Classe III selon Black : Guide Complet
Mots-clés SEO : classe III Black, préparation cavité proximale, odontologie conservatrice, taille cavité incisive, cavité classe 3 composite

Introduction : Pourquoi Maîtriser la Classe III ?
La cavité de classe III selon la classification de Black est l’une des plus fréquemment rencontrées en odontologie conservatrice. Elle touche les faces proximales des dents antérieures — incisives et canines — sans atteindre l’angle incisif, ce qui la distingue de la classe IV.
Sa localisation en zone esthétique et son accès souvent limité en font un défi technique réel pour l’étudiant comme pour le clinicien. Comprendre ses principes de préparation est fondamental avant même de passer à l’acte opératoire.
Ce guide complet vous accompagne pas à pas : définition, anatomie, protocoles de préparation, erreurs à éviter, cas cliniques et ressources pour aller plus loin.

Définition et Caractéristiques de la Cavité de Classe III
Localisation précise
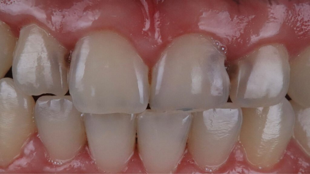
Une cavité de classe III siège au niveau des faces proximales des incisives et des canines, sans destruction de l’angle incisif. C’est ce critère d’intégrité angulaire qui la distingue fondamentalement de la classe IV.
Les dents antérieures présentent une anatomie proximale de forme triangulaire, relativement plane, avec un sommet orienté vers l’incisif et une base vers le cervical. Cette géométrie conditionne directement la forme de la future cavité d’obturation.
Étiologie : pourquoi ces caries apparaissent-elles ?

Les caries interproximales antérieures sont favorisées par plusieurs facteurs :
- Le bourrage alimentaire : résidus coincés entre les dents après chaque repas
- L’encombrement incisif (chevauchement) : rend le nettoyage interdentaire impossible ou insuffisant
- La stagnation alimentaire liée à une mauvaise hygiène buccale quotidienne
- L’érosion de la couche d’émail : amincissement progressif de la barrière protectrice naturelle
💡 Conseil préventif : Un nettoyage interdentaire quotidien réduit considérablement le risque de caries proximales. Le GUM Expanding Floss (4x30m) est particulièrement adapté aux espaces interdentaires serrés des dents antérieures.
Facteurs déterminant la stratégie d’obturation
La transformation d’une lésion carieuse en cavité d’obturation dépend de :
- L’esthétique : zone très visible, les choix sont guidés par le résultat visuel attendu
- La dent elle-même : vitalité, position, forme des arcades
- Le degré de destruction : lésion initiale vs lésion étendue
- Le matériau d’obturation : la résine composite impose des préparations moins invasives
Anatomie des Dents Antérieures : Ce Qu’il Faut Visualiser Avant d’Intervenir

Avant toute préparation, trois structures anatomiques sont critiques :
1. La chambre pulpaire : les incisives et canines possèdent des cornes pulpaires volumineuses, orientées vers l’incisif. La paroi axiale doit respecter cette proximité.
2. Le point de contact proximal : situé dans le tiers incisif à moyen de la face proximale. Son altération lors de la préparation crée un risque de récidive carieuse.
3. L’épaisseur d’émail vestibulaire : plus fine en cervical, elle doit être préservée au maximum pour l’esthétique et la résistance mécanique de la dent.

Types de Cavités de Classe III
Les cavités de classe III se divisent en deux grandes catégories selon le contexte clinique :
| Type | Contexte | Accès instrumental |
|---|---|---|
| Cavité simple | Dent isolée ou espace interproximal libre | Direct |
| Cavité complexe | Dent avec collatérale présente | Via versant vestibulaire ou palatin |
Cette distinction détermine entièrement la stratégie opératoire, le choix des instruments et la forme définitive de la cavité.
Préparation des Cavités de Classe III : Protocoles Détaillés
Cas 1 — Dent Isolée (Espace Interproximal Libre)

C’est le cas le plus favorable car il offre un accès direct à la face proximale.
Forme générale de la taille
La cavité respecte la forme triangulaire naturelle. Elle s’étend :
- En incisif : jusqu’à la limite de la carie, sans atteindre l’angle
- En cervical : jusqu’au niveau du collet, sans descendre sous le rebord gingival si possible
- En profondeur : jusqu’en dentine saine, avec une paroi axiale légèrement convexe
Principes fondamentaux à respecter
- Préservation de l’émail vestibulaire : l’accès se fait de préférence par la face linguale/palatine pour épargner le versant visible.
- Parois cervicale, vestibulaire et linguale : tracées parallèles aux parois de la dent, garantissant une épaisseur homogène de tissu résiduel.
- Paroi axiale : plane à légèrement convexe, à distance suffisante de la chambre pulpaire (minimum 0,5 à 1 mm en dentine).
- Biseautage des bords : indispensable avec les résines composites. Réalisé à 45°, il augmente la surface d’adhésion et améliore l’intégration esthétique.

La rétention : le défi spécifique de la classe III
La cavité est souvent plus large que profonde, ce qui compromet la rétention mécanique. Solution : créer trois pertuis (puits de Devin) :
- Positionnés aux trois sommets du triangle
- Réalisés avec une petite fraise boule de 0,5 à 1 mm de diamètre
- Profonds d’environ 0,5 à 0,8 mm en dentine saine
Ces pertuis augmentent significativement l’accroche mécanique, surtout avec l’amalgame ou les CVI.
Cas 2 — Dent avec Collatérale (Espace Interproximal Occupé)
Lorsque la dent adjacente est présente, l’accès direct est impossible sans lésion iatrogène. On utilise la brèche créée par la carie comme porte d’entrée, côté vestibulaire ou lingual.

Structure de la cavité composite
La cavité finale combine deux compartiments :
- Cavité de classe III simple proximale : lésion initiale mise en forme
- Queue d’aronde palatine (ou linguale) : créée pour assurer rétention et résistance
- Isthme : corridor reliant les deux compartiments
Règles dimensionnelles de l’isthme
- Suffisamment large pour résister aux contraintes occlusales sans se fracturer
- Plus étroit que la queue d’aronde pour garantir l’effet verrou anti-dévissage
- Largeur idéale : 1 à 1,5 mm
Orientation des fonds de cavité
- Fond de la cavité palatine : perpendiculaire à l’axe de la dent
- Fond de la cavité proximale : perpendiculaire à la face proximale
- Les deux fonds forment un angle droit entre eux, créant une résistance mécanique efficace
Quelle Approche de Préparation Choisir ? Tableau Comparatif
Le choix de la stratégie dépend de plusieurs paramètres cliniques. Ce tableau vous aide à décider en un coup d’œil.
| Critère | Dent isolée — simple | Avec collatérale — complexe | Lésion initiale (émail) | Lésion étendue (dentine) |
|---|---|---|---|---|
| Accès | Direct, proximal | Via versant palatin/vestibulaire | Limité (petite fraise) | Large, fraise cylindrique |
| Forme de cavité | Triangle proximal | Triangle + queue d’aronde | Minimaliste | Plus volumineuse |
| Rétention | Puits de Devin | Isthme + queue d’aronde | Adhésion composite | Mécanique + adhésion |
| Biseau | Oui (composite) | Oui (composite) | Oui | Selon matériau |
| Risque iatrogène | Faible | Modéré (dent collatérale) | Très faible | Modéré (pulpe) |
| Matériau conseillé | Composite | Composite ou CVI | Composite fluide | Composite packable |
| Difficulté technique | ⭐⭐ | ⭐⭐⭐⭐ | ⭐⭐ | ⭐⭐⭐ |
Erreurs Fréquentes à Éviter en Préparation de Classe III
Erreur 1 — Détruire l’émail vestibulaire sans nécessité
Pourquoi c’est problématique : L’émail vestibulaire est la première ligne de défense esthétique. Sa destruction fragilise la dent, crée une zone visible et complique l’intégration chromatique du composite.
La bonne pratique : Évaluer si l’accès palatin est suffisant avant tout autre abord. Préserver l’émail vestibulaire est un principe cardinal en zone antérieure.
Erreur 2 — Sous-estimer la profondeur pulpaire
Pourquoi c’est problématique : Une paroi axiale trop profonde peut provoquer une effraction pulpaire, notamment sur des dents jeunes avec une chambre volumineuse.
La bonne pratique : Consulter une radiographie rétro-alvéolaire récente avant chaque préparation. Travailler à vitesse réduite et à pression légère à l’approche pulpaire.
Erreur 3 — Omettre les puits de Devin sur une dent isolée
Pourquoi c’est problématique : Une cavité large sans rétention mécanique conduit à la chute précoce de l’obturation, surtout avec des matériaux à faible adhésion chimique.
La bonne pratique : Créer systématiquement les trois pertuis aux sommets du triangle, même si la cavité paraît peu profonde. L’adhésion du composite seul ne suffit pas toujours.

Erreur 4 — Négliger le biseau des bords amélaires
Pourquoi c’est problématique : Sans biseau, la jonction composite-émail est abrupte : elle crée une ligne de fracture, une infiltration marginale et une discontinuité optique visible à la lumière naturelle.
La bonne pratique : Réaliser un biseau à 45° sur toute la périphérie amélaire avec le composite. Il améliore à la fois le collage et le rendu esthétique final.
Erreur 5 — Mal calibrer l’isthme dans les cavités complexes
Pourquoi c’est problématique : Un isthme trop étroit fragilise la crête marginale (risque de fracture). Un isthme trop large supprime l’effet verrou et compromet la rétention.
La bonne pratique : L’isthme doit être plus étroit que la queue d’aronde et jamais inférieur à 1 mm. Le calibrer à la sonde avant d’obturer.
Erreur 6 — Ne pas vérifier l’occlusion après obturation
Pourquoi c’est problématique : Un composite en sur-occlusion sur une dent antérieure crée des interférences douloureuses et peut conduire à la fracture de la restauration.
La bonne pratique : Contrôler au papier articulé après photopolymérisation, en statique et en dynamique (guide canin, propulsion incisive).
Cas Cliniques Commentés
Cas Clinique 1 — Carie proximale sur incisive centrale isolée
Présentation : Yasmine, 22 ans, consulte pour une tache noirâtre sur la face mésiale de 11. Espace interproximal libre (absence de 12), bonne hygiène générale mais consommation excessive de boissons sucrées.
Problématique identifiée : Carie amélo-dentinaire de classe III sur la face mésiale de 11, accessible directement. La lésion n’atteint pas l’angle incisif.
Prise en charge :
- Radiographie rétro-alvéolaire confirmant une lésion limitée à la moitié externe de la dentine
- Préparation d’une cavité triangulaire simple par accès palatin
- Réalisation des trois puits de Devin aux sommets du triangle
- Biseautage complet des bords amélaires à 45°
- Obturation au composite A2, stratification par couches de 2 mm et photopolymérisation
Résultat attendu : Restauration invisible de face, longévité prévisible de 7 à 10 ans si l’hygiène interdentaire est maintenue. Yasmine a été sensibilisée au flossing quotidien.
Cas Clinique 2 — Carie proximale avec collatérale présente
Présentation : Karim, 35 ans, douleur légère à la mastication côté 23. L’examen révèle une lésion carieuse sur la face distale de 22, avec 23 présente et saine.
Problématique identifiée : Cavité de classe III complexe sur 22, accessible uniquement via le versant palatin. La lésion atteint la dentine, sans signe de pulpite irréversible.
Prise en charge :
- Bilan radiographique et test de vitalité confirmant la vitalité de 22
- Préparation d’une cavité complexe : compartiment proximal + queue d’aronde palatine reliée par un isthme de 1,2 mm
- Fond palatin perpendiculaire au grand axe, fond proximal perpendiculaire à la face proximale
- Matriçage de protection de 23 pendant la mise en place du composite
- Composite A3, modelage anatomique et contrôle occlusal rigoureux
Résultat attendu : Restauration fonctionnelle et esthétique. Karim a été conseillé pour l’entretien interdentaire avec un hydropulseur Waterpik Ultra pour maintenir l’hygiène de la zone traitée.
Cas Clinique 3 — Lésion débutante découverte fortuitement chez un adolescent
Présentation : Nassim, 16 ans, consultation de contrôle sans plainte. La radiographie révèle une opacité proximale sur la face distale de 12, limitée à l’émail.
Problématique identifiée : Carie initiale de classe III asymptomatique, sans cavitation macroscopique. La question se pose : traitement actif immédiat ou surveillance renforcée ?
Prise en charge :
- Lésion au stade “white spot” : traitement par reminéralisation en première intention (fluoration topique, hygiène renforcée, réduction des sucres)
- Contrôle à 6 mois : si cavitation confirmée, préparation ultra-conservatrice envisagée
- Utilisation d’un dentifrice Elmex Sensitive pour la reminéralisation quotidienne
Résultat attendu : Stabilisation ou régression de la lésion dans 40 à 60 % des cas si l’observance est bonne. Cette approche évite un geste invasif précoce sur un patient jeune.

Foire Aux Questions (FAQ)
Quelle est la différence entre une cavité de classe III et une cavité de classe IV selon Black ?
La classe III touche la face proximale d’une incisive ou canine sans détruire l’angle incisif, tandis que la classe IV implique une destruction de cet angle. Cette différence anatomique change radicalement la stratégie de préparation et la technique de restauration, notamment pour la reconstitution du bord libre.
Pourquoi réalise-t-on des puits de Devin dans une cavité de classe III simple ?
La cavité de classe III est souvent plus large que profonde, ce qui lui confère une rétention mécanique naturelle insuffisante. Les puits de Devin (trois pertuis aux sommets du triangle) augmentent l’accroche du matériau et préviennent sa désinsertion, surtout avec les matériaux à faible adhésion chimique.
Peut-on se reposer uniquement sur l’adhésion du composite sans rétention mécanique ?
Oui, si le protocole adhésif est optimal (mordançage total, adhésif de qualité). En formation initiale, les puits de Devin restent recommandés comme filet de sécurité, surtout en présence de parafonctions ou de contraintes occlusales importantes.
Comment choisir le matériau d’obturation pour une classe III ?
Le composite de teinte cervicale (A2, A3) est le matériau de référence en zone antérieure. Le CVI est une alternative chez l’enfant ou le patient à risque carieux élevé. L’amalgame est déconseillé en zone esthétique selon les recommandations européennes actuelles.
Comment éviter d’endommager la dent voisine lors d’une préparation de classe III avec collatérale ?
En interposant une matrice de protection (bande de Mylar, matrice fine) entre la fraise et la dent adjacente pendant toute la préparation. Le contrôle visuel et tactile permanent est indispensable, associé à des fraises de petit diamètre.
Quel est le rôle exact du biseau dans une préparation composite de classe III ?
Le biseau a un rôle mécanique (augmenter la surface de collage) et esthétique (créer un dégradé progressif entre composite et émail naturel, évitant toute ligne de jonction visible). Il est réalisé à 45° sur toute la périphérie amélaire, sauf en cervical si l’émail y est absent.
À quelle profondeur doit s’arrêter la paroi axiale d’une classe III ?
La paroi axiale doit s’arrêter en dentine saine, à une distance minimale de 0,5 à 1 mm de la chambre pulpaire. Elle doit être légèrement convexe pour respecter la morphologie pulpaire. Une radiographie préopératoire est indispensable, notamment chez les patients jeunes.
Quels ouvrages recommandez-vous pour approfondir ce sujet avant l’internat ?
Les Annales corrigées de l’internat 2022-2024 et le Guide clinique d’odontologie sont incontournables.
Pour une approche clinique intégrée, le manuel Endodontie, Prothèse et Parodontologie couvre l’odontologie conservatrice dans son ensemble.
Conclusion : Maîtriser la Classe III, C’est Maîtriser l’Esthétique Antérieure
La préparation d’une cavité de classe III selon Black est bien plus qu’un geste technique : c’est un exercice de précision, de connaissance anatomique et de jugement clinique.
Les points essentiels à retenir :
- La classe III touche les faces proximales des dents antérieures sans atteindre l’angle incisif
- La forme de la cavité est triangulaire, respectant l’anatomie de la face proximale
- La rétention est assurée par les puits de Devin (dent isolée) ou l’isthme + queue d’aronde (dent avec collatérale)
- La préservation de l’émail vestibulaire est une priorité esthétique absolue
- Le biseau des bords est indispensable avec les résines composites
- L’isthme dans les cavités complexes doit rester plus étroit que la queue d’aronde
Entraînez-vous sur ResiDentaire™, la plateforme de QCM dédiée aux étudiants en médecine dentaire.
Cette page contient des liens d’affiliation Amazon. En cliquant dessus, vous n’êtes pas tenu de vous procurer les produits suggérés, mais si vous le faites, cela ne vous coûte rien de plus et cela m’aide à financer ce site.
[…] Mugnier, une dyschromie est une couronne dentaire dont la teinte s’écarte de la blancheur habituelle, caractérisée par un contraste lumineux […]