Anatomie des Incisives : Guide Complet en Odontologie
Résumé : Les incisives sont les premières dents à apparaître dans le sourire et les premières étudiées en anatomie dentaire. Ce guide complet couvre la morphologie, les mensurations, la situation en bouche et les pièges courants — tout ce qu’il faut maîtriser avant l’examen ou le stage clinique.
Introduction : Rôle et Classification des Incisives
Les incisives sont au nombre de 8 dans la denture permanente : 4 à la mâchoire supérieure (maxillaire) et 4 à la mâchoire inférieure (mandibule). Elles se répartissent en incisives centrales et incisives latérales, symétriques de part et d’autre de la ligne médiane.
Leur nom vient du latin incidere (couper) : leur fonction principale est de sectionner les aliments lors de la mastication. Dans les ouvrages anciens, elles étaient appelées cunéiformes (du latin cuneus = coin), en référence à la forme de leur couronne vue par une face proximale.

Quelques caractéristiques communes à retenir dès le départ :
- Chaque incisive ne possède qu’une seule racine
- Les incisives supérieures s’inscrivent dans une série descendante, les inférieures dans une série ascendante
- Leur éruption débute vers 7 ans pour les centrales, et 8–8,5 ans pour les latérales
Pour approfondir vos connaissances générales en odontologie, le Guide clinique d’odontologie est une référence incontournable en faculté.
Incisive Centrale Supérieure (ICS) {#ics}

Généralités et mensurations
C’est la dent la plus visible du sourire et l’une des plus étudiées en anatomie. Voici ses mensurations moyennes de référence :
| Dimension | Valeur |
|---|---|
| Hauteur totale | 22,5 mm |
| Hauteur coronaire | 10 mm |
| Hauteur radiculaire | 12,5 mm |
| Diamètre mésio-distal | 9 mm |
| Diamètre vestibulo-palatin | 7 mm |
| Début de calcification | 1ère année |
| Éruption | 7 ans et demi |
| Calcification complète | ≈ 10 ans |
Astuce : Le diamètre mésio-distal (9 mm) est presque égal à la hauteur coronaire (10 mm). C’est un repère morphologique clé pour identifier la dent rapidement.
Morphologie coronaire
Face vestibulaire — C’est la plus grande des 4 faces. Elle présente :
- Un bord libre rectiligne, très légèrement oblique de bas en haut dans le sens mésio-distal
- Des bords proximaux à peine convergents : le mésial est plus long et moins convexe que le distal
- Un angle distal plus arrondi que le mésial
- Un bord cervical en forme de demi-cercle, moins large que le bord libre
- Une bosse placée au tiers cervical
- 3 lobes séparés par 2 sillons verticaux (mésial, central, distal), visibles surtout près du bord libre

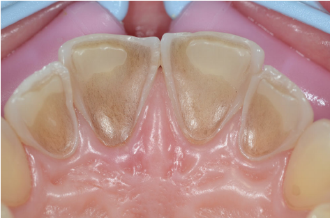
Face palatine — Plus complexe que la face vestibulaire. Elle comprend :
- 2 crêtes marginales (mésiale et distale) qui s’épaississent en approchant du cingulum
- Le cingulum (ou talon) : relief hémisphérique allongé au tiers cervical. Sa jonction avec la face buccale peut laisser une petite cavité appelée trou borgne (fossette palatine) — piège fréquent aux examens
- Une zone légèrement concave entre les crêtes marginales, avec une faible saillie verticale centrale
Face mésiale — Silhouette triangulaire à sommet occlusal. Contour vestibulaire convexe, contour palatin concave en partie occlusale et convexe au niveau du cingulum.
Face distale — Même silhouette que la face mésiale, mais légèrement moins haute et de modelé plus accentué.
Bord libre — Chez l’adulte, l’usure lui confère un aspect rectiligne. Il présente 2 petites dépressions correspondant aux sillons de la face vestibulaire. Le bord palatin est parallèle au vestibulaire.

Racine et chambre pulpaire
La racine est unique, légèrement inclinée du côté distal dans le sens mésio-distal, et fortement inclinée du côté palatin dans le sens sagittal.
La chambre pulpaire reproduit la forme de la couronne avant usure, avec 3 cornes pulpaires en forme de fleur de lys, correspondant aux 3 lobes. Elle est aplatie dans le sens vestibulo-palatin et se rétrécit au collet.
Le canal radiculaire est d’abord cylindrique puis s’effile progressivement jusqu’à l’apex.
Situation en bouche
- Face vestibulaire presque verticale, bord cervical à l’aplomb du bord libre
- Racine inclinée de ≈ 4° du côté distal dans le sens mésio-distal
- Racine inclinée de ≈ 20° du côté palatin dans le sens vestibulo-palatin
Incisive Latérale Supérieure (ILS) {#ils}

Mensurations moyennes
| Dimension | Valeur |
|---|---|
| Hauteur totale | 22 mm |
| Hauteur coronaire | 9 mm |
| Diamètre mésio-distal | 6,5 mm |
| Diamètre vestibulo-palatin | 6 mm |
| Éruption | 8 ans et demi |
| Édification radiculaire complète | 10 ans et demi |
Caractères morphologiques
L’incisive latérale supérieure reprend les caractères généraux de l’ICS, mais est plus grêle, avec des détails plus accentués.
Face vestibulaire — Silhouette plus élancée, diamètre horizontal réduit, bord libre plus oblique. Les mêmes sillons et lobes que sur l’ICS sont présents.
Face palatine — Tous les détails du modelé sont plus marqués. Le cingulum descend plus bas et le trou borgne est fréquent à ce niveau — à ne pas confondre avec une carie lors de l’examen clinique.
Face mésiale — Identique à l’ICS mais plus petite.
Face distale — Modelé plus convexe, nettement plus haut que la face mésiale.
Bord libre — Plus oblique dans le sens mésio-distal que sur l’ICS.
Racine — Nettement différente : plus mince, plus effilée, de section ovalaire (et non triangulaire comme l’ICS).
Chambre pulpaire — Aplatie dans le sens mésio-distal.
Situation en bouche
La face vestibulaire est plus oblique et moins verticale que celle de l’ICS. La racine conserve la même direction dans le sens mésio-distal (légèrement déportée du côté distal).
Variante anatomique à connaître : L’ILS est la dent qui présente le plus de variantes morphologiques de toutes les incisives, notamment la dent en cheville (peg lateral) ou les agénésies. Une prévalence d’agénésie d’environ 1,5 à 2 % est rapportée dans la littérature.
Incisive Centrale Inférieure (ICI) {#ici}
Mensurations moyennes

| Dimension | Valeur |
|---|---|
| Hauteur totale | 20,7 mm |
| Hauteur coronaire | 8,8 mm |
| Diamètre mésio-distal | 5,4 mm |
| Diamètre vestibulo-lingual | 6 mm |
| Éruption | 7 ans |
| Édification radiculaire complète | 9 à 10 ans |
Caractères morphologiques
L’ICI est la plus petite de toutes les dents permanentes, la plus étroite et la plus simple dans sa forme.
Face vestibulaire — S’inscrit dans un trapèze à grande base supérieure. Le bord cervical est en demi-cercle. Les bords mésial et distal sont presque rectilignes (très légèrement convergents en apical), rendant le bord libre quasi horizontal. Le modelé est plus simple que celui des incisives supérieures, avec un bombé au tiers cervical et des sillons très atténués.
Face linguale — Même silhouette que la face vestibulaire, mais plus étroite. Le modelé est très doux, presque effacé : cingulum et crêtes marginales se fondent sans démarcation nette.
Faces proximales — Toutes deux semblables, silhouette rappelant les incisives supérieures mais modelé simple, presque plat.
Bord libre — Plus symétrique (plus horizontal) que sur les incisives supérieures. L’usure lui confère une obliquité de bas en haut dans le sens vestibulaire.
Racine — Unique, effilée, mince et très aplatie dans le sens mésio-distal. La section est elliptique. Attention : elle peut présenter une bifurcation dans environ 20 % des cas, ce qui est cliniquement important en endodontie.
Chambre pulpaire — Très petite, avec 3 cornes correspondant aux 3 lobes.
Canal radiculaire — Aplati dans le sens mésio-distal (non cylindrique). Deux canaux peuvent coexister dans une même racine.
Situation en bouche
- Face vestibulaire inclinée du côté lingual
- Racine inclinée de ≈ 1° du côté distal dans le sens mésio-distal
- Quasi verticale dans le sens lingual
Incisive Latérale Inférieure (ILI) {#ili}
Mensurations moyennes
| Dimension | Valeur |
|---|---|
| Hauteur totale | 22,1 mm |
| Hauteur coronaire | 9,6 mm |
| Hauteur radiculaire | 13,5 mm |
| Diamètre mésio-distal | 5,9 mm |
| Diamètre vestibulo-lingual | 6,5 mm |
| Début de calcification | 1ère année |
| Éruption | 8 ans et demi environ |
| Calcification complète | 10 ans et demi environ |
Caractères morphologiques
Les caractères sont identiques à ceux de l’ICI, avec deux différences importantes :
- Le bord libre est généralement horizontal et présente un angle distal légèrement arrondi
- L’ILI est plus forte que l’ICI — c’est le contraire de ce qui se passe à la mâchoire supérieure (où c’est la centrale qui est la plus volumineuse)
Faces vestibulaire, proximales et linguale — Identiques à l’ICI.
Situation en bouche
- Face vestibulaire légèrement plus inclinée dans le sens lingual que l’ICI
- Racine verticale dans le sens vestibulo-lingual et légèrement inclinée dans le sens distal
Tableau Comparatif des Quatre Incisives {#tableau}
Voici un récapitulatif synthétique pour réviser rapidement et différencier les quatre incisives permanentes :
| Critère | ICS | ILS | ICI | ILI |
|---|---|---|---|---|
| Hauteur totale | 22,5 mm | 22 mm | 20,7 mm | 22,1 mm |
| Ø mésio-distal | 9 mm | 6,5 mm | 5,4 mm | 5,9 mm |
| Ø vestibulo-palatin/lingual | 7 mm | 6 mm | 6 mm | 6,5 mm |
| Section de racine | Triangulaire | Ovalaire | Elliptique (aplatie) | Elliptique (aplatie) |
| Cingulum | Présent, modéré | Marqué, trou borgne fréquent | Effacé | Effacé |
| Bord libre adulte | Légèrement oblique | Plus oblique | Quasi horizontal | Horizontal, angle distal arrondi |
| Taille relative | Centrale > Latérale ✅ | Plus petite | Centrale < Latérale ⚠️ | Plus grande |
| Éruption | 7,5 ans | 8,5 ans | 7 ans | 8,5 ans |
| Cornes pulpaires | 3 (fleur de lys) | 3 | 3 | 3 |
| Particularité clinique | Référence du sourire | Variantes fréquentes | Canal unique aplati / bifidité | Plus forte que centrale |

Point clé à retenir pour l’examen : contrairement à la mâchoire supérieure, à la mandibule, c’est l’incisive latérale qui est plus volumineuse que la centrale — c’est l’erreur la plus fréquente lors de l’identification des dents.
Erreurs Fréquentes à Éviter en Anatomie des Incisives {#erreurs}
1. Confondre la taille relative des incisives inférieures
L’erreur : Appliquer par analogie le même principe qu’au maxillaire (centrale > latérale) à la mandibule.
Conséquence : Identification erronée des dents lors des travaux pratiques d’anatomie, et erreur potentielle lors de la cotation ou du moulage.
La bonne pratique : À la mandibule, la latérale est systématiquement plus grande et plus forte que la centrale. Mémoriser ce cas d’inversion.
2. Négliger le trou borgne de l’incisive latérale supérieure
L’erreur : Ignorer ou mal identifier la fossette palatine (trou borgne) à la jonction entre cingulum et face vestibulaire.
Conséquence : En clinique, cette fossette est un site préférentiel de rétention de plaque et de début de carie. Sa non-détection retarde le diagnostic.
La bonne pratique : Systématiser l’exploration de la face palatine des ILS lors des bilans carieux. En cabinet, un sondage prudent et une radiographie rétro-alvéolaire permettent d’évaluer sa profondeur.
3. Méconnaître la bifurcation des canaux de l’incisive centrale inférieure
L’erreur : Considérer que l’ICI possède toujours un canal unique, rectiligne et cylindrique.
Conséquence : En endodontie, une bifurcation non dépistée peut conduire à un échec de traitement (canal non instrumenté, obturation incomplète).
La bonne pratique : Réaliser systématiquement une radiographie rétro-alvéolaire centrée avant tout traitement endodontique. La section aplatie de la racine dans le sens mésio-distal doit alerter sur l’éventualité de deux canaux.
4. Confondre l’obliquité du bord libre avec une usure pathologique
L’erreur : Interpréter le bord libre oblique des incisives supérieures (normal chez l’adulte) comme signe de parafonction ou d’usure anormale.
Conséquence : Fausse alarme et prise en charge inutile, ou à l’inverse, minimisation d’une vraie usure par bruxisme.
La bonne pratique : Distinguer l’obliquité physiologique (liée à la morphologie et à l’usure normale) d’une usure pathologique généralisée. En cas de doute, comparer l’ensemble des dents et évaluer la dimension verticale d’occlusion. Si le bruxisme est suspecté, une gouttière de protection nocturne peut être indiquée — comme la gouttière anti-bruxisme 4 pièces.

5. Ignorer l’inclinaison radiculaire dans le plan sagittal pour l’ICS
L’erreur : Ne retenir que l’inclinaison mésio-distale de la racine, en oubliant son importante inclinaison palatine (≈ 20°).
Conséquence : Mauvaise interprétation des radiographies rétro-alvéolaires, erreur de planification en implantologie ou en orthodontie.
La bonne pratique : Toujours analyser la racine dans les deux plans (frontal et sagittal). L’inclinaison palatine de 20° de l’ICS est l’une des plus marquées parmi les incisives.
6. Oublier que la chambre pulpaire reproduit la forme de la couronne avant usure
L’erreur : Dessiner une chambre pulpaire simplifiée sans cornes pulpaires, ou la représenter plate.
Conséquence : Ouverture de chambre insuffisante ou risque de perforation lors d’un accès endodontique.
La bonne pratique : Se rappeler que les 3 cornes pulpaires de l’ICS correspondent aux 3 lobes de la face vestibulaire. L’accès endodontique doit respecter cette forme “en fleur de lys” initiale.
Cas Cliniques Commentés {#cas}
Cas 1 — Diagnostic différentiel : ICS saine ou lésion du tiers moyen ?
Patient : Léa, 22 ans, étudiante. Consulte pour un bilan annuel. Pas de douleur.
Observation : À l’examen clinique, la face palatine de l’incisive latérale supérieure droite (12) présente une petite dépression sombre en regard du cingulum. La sonde accroche légèrement.
Problématique : S’agit-il d’un trou borgne (variante anatomique normale) ou d’une carie débutante en fossette palatine ?
Prise en charge : Une radiographie rétro-alvéolaire est réalisée. Elle ne montre aucune radiotransparence significative. La fossette est peu profonde (< 1 mm). Décision : surveillance renforcée, brossage adapté et fluoration topique. Revoir dans 6 mois.
Résultat attendu : Stabilisation de la lésion sans intervention invasive. Ce cas illustre l’importance de ne pas sur-traiter une variante anatomique fréquente, tout en restant vigilant.
Point clé : Le trou borgne de l’ILS est une structure normale mais susceptible de retenir la plaque. Son exploration clinique et radiologique est indispensable.
Cas 2 — Traitement endodontique de l’incisive centrale inférieure : surprenant !
Patient : Karim, 35 ans, artisan. Douleur spontanée en secteur incisif inférieur depuis 3 jours. Antécédent de traumatisme dentaire à 16 ans.
Observation : Test de vitalité négatif sur la 41 (ICI). Pas d’abcès visible. La radiographie montre une légère opacification canalaire évocatrice de calcification partielle. La section de la racine est aplatie, ce qui laisse suspecter la présence de deux canaux.
Problématique : Traitement endodontique sur une dent réputée “simple”, mais potentiellement bi-canalaire.
Prise en charge : L’accès endodontique est réalisé avec prudence. Deux canaux sont identifiés : un vestibulaire et un lingual. Les deux sont instrumentés et obturés à la gutta-percha. Radiographie de contrôle confirmant le bon remplissage.
Résultat attendu : Guérison de la lésion périapicale dans les 6 à 12 mois. Dent conservée.
Point clé : La prévalence de deux canaux dans l’ICI est d’environ 20 %. La méconnaître est la principale cause d’échec endodontique sur cette dent.

Cas 3 — Usure des incisives supérieures : bruxisme ou érosion acide ?
Patient : Nathalie, 48 ans, manager. Consulte car elle trouve ses dents “plus courtes”. Pas de douleur au froid. Habitudes : consommation quotidienne de sodas, reflux gastro-œsophagien connu.
Observation : Usure généralisée des bords libres des ICS et ILS des deux côtés. Le bord libre est plat, avec exposition dentinaire visible. Pas de facettes d’usure occlusale typiques du bruxisme (contact oclusal absent au bord libre).
Problématique : Différencier usure mécanique (bruxisme) et dissolution chimique (érosion acide).
Prise en charge : L’érosion acide est retenue (reflux + acides alimentaires). Conseils hygiéno-diététiques : réduire les acides, ne pas se brosser les dents immédiatement après une prise acide, traitement du RGO avec le médecin traitant. Application de vernis fluorés. Surveillance de la dimension verticale.
Résultat attendu : Ralentissement de l’érosion avec la prise en charge médicale et les mesures préventives. Restauration possible à distance si indication.
Point clé : L’érosion acide et le bruxisme produisent des usures d’aspect différent. Comprendre la morphologie normale des bords libres (oblicité physiologique vs. aplatissement pathologique) est essentiel pour le diagnostic.
Foire Aux Questions (FAQ) {#faq}

Pourquoi les incisives sont-elles appelées “cunéiformes” dans les anciens manuels ? Le terme vient du latin cuneus (coin). Vue par une face proximale, la couronne d’une incisive présente une forme cunéiforme, c’est-à-dire en coin ou en biseau, avec une pointe occlusale et une base cervicale plus large.
Quelle est la différence principale entre l’incisive centrale et l’incisive latérale supérieure ? L’incisive latérale supérieure est plus grêle (diamètre mésio-distal réduit à 6,5 mm contre 9 mm), avec un bord libre plus oblique, un cingulum plus descendu et des détails du modelé plus accentués. Elle présente aussi fréquemment un trou borgne en face palatine.
Pourquoi l’incisive centrale inférieure est-elle la plus petite dent permanente ? C’est lié à l’évolution de l’arcade dentaire et à la distribution de l’espace inter-incisif. L’ICI s’inscrit dans un trapèze très étroit (diamètre mésio-distal de 5,4 mm), ce qui lui confère son volume minimal. Fonctionnellement, c’est la dent qui supporte le moins de charges occlusales directes.
Comment reconnaître une incisive inférieure droite d’une incisive inférieure gauche ? La règle générale est de repérer l’angle distal, qui est toujours plus arrondi que l’angle mésial. De plus, à la mandibule, la face distale présente un modelé légèrement plus accentué. Le marquage mésio-distal de la racine (légère inclinaison distale) aide aussi à l’orientation.
Combien de canaux peut-on trouver dans une incisive centrale inférieure ? La majorité du temps, il n’y a qu’un seul canal. Cependant, dans environ 20 % des cas, deux canaux coexistent (un vestibulaire et un lingual) dans la même racine aplatie. Ce point est fondamental avant tout acte endodontique sur cette dent.
Quelle est la chronologie d’éruption des incisives permanentes à retenir pour l’examen ? Les incisives centrales inférieures sont les premières (vers 6–7 ans), suivies des centrales supérieures (vers 7–7,5 ans), puis des latérales inférieures et supérieures (vers 8–8,5 ans).
Qu’est-ce que le cingulum et quel est son intérêt clinique ? Le cingulum est une saillie hémisphérique allongée située sur la face palatine (ou linguale) des incisives, au tiers cervical. Son intérêt clinique est multiple : il sert de repère morphologique lors de l’identification des dents, constitue un site potentiel de rétention de plaque (surtout chez l’ILS), et peut laisser une fossette (trou borgne) susceptible de devenir un site carieux.
Pourquoi la chambre pulpaire a-t-elle 3 cornes pulpaires dans les incisives supérieures ? Parce qu’elle reproduit la forme de la couronne avant toute usure, laquelle est divisée en 3 lobes par les 2 sillons verticaux de la face vestibulaire. Ces 3 cornes correspondent aux 3 lobes mésiaux, central et distal, et forment ensemble le profil “en fleur de lys” caractéristique de l’ICS.
Conclusion
L’anatomie des incisives est un fondement essentiel de l’enseignement préclinique en odontologie. Maîtriser les mensurations, la morphologie coronaire et radiculaire, ainsi que la situation en bouche de chacune des quatre incisives permet de :
- Réussir les épreuves pratiques de wax-up et de sculpture dentaire
- Interpréter correctement les radiographies rétro-alvéolaires
- Anticiper les complications endodontiques (canaux accessoires, calcifications)
- Poser un diagnostic clinique rigoureux dès les premières consultations supervisées
Pour compléter vos révisions, les Annales corrigées de l’internat en odontologie 2022–2024 proposent de nombreuses questions portant sur l’anatomie dentaire dans un contexte clinique appliqué.
L’Anatomie dentaire illustrée reste également une référence idéale pour visualiser les reliefs décrits dans ce guide.
Pour vous entraîner sur QCM et cas cliniques en ligne, la plateforme ResiDentaire™ propose des modules dédiés à l’anatomie dentaire.
Cette page contient des liens d’affiliation Amazon. En cliquant dessus, vous n’êtes pas tenu de vous procurer les produits suggérés, mais si vous le faites, cela ne vous coûte rien de plus et cela m’aide à financer ce site.
[…] plus étroites et plus hautes, avec des modelés moins accentués que sur la canine supérieure. La différence de hauteur entre la face mésiale et la face distale est plus […]
[…] Même silhouette et modelé que la première prémolaire. […]