dent ankylosée. La solution est soit l’extraction, soit la surveillance si la dent n’est pas gênante. Chez l’enfant, une tentative de désinclusion chirurgicale par luxation peut parfois “casser” l’ankylose, mais le pronostic reste réservé.
Quels outils permettent de préparer efficacement l’internat en odontologie sur ce sujet ?
Pour les étudiants en préparation à l’internat, plusieurs ressources sont recommandées : les Annales corrigées de l’internat en odontologie 2022-2024 pour s’entraîner sur des cas cliniques réels.
La plateforme ResiDentaire™ qui propose des QCM interactifs en médecine dentaire. Pour la partie orthodontique et pédiatrique
L’ouvrage Orthodontie interceptive complète efficacement la préparation théorique.
Conclusion
L’inclusion dentaire est loin d’être une pathologie anodine. Sa prise en charge repose sur un trépied diagnostique rigoureux : examen clinique systématique, investigations radiologiques adaptées et évaluation globale du patient.
Quelques principes fondamentaux à retenir :
- Le dépistage à 9 ans par panoramique est incontournable et doit être routinier
- Plus la prise en charge est précoce, meilleur est le pronostic
- Le choix thérapeutique dépend toujours d’une analyse multiparamétrique (âge, position, ankylose, motivation)
- La canine supérieure et l’incisive centrale méritent tous les efforts chirurgico-orthodontiques
- Les forces de traction doivent être légères et continues pour être efficaces et atraumatiques
Les parents doivent être informés et conscients des enjeux dès le plus jeune âge de leur enfant. L’orthodontiste, le chirurgien-dentiste et le pédodontiste jouent un rôle collectif dans ce dépistage.
Pour approfondir l’orthodontie interceptive et les stratégies préventives en denture mixte, les ouvrages Orthopédie dento-faciale en dentures temporaire et mixte et Guide d’odontologie pédiatrique constituent des références solides pour l’étudiant comme pour le praticien.
Cette page contient des liens d’affiliation Amazon. En cliquant dessus, vous n’êtes pas tenu de vous procurer les produits suggérés, mais si vous le faites, cela ne vous coûte rien de plus et cela m’aide à financer ce site.
Leave a Reply