Coiffes Pédodontiques Préformées
Coiffes Pédodontiques Préformées : Le Guide Complet pour Restaurer les Dents des Enfants
Les coiffes pédodontiques préformées représentent une solution efficace et éprouvée pour restaurer les dents temporaires et permanentes jeunes sévèrement endommagées. Utilisées depuis plus de 70 ans en odontologie pédiatrique, ces dispositifs médicaux permettent de préserver la santé bucco-dentaire des enfants tout en maintenant leurs fonctions essentielles.
Qu’est-ce qu’une Coiffe Pédodontique Préformée ?
Une coiffe pédodontique préformée (CPP) est un artifice prothétique unitaire fixé qui reconstitue la forme anatomique et les fonctions d’une dent temporaire ou d’une dent permanente jeune. Introduites en odontologie pédiatrique en 1950 par Humphrey, ces couronnes préfabriquées ont révolutionné la prise en charge des délabrements dentaires importants chez l’enfant.
Ces restaurations jouent un rôle crucial : elles permettent à la molaire temporaire d’assurer ses différentes fonctions jusqu’à son exfoliation physiologique, notamment le maintien de la longueur d’arcade, la dimension verticale d’occlusion et le guidage de l’éruption des dents permanentes.
Les Différents Types de Coiffes Pédodontiques
1. Coiffes en Acier Inoxydable : La Solution de Référence
Caractéristiques principales
Les coiffes en acier inoxydable sont des couronnes anatomiques en alliage nickel-chrome, préfabriquées dans de nombreuses dimensions (généralement 6 tailles par type de dent). Elles correspondent aux différents diamètres mésio-distaux de chaque dent.
Ces coiffes métalliques restent aujourd’hui le gold standard pour leur facilité de réalisation et leur bonne pérennité. Elles ont fait leurs preuves pendant plus de 40 ans d’utilisation clinique.
Avantages reconnus
- Longévité exceptionnelle : Les CPP ont une longévité supérieure aux restaurations foulées et coulées
- Simplicité de mise en œuvre : Une seule séance suffit pour la réalisation
- Coût modéré : Solution économique pour les familles
- Résistance optimale : Protection efficace contre les forces masticatoires
- Prévention des caries secondaires : Recouvrement total de la structure dentaire
Inconvénient majeur
L’aspect inesthétique demeure le principal frein à leur utilisation, particulièrement pour les dents visibles.
2. Coiffes en Zircone : L’Innovation Esthétique
Une révolution récente
Depuis 2008, les coiffes pédiatriques préformées en zircone représentent l’option thérapeutique la plus récente. Plusieurs fabricants proposent désormais ces couronnes (EZ-Pedo/Sprig, NuSmile, Kinder Crown), offrant une alternative esthétique aux coiffes métalliques.
Propriétés exceptionnelles du matériau
La zircone (dioxyde de zirconium) présente des avantages significatifs :
- Biocompatibilité élevée : Excellente réponse parodontale et risque allergique quasi nul
- Résistance supérieure : Protection accrue contre les forces masticatoires
- Esthétique naturelle : Couleur proche de l’émail dentaire naturel
- Durabilité : Résistance à la fracture et conservation du poli de surface
Spécificités techniques
Les coiffes en zircone nécessitent :
- Une préparation dentaire plus importante (1,5 à 2 mm de réduction occlusale)
- Une mise de dépouille précise des faces axiales
- Un essayage passif (pas de déformation possible)
- Un ajustement minutieux avec des fraises diamantées
Limites à considérer
- Coût élevé : Prix d’achat supérieur et acte hors nomenclature
- Rigidité du matériau : Pas de flexibilité, nécessite une adaptation parfaite
- Rétention : La perte de rétention constitue la principale cause d’échec
- Études limitées : L’American Association of Pediatric Dentistry pointe le peu d’études disponibles
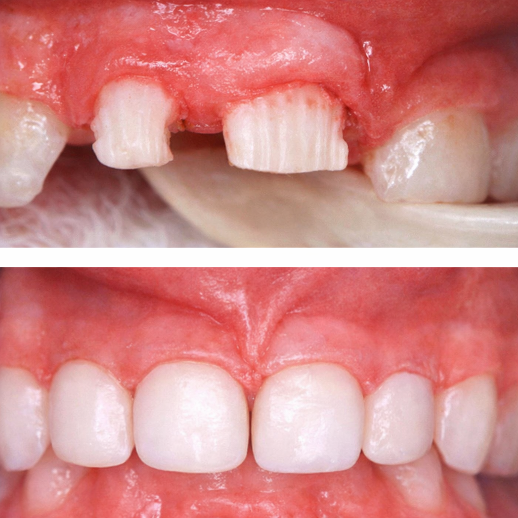
3. Coiffes Périphériques en Composite (Strip Crowns)
Ces couronnes à parois transparentes servent de moule pour une restauration en composite microhybride. Elles sont particulièrement indiquées pour :
- Les dents antérieures
- Le syndrome du biberon
- Les anomalies de structure
- Les situations nécessitant une esthétique optimale
Avantage principal : Excellent résultat esthétique pour les dents visibles
Inconvénient : Résistance moindre comparée aux solutions métalliques ou en zircone

4. Coiffes en Acier avec Facette Vestibulaire
Solution intermédiaire combinant la résistance de l’acier avec l’esthétique d’une facette (porcelaine ou composite) attachée chimiquement ou mécaniquement sur la face visible. Principalement utilisées pour les dents temporaires antérieures.

Quand Utiliser une Coiffe Pédodontique ?
Indications principales
1. Lésions carieuses étendues
Lorsque le délabrement coronaire est trop important pour permettre une restauration par matériau foulé ou coulé classique.
2. Polycaries et risque carieux élevé
Chez les enfants atteints de polycaries, des récidives de caries importantes sont notées lors des reconstitutions à l’amalgame ou au composite. Les coiffes évitent ces caries secondaires en protégeant totalement la dent.
3. Anomalies de structure coronaire
- Amélogénèse imparfaite
- Dentinogénèse imparfaite
- Hypominéralisation des molaires et incisives (MIH)
- Hypoplasie de l’émail
4. Fractures coronaires
Perte d’une cuspide ou d’un pan complet de la dent nécessitant une protection structurelle.
5. Après traitement pulpaire
Pour Croll et Killian, ces coiffes représentent la restauration de choix pour une dent ayant subi une pulpotomie. Elles doivent être placées immédiatement après pour éviter toute infiltration salivaire.
6. Bruxisme
Protection des molaires contre la destruction tissulaire due au grincement des dents.
7. Support de mainteneur d’espace
Maintien de la longueur d’arcade en attendant l’éruption des dents permanentes.
Contre-indications à respecter
❌ Dent proche de sa date de chute naturelle
❌ Présence gênant l’évolution du germe sous-jacent
❌ Dent douloureuse impossible à soigner
❌ Modifications péri-apicales existantes
❌ Lésion carieuse détruisant l’espace inter-radiculaire
Le Protocole de Pose : Étape par Étape
Principes fondamentaux
Une seule séance suffit généralement pour réaliser et sceller une coiffe pédodontique. Le temps moyen de pose : environ 30 minutes par coiffe.
Étape 1 : Préparation initiale
- Radiographie préopératoire : Évaluation de l’état dentaire
- Vérification de l’occlusion : Prise de repères précis
- Anesthésie : De la dent et/ou des muqueuses (si nécessaire)
- Mesure du diamètre mésio-distal : Utilisation d’un pied à coulisse
- Traitement préalable :
- Soin de la carie
- Traitement pulpaire ou endodontique si nécessaire
- Reconstitution avec amalgame ou verre-ionomère
Étape 2 : Préparation de la dent (à minima)
Faces proximales
- Taille en “slice” avec mise de dépouille
- Pas d’épaulement cervical
- Préparation juxta-gingivale
Face occlusale
- Réduction de 1 à 1,5 mm (acier) ou 1,5 à 2 mm (zircone)
- Les bombés vestibulaires et linguaux des molaires temporaires sont conservés
Finitions
- Biseautage léger des angles périphériques
- Arrondissement des angles de préparation
Étape 3 : Choix et ajustage de la coiffe
Sélection de la taille
Mesure de l’espace mésio-distal à reconstituer entre la face distale de la dent antérieure et la face mésiale de la dent postérieure. Choisir la plus petite coiffe pouvant s’adapter.
Ajustage précis
- Adaptation juxta-gingivale sur tout le pourtour
- Arrondissement soigné des bords avec une meulette caoutchoutée
- Bouterrolage des parois cervicales pour améliorer la rétention (acier)
- Pour la zircone : essayage passif sans forcer
Étape 4 : Vérification de l’occlusion
L’occlusion est déterminée en fonction de la dent antagoniste. La coiffe ne doit pas créer d’interférence lors de la fermeture des mâchoires.
Étape 5 : Mise en place et scellement
Technique de mise en place
Mouvement de bascule de dedans en dehors. La coiffe doit agir comme un bouton pression – résistance au retrait mais mise en place aisée.
Scellement
- Ciment verre-ionomère (CVI) : Pour la plupart des cas
- Orthophosphate de zinc : Pour les dents traitées endodontiquement
- Fond protecteur : Obligatoire sur toute surface de dentine exposée pour les dents pulpées
Étape 6 : Contrôle final
Radiographie de contrôle pour vérifier le positionnement et l’adaptation de la coiffe.
Conseils Post-Opératoires pour les Parents
Alimentation à éviter
🚫 Bonbons très collants : Nougat, caramels, Carambars 🚫 Aliments très durs : Risque de décollement prématuré 🚫 Glaces à mordre : Préférer laisser fondre en bouche
Hygiène bucco-dentaire
✅ Brossage régulier 2 fois par jour ✅ Passage du fil dentaire avec précaution ✅ Bains de bouche adaptés si recommandés
Surveillance
- Vérifier l’absence de douleur ou d’inflammation
- Consulter rapidement si la coiffe se descelle
- Visites de contrôle régulières chez le dentiste
Durée de Vie et Remplacement
Les coiffes pédodontiques sont des restaurations temporaires mais de longue durée. Elles restent en place jusqu’à :
- Dents temporaires : Exfoliation naturelle (la coiffe tombe avec la dent de lait)
- Dents permanentes jeunes : Fin de la croissance (18 ans pour les femmes, 25 ans pour les hommes), puis remplacement par une couronne définitive en céramique
Il s’agit des restaurations offrant statistiquement la meilleure longévité, comparativement aux autres solutions en cas de délabrement important.
Coût et Prise en Charge
Tarification variable
- Coiffes en acier inoxydable : Solution la plus économique
- Coiffes en zircone : Plus onéreuses (matériau et technique)
- Coiffes avec facette : Prix intermédiaire
Important : Les coiffes pédodontiques ne sont généralement pas prises en charge par la Sécurité sociale. Demandez systématiquement un devis détaillé à votre dentiste.
Certaines mutuelles proposent des remboursements partiels. Renseignez-vous auprès de votre complémentaire santé.
Avantages et Bénéfices pour l’Enfant
Bénéfices fonctionnels
✓ Mastication confortable et efficace ✓ Maintien de l’espace pour les dents permanentes ✓ Préservation de la dimension verticale d’occlusion ✓ Guidage de l’éruption des dents permanentes
Bénéfices pour le développement
✓ Évite le rapprochement des dents voisines ✓ Préserve la croissance maxillo-faciale ✓ Maintient les fonctions orofaciales
Bénéfices psychologiques
✓ Restauration du sourire (avec options esthétiques) ✓ Confiance en soi préservée ✓ Alimentation normale sans gêne
Évolution des Techniques et Perspectives
Les innovations récentes
L’odontologie pédiatrique évolue constamment vers des solutions plus conservatrices et esthétiques :
- Coiffes en zircone de nouvelle génération avec géométrie optimisée pour la rétention
- Systèmes de rétention interne améliorés
- Techniques de préparation minimalement invasives
- Teintes multiples pour un meilleur rendu esthétique
Vers la dentisterie conservatrice
Grâce à l’avancée des techniques et des matériaux, il est intéressant de se pencher sur les traitements restaurateurs non invasifs quand leur réalisation est possible, dans le but d’une préservation tissulaire et de l’intégrité pulpaire.
L’objectif actuel : combiner efficacité clinique, esthétique et préservation maximale des tissus dentaires.
Questions Fréquemment Posées
La pose d’une coiffe est-elle douloureuse ?
Non, la pose ne nécessite généralement pas d’anesthésie. Cependant, si l’enfant présente des dents très sensibles ou si un traitement pulpaire est nécessaire, le dentiste anesthésiera la zone pour éviter toute douleur.
Combien de temps dure l’intervention ?
Environ 30 minutes par coiffe, en une seule séance.
Mon enfant pourra-t-il manger normalement après ?
Oui, après une période d’adaptation très courte, l’enfant retrouve une mastication normale et confortable.
Que se passe-t-il quand la dent de lait tombe ?
La coiffe tombe naturellement avec la dent de lait lors de son exfoliation physiologique.
Les coiffes métalliques sont-elles sans danger ?
Oui, elles sont utilisées depuis plus de 70 ans avec un excellent profil de sécurité. Les allergies au nickel-chrome restent exceptionnelles.
Conclusion : Une Solution Éprouvée pour la Santé Dentaire des Enfants
Les coiffes pédodontiques préformées constituent une solution thérapeutique de référence pour restaurer les dents temporaires et permanentes jeunes gravement endommagées. Avec plus de 70 ans d’utilisation clinique, elles ont démontré leur efficacité, leur fiabilité et leur longévité.
L’évolution des matériaux, notamment avec l’arrivée des coiffes en zircone, offre désormais des options esthétiques intéressantes tout en conservant les bénéfices fonctionnels des solutions traditionnelles.
Points clés à retenir :
- Solution efficace et durable pour les délabrements importants
- Plusieurs options disponibles selon les besoins esthétiques et fonctionnels
- Protocole simple réalisable en une seule séance
- Bénéfices majeurs pour le développement bucco-dentaire de l’enfant
- Rapport bénéfice/risque très favorable
Si votre dentiste recommande une coiffe pédodontique pour votre enfant, n’hésitez pas à discuter avec lui des différentes options disponibles (acier, zircone, composite) en fonction de la localisation de la dent, de vos attentes esthétiques et de votre budget.
Ressources Complémentaires
Lectures recommandées
- Odontologie conservatrice et endodontie – Kazutoyo Yasukawa (2014)
- Guide clinique d’odontologie
- Guide d’odontologie pédiatrique, 3e édition : La clinique par la preuve
- Concepts cliniques en odontologie conservatrice
- L’endodontie de A à Z : Traitement et retraitement
Article mis à jour en janvier 2026 – Les informations contenues dans cet article sont fournies à titre informatif et ne remplacent pas une consultation médicale professionnelle.
Leave a Reply