Dysharmonie Dento-Maxillaire (DDM) : Guide Complet pour Étudiants en Odontologie
La dysharmonie dento-maxillaire représente l’une des anomalies orthodontiques les plus fréquemment rencontrées en pratique clinique. Comprendre ses mécanismes, savoir la diagnostiquer et anticiper ses conséquences constituent des compétences essentielles pour tout étudiant en odontologie. Ce guide exhaustif vous permettra de maîtriser tous les aspects de cette pathologie, de la théorie à la pratique clinique.

Qu’est-ce que la Dysharmonie Dento-Maxillaire ?
Définition fondamentale
La dysharmonie dento-maxillaire (DDM) correspond à une disproportion entre les dimensions mésio-distales des dents permanentes et le périmètre des arcades alvéolaires correspondantes. En termes plus simples, il existe un déséquilibre entre la taille des dents et l’espace disponible pour les accueillir sur l’arcade dentaire.
Cette disproportion rompt la continuité normale des arcades dentaires au niveau des faces proximales. Le signe clinique le plus évident est un encombrement des arcades dentaires, visible dès l’examen initial du patient.

Classification : DDM par excès vs DDM par défaut
Il est classique de différencier deux grands types de dysharmonies :
DDM par excès : Les dents sont trop volumineuses par rapport à l’arcade, ou l’arcade est trop petite pour accueillir des dents de taille normale. C’est la forme la plus courante, responsable de l’encombrement dentaire.
DDM par défaut : Situation inverse où les dents sont plus petites que la moyenne (microdontie) sur un maxillaire de volume habituel. Cette forme est beaucoup plus rare et se manifeste par des diastèmes (espaces interdentaires).

Localisation Anatomique des DDM
La dysharmonie peut affecter différents secteurs de l’arcade dentaire. Cette classification topographique aide à cibler le diagnostic et orienter le traitement.
DDM à localisation antérieure
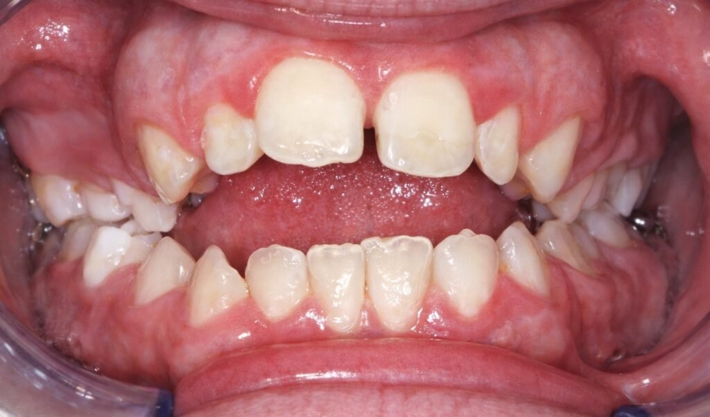
Concerne les incisives et canines. C’est la forme la plus visible esthétiquement et souvent celle qui motive la consultation. L’encombrement incisif se manifeste par des chevauchements, des rotations ou des malpositions des dents antérieures.
DDM à localisation latérale
Touche les prémolaires et premières molaires. Moins visible que la forme antérieure, elle peut néanmoins entraîner des complications fonctionnelles et parodontales importantes.
DDM à localisation postérieure
Implique les deuxièmes et troisièmes molaires (dents de sagesse). Fréquemment, cette forme aboutit à l’inclusion des dents de sagesse, nécessitant parfois une extraction chirurgicale.
Étio-Pathogénie : Comprendre les Causes
Théories explicatives
Plusieurs hypothèses scientifiques tentent d’expliquer l’origine des dysharmonies dento-maxillaires :
Indépendance phylogénétique et embryologique : Certains auteurs mettent en avant l’indépendance évolutive et développementale entre la denture et les maxillaires. Cette autonomie dans le développement permettrait de comprendre les incoordinations entre dimensions des mâchoires et dimensions des dents.
Hérédité croisée : La DDM s’expliquerait par un mécanisme d’hérédité croisée (petits maxillaires hérités de la mère, grandes dents héritées du père), constituant une véritable “maldonne génétique”. Ce phénomène explique pourquoi on peut retrouver des DDM sans antécédents familiaux directs.
Facteur familial et ethnique : Il semble que de très nombreuses DDM soient simplement liées à un type familial ou ethnique particulier, sans qu’il s’agisse nécessairement d’une pathologie.
Les trois types d’encombrement chronologique
La DDM évolue dans le temps selon trois phases distinctes, chacune ayant sa propre étiologie :
1. Encombrement primaire
C’est la conséquence directe d’un manque d’harmonie entre les proportions relatives des maxillaires et des dents, d’origine génétique. Cette anomalie est décelable dès la denture temporaire, notamment par l’absence des diastèmes de Bogue (espaces physiologiques entre les dents de lait).
L’absence de ces espaces à 5 ans constitue un signe prédictif fort d’un encombrement futur en denture permanente.
2. Encombrement secondaire
Cet encombrement coïncide avec l’évolution des canines permanentes et, plus tardivement, des deuxièmes molaires permanentes. Il peut être dû à :
- La poussée mésialante physiologique des dents
- La perte prématurée de dents temporaires (origine pathologique ou iatrogène)
Ce type d’encombrement a donc une origine partiellement évitable par une bonne prise en charge de la denture temporaire.
3. Encombrement tertiaire
Plus fréquemment observable chez les adolescents et jeunes adultes, il correspond à :
- La phase d’éruption active des troisièmes molaires (dents de sagesse)
- La croissance terminale de la mandibule
- Le redressement lingual des axes des incisives en fin de maturation
Ces trois types d’encombrements peuvent se cumuler au cours de l’établissement de l’occlusion, aggravant progressivement la situation clinique.

Diagnostic Clinique et Paraclinique
Outils diagnostiques nécessaires
Le diagnostic complet d’une DDM nécessite plusieurs examens complémentaires :
- Examen clinique approfondi
- Moulages d’étude des arcades dentaires
- Radiographie panoramique dentaire
- Téléradiographies de profil et à 45°
- Radiographies rétro-alvéolaires long cône (secteurs antérieurs)
Signes faciaux
Le préjudice esthétique peut se manifester à différents niveaux :
Atteinte purement dentaire : Conséquence directe de l’encombrement avec malpositions incisives, canines en ectopie, rotations, linguo-occlusions localisées, sans retentissement sur le profil facial cutané.
Atteinte dento-faciale : La DDM s’associe à une biprotrusion faciale ou biproalvéolie, modifiant le profil du patient. Cette forme a un impact esthétique majeur et influence significativement la décision thérapeutique.
Signes occlusaux selon le stade de développement
En denture temporaire (avant 6 ans)
L’absence des diastèmes de Bogue à 5 ans apporte de fortes présomptions en faveur de l’apparition d’un encombrement ultérieur en denture permanente. Ce signe précoce permet d’alerter les parents et d’instaurer une surveillance régulière.
En phase de constitution de la denture mixte
À la mandibule – Niveau incisif :
- Rhizalyse prématurée des incisives latérales temporaires par les incisives centrales permanentes
- Évolution des incisives latérales en linguo-position (premier signe annonciateur d’un encombrement incisif)
- Vestibulo-occlusion localisée à une incisive centrale inférieure
À la mandibule – Niveau des canines temporaires (trois modalités évolutives) :
Type 1 : Les canines temporaires persistent → encombrement incisif important et dénudations fréquentes de l’incisive centrale inférieure la plus vestibulée
Type 2 : Expulsion unilatérale d’une canine temporaire → déviation du milieu interincisif du côté de l’élimination et encombrement incisif plus réduit
Type 3 : Expulsion spontanée des deux canines temporaires → absence d’encombrement incisif, mais diastèmes réduits ou supprimés pour les canines permanentes
Au maxillaire : Malpositions incisives, linguo-occlusions d’une ou deux incisives latérales, élimination possible d’une ou deux canines temporaires (processus identique à celui décrit à la mandibule).
En denture mixte stable et denture adolescente
Manifestations antérieures :
Niveau incisif :
- Encombrement incisif patent
- Dénudation accentuée d’une incisive avec parfois absence de gencive attachée
- Facettes d’abrasion sur les dents en occlusion inversée
- Mobilité d’une dent inférieure en vestibulo-occlusion
Niveau des canines permanentes :
- Évolution vestibulaire en infra-mésio-vestibulo-position
- Défaut ou manque de gencive attachée si le site d’éruption était situé dans la muqueuse
- Inclusion vestibulaire ou palatine possible
Manifestations latérales :
- Premières prémolaires évoluant en vestibulo ou linguo-occlusion
- Prémolaires retenues entre canines permanentes et deuxièmes molaires temporaires
- Linguo ou vestibulo-occlusion des deuxièmes prémolaires
- Inclusion des deuxièmes prémolaires d’origine secondaire
- Rotation des prémolaires accentuant le déficit d’espace
Manifestations postérieures :
Premières molaires :
- Première molaire supérieure enclavée sous la deuxième molaire temporaire
- Rhizalyse de la racine distale de la deuxième molaire temporaire
- Élimination précoce de la molaire temporaire suite à l’éruption de la dent de 6 ans
- Rotation mésio-vestibulaire diminuant l’espace disponible
Deuxièmes molaires :
- Vestibulo-version de la deuxième molaire supérieure
- Vestibulo-position des deuxièmes molaires inférieures créant des contacts cuspidiens anormaux
- Deuxième molaire inférieure enclavée sous le bombé distal de la première molaire
Troisièmes molaires :
- Inclusion des dents de sagesse (manifestation plus tardive)

Signes radiographiques
Manifestations antérieures
Sur la téléradiographie de profil (denture mixte précoce) :
- Image de la canine située près de la corticale symphysaire externe (signe de DDM importante)
- Vestibulo-version des incisives associée à l’encombrement (signe de Bimler)
Sur la radiographie panoramique :
- Axe des germes des canines permanentes fortement mésio-versés
- Diastèmes réduits
- Disto-version des incisives latérales supérieures (stade “vilain petit canard”, signes de Quintero)
Manifestations latérales
- Prémolaires enclavées ou incluses
- Disto ou mésio-version des germes des deuxièmes prémolaires inférieures
Manifestations postérieures
Ces signes sont particulièrement importants et simples à observer sur les téléradiographies. Ils constituent les signes qualificatifs d’un encombrement postérieur :
- Espace réduit pour l’évolution des deuxièmes et troisièmes molaires (en tenant compte de l’âge osseux)
- Versions distales importantes des germes des deuxièmes et troisièmes molaires
- Germes des dents de sagesse plus ou moins parallèles au plan d’occlusion
- Superpositions des images des germes des molaires non évoluées et des premières molaires permanentes (entassement des germes)
- Hauteur maxillaire postérieure fortement diminuée (racines des molaires procidentes dans le sinus)
Anomalies associées
La DDM peut être associée à toutes les malocclusions de la classification d’Angle (Classe I, II ou III), qu’elle complique significativement. Cette association modifie le pronostic et complexifie le plan de traitement.
Analyse Quantitative de la DDM Actuelle
Définition de la DDM actuelle
La dysharmonie dento-maxillaire actuelle (ou “apparente”) correspond à l’encombrement antérieur et latéral visible et mesurable au moment de l’examen clinique. Cette mesure objective permet de quantifier précisément le déficit d’espace.
Documents et matériel nécessaires
- Examen clinique complet
- Radiographies long cône des prémolaires et canines inférieures ou téléradiographies à 45°
- Empreintes des dents maxillaires avec tubérosités et trigones
- Téléradiographie de profil
- Fil de laiton au 5/10ème
- Pied à coulisse orthodontique
- Papier millimétré
Méthodologie d’analyse
L’analyse d’une DDM comporte plusieurs étapes complémentaires :
1. Estimation qualitative
Grâce à l’étude des signes cliniques et radiographiques, recherche de l’étiologie (primaire, secondaire ou tertiaire). Cette étape permet de comprendre l’origine du problème et d’orienter la stratégie thérapeutique.
2. Estimation quantitative : Indice de Nance
Cette estimation s’effectue classiquement à la mandibule. Elle mesure le déficit d’espace ou indice de Nance, en ne prenant en compte que les secteurs antérieurs et latéraux.
Principe : Comparer la mesure du périmètre d’arcade actuel (Espace Disponible : ED) et la somme des diamètres mésio-distaux des dents permanentes correspondantes, évoluées et non évoluées (Espace Nécessaire : EN).
Mesure de l’Espace Disponible (ED) : Utiliser un fil de laiton disposé au niveau des points définissant le périmètre d’arcade, à partir des faces mésiales des premières molaires permanentes. Le fil est ensuite rendu rectiligne et mesuré au pied à coulisse.
Mesure de l’Espace Nécessaire (EN) :
a) En denture mixte à la mandibule :
- Mesurer les largeurs mésio-distales des germes des prémolaires et canines droites et gauches à l’aide de radiographies long cône ou d’une radiographie occlusale à 90° par rapport au plan d’occlusion (en cas de rotation)
- Mesurer les largeurs mésio-distales des incisives et des premières molaires
b) En denture adulte : Somme des diamètres mésio-distaux des 10 dents antérieures aux premières molaires (de canine à canine plus les quatre prémolaires).
Calcul de la DDM actuelle :
DDM actuelle = EN – ED
Si la différence est positive, il existe un déficit d’espace (DDM par excès). Si elle est négative, il existe un excès d’espace (DDM par défaut, rare).
Cette mesure doit être répétée au maxillaire pour une évaluation complète.
Méthode prédictive d’Ingervall
Pour prédire l’espace nécessaire pour les dents 3, 4, 5 (canine, prémolaires) lorsqu’elles ne sont pas encore évoluées :
- Mesurer la largeur de la première prémolaire inférieure sur radiographie long cône ou sur moulage
- Déduire la largeur totale des prémolaires et canines grâce à la table de corrélation d’Ingervall
- Comparer avec la distance 6M → 2D (courbe d’arcade)
- Déduire l’espace de dérive mésiale
Table de prédiction d’Ingervall (simplifiée) :
| Largeur MD 4 | 3+4+5 | Largeur MD 4 | 3+4+5 | Largeur MD 4 | 3+4+5 |
|---|---|---|---|---|---|
| 6,0 mm | >19,1 | 7,0 mm | >21,1 | 8,0 mm | >23,1 |
| 6,5 mm | 20,1 | 7,5 mm | 22,1 | 8,5 mm | 24,1 |
Cette méthode permet d’anticiper les besoins en espace avant l’évolution complète de toutes les dents permanentes.
Important : Si aucune précaution thérapeutique n’est prise (si l’on attend simplement l’évolution des dents permanentes sans traitement), l’espace nécessaire sera soustrait de l’espace disponible, aggravant l’encombrement.

Dysharmonie Dento-Dentaire (DDD) : Analyse de Bolton
Principe de l’analyse
La mesure du rapport entre les dimensions mésio-distales des dents supérieures et inférieures permet d’évaluer l’harmonie ou dysharmonie dimensionnelle entre les deux arcades dentaires.
Cette analyse se réalise à deux niveaux :
- Ensemble des arcades (12 dents)
- Secteurs antérieurs incisivo-canins (6 dents) – estimation la plus utilisée
Rapport des dents antérieures (6 dents)
Formule :
(Diamètre MD des 6 dents mandibulaires en mm × 100) / (Diamètre MD des 6 dents maxillaires en mm)
Valeur moyenne normale : 77,2% ± 1,65% (écart-type)
Interprétation :
Si le rapport est > 77,2% : DDD correspondant à un excès relatif de largeur du périmètre antérieur mandibulaire. Cette anomalie se manifeste par :
- Soit des diastèmes inter-incisifs supérieurs
- Soit un encombrement incisif inférieur
Calcul de l’excès : Mesure réelle 6 dents mandibulaires – Mesure “idéale” 6 dents mandibulaires = Excès de longueur de l’arcade mandibulaire
Si le rapport est < 77,2% : DDD correspondant à un excès relatif de largeur du périmètre antérieur maxillaire (situation inverse, plus rare).
Rapport des dents postérieures (12 dents)
Valeur moyenne normale : 91,3% ± 0,26%
Cette analyse globale permet d’affiner le diagnostic lorsque les secteurs postérieurs présentent également des discordances dimensionnelles.
Conséquences à Long Terme d’une DDM Non Traitée
Complications dentaires
- Inclusion dentaire : Particulièrement fréquente pour les canines et dents de sagesse
- Caries localisées : Dents enclavées difficiles à nettoyer, favorisant l’accumulation de plaque
- Premières prémolaires en linguo-occlusion totale : Impact fonctionnel majeur
- Abrasions dentaires prématurées : Usure anormale due aux contacts occlusaux pathologiques
Complications parodontales
Les conséquences parodontales constituent souvent les complications les plus graves :
- Difficulté d’élimination de la plaque dentaire : Les zones de chevauchement sont inaccessibles au brossage conventionnel
- Dénudations et déhiscences : Toute dent trop vestibulée par rapport à la ligne d’arcade risque de présenter une récession gingivale progressive
- Absence de gencive attachée : Dent ectopique vestibulaire sans protection parodontale adéquate
- Proximités radiculaires : Particulièrement au niveau des incisives inférieures, augmentant le risque de perte osseuse
Complications occlusales
Syndrome Algo-Dysfonctionnel de l’Appareil Manducateur (SADAM) : Dû à des prématurités occlusales chez les sujets prédisposés. Les contacts dentaires anormaux peuvent générer des tensions musculaires et articulaires.
Impact psychologique
Un encombrement antérieur et supérieur important peut inciter le sujet à ne pas découvrir sa denture au cours du sourire, avec retentissement sur la confiance en soi et les interactions sociales.
Nuance importante
Toutefois, une faible DDM n’a guère de conséquences sur la pérennité à long terme de la denture, des facettes d’abrasion physiologiques se produisant sur les dents en malposition.
Il convient de réévaluer le traitement systématique de toutes les DDM sans discrimination, particulièrement si le parodonte est sain. Une approche individualisée tenant compte du rapport bénéfice/risque est préférable à un interventionnisme systématique.
Points Clés à Retenir pour l’Étudiant
Principes fondamentaux
✓ Hygiène bucco-dentaire rigoureuse : Une bonne hygiène repose sur un brossage efficace et l’usage régulier du fil dentaire, particulièrement crucial en cas de DDM
✓ Diagnostic précoce : Le diagnostic précoce des anomalies permet des interventions moins invasives et une meilleure conservation dentaire
✓ Techniques d’anesthésie : Maîtriser les techniques d’anesthésie locale améliore le confort du patient pendant les soins orthodontiques
✓ Approche pluridisciplinaire : Les maladies parodontales, fréquemment associées aux DDM, demandent une approche pluridisciplinaire pour prévenir la perte dentaire
✓ Importance de l’occlusion : L’occlusion influence la mastication et l’équilibre de l’articulation temporo-mandibulaire
✓ Solutions implantaires : Les progrès en implantologie offrent des solutions durables et esthétiques en cas de perte dentaire consécutive à une DDM sévère
✓ Communication patient : Bien communiquer avec le patient favorise sa compréhension et son adhésion au traitement orthodontique proposé
Pour approfondir vos connaissances, le Guide clinique d’odontologie constitue une référence incontournable couvrant l’ensemble des aspects diagnostiques et thérapeutiques.
Conclusion
La dysharmonie dento-maxillaire représente une pathologie complexe nécessitant une approche diagnostique rigoureuse et méthodique. La compréhension de ses mécanismes étio-pathogéniques, la maîtrise des outils d’analyse quantitative et qualitative, ainsi que l’anticipation des complications à long terme constituent les piliers d’une prise en charge optimale.
L’étudiant en odontologie doit développer un œil clinique aiguisé pour détecter précocement les signes prédictifs d’une DDM, dès la denture temporaire. L’analyse systématique selon la méthode de Nance et l’analyse de Bolton permettent de quantifier précisément l’anomalie et d’orienter la stratégie thérapeutique.
Enfin, il convient d’adopter une approche individualisée, en évaluant le rapport bénéfice/risque de chaque intervention, particulièrement pour les DDM légères chez les patients présentant un parodonte sain.
Ressources recommandées pour aller plus loin :
Pour les étudiants souhaitant approfondir leurs connaissances en orthodontie, les Annales corrigées de l’internat en odontologie 2022-2024 proposent des cas cliniques détaillés et des exercices pratiques d’analyse de DDM.
🌐 Plateforme complémentaire : ResiDentaire™ – Plateforme QCM Médecine Dentaire → https://residentaire.com/
Cette page contient des liens d’affiliation. En cliquant dessus, vous n’êtes pas tenu de vous procurer les produits suggérés, mais si vous le faites, cela ne vous coûte rien de plus, et cela m’aide à financer ce site.
Leave a Reply