Anomalies Dentaires : Guide Complet des Pathologies Bucco-Dentaires, Causes et Prévention
Les anomalies dentaires sont plus répandues qu’on ne le pense. Selon le Centre de Référence des Maladies Rares Orales et Dentaires (O-Rares), ces anomalies peuvent être retrouvées dans plus de 950 maladies rares, la plupart d’origine génétique. Pourtant, beaucoup de gens ne savent pas qu’ils sont concernés jusqu’à ce qu’un chirurgien-dentiste pose le diagnostic.
Ce guide complet vous permet de comprendre les différentes anomalies dentaires — de leur classification à leur étiologie — et vous aide à adopter les bons gestes pour préserver votre santé bucco-dentaire.

Qu’est-ce qu’une anomalie dentaire ?
Une anomalie dentaire désigne toute altération de l’aspect externe, de la structure interne ou de la topographie d’une ou plusieurs dents, résultant d’un trouble survenu au cours du développement de la denture.
Le développement du système dentaire commence dès la sixième semaine de vie embryonnaire et s’étend jusqu’à environ 20 ans. Une perturbation à n’importe quelle étape de ce processus peut donc entraîner des anomalies très variées : en nombre, en forme, en taille, en structure, ou en position d’éruption.
À noter que ces pathologies ne sont pas exclusivement génétiques. Des facteurs environnementaux — comme la chimiothérapie, la radiothérapie pendant la petite enfance, ou certains traumatismes — peuvent également provoquer ces désordres.
Les anomalies chronologiques : quand l’éruption dentaire déraille
L’éruption dentaire n’est pas toujours corrélée au développement somatique. Elle peut être précoce ou retardée, avec des conséquences très différentes selon le contexte.
Éruptions précoces : dents natales et néonatales
Les dents natales sont présentes à la naissance ; les dents néonatales apparaissent dans le premier mois de vie. Ce phénomène reste rare mais cliniquement important.
Selon une meta-analyse publiée dans le Journal of the American Dental Association (2023), environ 1 nourrisson sur 289 naît avec une dent natale, tandis qu’environ 1 sur 2 212 présente une dent néonatale.
Les incisives mandibulaires sont concernées dans 96,3 % des cas. Cliniquement, ces dents présentent une coloration grisâtre ou brunâtre, sont souvent mobiles, et sont accompagnées d’une gencive inflammatoire. Moins de 10 % de ces dents sont surnuméraires : la plupart appartiennent à la dentition temporaire.

Risques associés : ulcération traumatique de la langue, difficultés d’allaitement, voire un risque d’aspiration si la dent est très mobile. La décision de maintien ou d’avulsion doit être prises par un chirurgien-dentiste après examen clinique et radiologique.
Éruptions précoces en dentition permanente
Elles sont généralement liées à la chute précoce d’une dent temporaire, par exemple à cause de caries ou d’infections. L’éruption précoce de toutes les dents permanentes reste exceptionnelle et s’observe généralement dans le contexte de syndromes génétiques.
Éruptions retardées

Un retard d’éruption est considéré lorsqu’il dépasse de 6 mois la chronologie normale. En dentition temporaire, les causes sont souvent locales : obstacles mécaniques (fibro-muqueuse, os), déficits nutritionnels, ou hypofonctions endocriniennes. En dentition permanente, les causes peuvent être locales ou systémiques, incluant parfois des syndromes génétiques.

Les anomalies de nombre : dents manquantes ou surnuméraires
Par défaut : hypodontie, oligodontie et anodontie
Les anomalies de nombre par défaut sont parmi les plus fréquentes des anomalies dentaires. La prévalence des agénésies dentaires — toutes formes confondues — varie entre 3 % et 11 % selon les populations européennes et asiatiques, d’après plusieurs études citées par la Haute Autorité de Santé (HAS).

Voici la classification selon le nombre de dents absentes :
- Hypodontie : absence de 1 à 5 dents (hors dents de sagesse). Elle concerne environ 5,45 % de la population en France. Les dents les plus souvent touchées sont les incisives latérales maxillaires et les deuxièmes prémolaires mandibulaires.
- Oligodontie : absence de plus de 6 dents. Sa prévalence est estimée à 0,09 à 0,14 % selon les études. Elle est le plus souvent associée à un syndrome génétique.
- Anodontie : absence totale de dents. Toujours associée à un syndrome.
Plus de 50 gènes sont identifiés à ce jour comme responsables de formes isolées ou syndromiques d’hypodontie, d’oligodontie ou d’anodontie. Les mutations des gènes PAX9 et WNT10A sont parmi les plus fréquemment impliquées.
Exemple clinique : un enfant atteint d’oligodontie associée à une dysplasie ectodermique peut présenter, en plus de l’absence de plusieurs dents, des anomalies des ongles, des cheveux et des glandes sudoripares. Une consultation génétique est alors indispensable.
Par excès : hyperodontie et mésiodens
L’hyperodontie se manifeste généralement par une seule dent surnuméraire, le plus souvent au maxillaire. Le mésiodens est une dent surnuméraire maxillaire située au niveau médian — elle peut gêner l’éruption des incisives centrales et nécessite une intervention chirurgicale.
Deux syndromes sont particulièrement associés à la présence de dents surnuméraires : la dysostose cleidocrânienne et le syndrome de Gardner.

Pour une surveillance préventive dès le plus jeune âge, un suivi régulier chez un chirurgien-dentiste reste essentiel. Un dentifrice fluoré de qualité utilisé quotidiennement contribue à préserver l’état de l’émail sain. On peut par exemple utiliser un dentifrice comme le Sensodyne Sensibilité & Gencives pour protéger les dents fragiles au quotidien.
Les anomalies de taille et de forme
Anomalies de taille
- Microdontie : une ou plusieurs dents plus petites que la normale. Elle est souvent associée à une agénésie. Elle peut être localisée (ex. : incisives latérales maxillaires) ou généralisée.
- Macrodontie : une dent plus large que la normale. À ne pas confondre avec la gémination ou la fusion. La macrodontie généralisée est rare et spécifique à certains syndromes, entraînant une dysharmonie dento-maxillaire.
- Gigantisme dentaire : anomalie affectant une dent isolée, avec un volume excessif.

Anomalies de forme
Dents doubles — L’anomalie se manifeste par l’aspect de deux dents jointes. On distingue deux mécanismes :
- Fusion : union de deux germes dentaires.
- Gémination : division incomplète d’un seul germe.
Cette anomalie est plus fréquente en denture temporaire, au niveau antérieur, et peut s’accompagner d’une agénésie de la dent permanente sous-jacente (par exemple, fusion des incisives temporaires inférieures 81 et 82).

Dens invaginatus (dens in dente) — Il s’agit d’une invagination amélo-dentinaire : l’organe de l’émail s’est développé vers l’intérieur de la dent pendant la formation, créant une structure “dent dans la dent”. Cette anomalie augmente considérablement le risque de caries précoces au niveau du foramen apical.

Dens evaginatus — Anomalie se présentant sous forme d’une excroissance sur la surface palatine (ex. : tubercule de Carabelli sur les molaires maxillaires) ou, plus rarement, en position mésiovestibulaire (tubercule paramolaire de Bolk).

Taurodontisme — Anomalie des dents pluriradiculées caractérisée par une chambre pulpaire allongée vers l’apex, des racines courtes, et un plancher de la chambre pulpaire situé en direction apicale. Elle est observée au niveau des prémolaires et dans des syndromes comme la trisomie 21.

Concrescence — Soudure de deux dents par le cément. Elle peut être vraie (pendant la formation des racines) ou acquise (après leur formation). L’étiologie est mécanique, liée à un manque d’espace entre deux ébauches dentaires.

Les anomalies de position et d’éruption
Ces anomalies concernent la localisation finale de la dent dans l’arcade dentaire.
- Inclusion dentaire : la dent reste en position intra-osseuse après sa date d’éruption physiologique, sans contact avec le milieu buccal. Elle touche le plus souvent les canines maxillaires.
- Dent enclavée : la dent communique avec le milieu buccal, au moins par une cuspide, mais ne peut pas émerger complètement.
- Dent retenue : dent ayant un potentiel éruptif mais bloquée par un obstacle (dentaire, kystique, osseux, muqueux ou tumoral).
- Ankylose dentaire : fusion de la dent avec l’os alvéolaire (disparition du desmodonte), empêchant l’éruption et tout déplacement orthodontique.
- Ectopie : éruption dans un site éloigné de la normale.
- Transposition : position d’une dent à la place d’une autre.

Ces anomalies nécessitent souvent une prise en charge orthodontique ou chirurgicale, parfois associée à une réhabilitation prothétique. Un suivi orthodontique précoce peut éviter de nombreuses complications à long terme.
Les anomalies de structure : quand l’émail ou le cément est défaillant
Ces défauts des tissus durs dentaires surviennent pendant l’odontogenèse. Ils peuvent être d’origine génétique (primaire) ou acquis (secondaire).

Anomalies de l’émail
Hypocalcification de l’émail — Se manifeste par des taches blanchâtres crayeuses sur la surface dentaire. Elle peut être d’origine locale ou systémique.
Hypoplasie due aux tétracyclines — Les antibiotiques de la famille des tétracyclines, pris pendant la grossesse ou chez l’enfant avant l’age de 8 ans, peuvent provoquer des taches jaunes, brunes ou grises affectant un groupe ou l’ensemble des dents.
Amélogenèse imparfaite héréditaire — Dysplasie ou hypocalcification héréditaire se caractérisant par des plaques opaques représentant un émail déminéralisé et cassant. La dent est brune au début, puis fonce après éruption. Cette pathologie nécessite souvent une réhabilitation complète.
Fluorose dentaire — Peut être discrète, modérée ou sévère selon le niveau d’exposition au fluor. Elle se distingue d’autres anomalies par des lésions symétriques sur les dents.
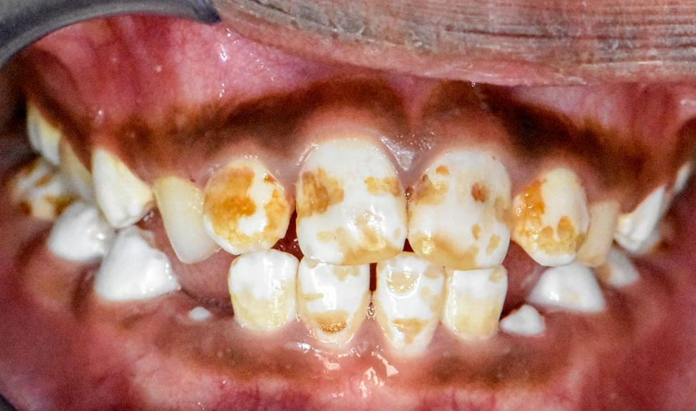
La MIH : une “épidémie silencieuse” chez les enfants
La hypominéralisation molaire-incisive (MIH) est devenue un sujet de préoccupation croissante en odontologie pédiatrique. Selon la Revue du Praticien, elle touche 1 enfant sur 7 au niveau mondial, avec une prévalence estimée entre 15 et 20 % des enfants selon certaines études.
La MIH se traduit par un défaut qualitatif de l’émail sur au moins une des quatre premières molaires permanentes, associé ou non à une atteinte des incisives. Les symptômes incluent des taches blanches, jaunes ou brunes, une hypersensibilité aux stimuli thermiques, et un risque accru de caries.
Facteurs suspectés : infections respiratoires ou oto-rhino-laryngologiques dans la petite enfance, complications périnatales, et possiblement l’utilisation d’antibiotiques (comme l’amoxicilline) entre 0 et 4 ans.
Le dépistage précoce est capital : les enfants atteints nécessitent en moyenne 10 fois plus de traitements dentaires que les autres. Une visite régulière chez le dentiste dès l’apparition des premières molaires permanentes (autour de 6 ans) est fortement recommandée.

Pour renforcer l’émail des dents sensibles à domicile, un dentifrice adapté comme le Biomed Calcimax — formulé à 97 % naturel pour la réparation de l’émail — peut compléter les traitements professionnels.

Anomalies du cément
Hypo- et aplasie du cément — Anomalie radiologique affectant surtout les dents temporaires antérieures, généralement avant l’âge de 3 ans.
Cémenticules — Petits noyaux calcifiés sphériques se développant dans le desmodonte, souvent au niveau des furcations molaires.

Hypercémentose — Atteint surtout les molaires mandibulaires, localisée au tiers apical, formant un bourrelet de cément acellulaire. Chez les dents jeunes, elle peut entraver l’éruption, provoquer des courbures radiculaires ou conduire à une ankylose. Les causes incluent des surcharges mécaniques, une inflammation périapicale ou des affections générales comme la maladie de Paget.
Prévention et hygiène bucco-dentaire face aux anomalies dentaires
Si les anomalies dentaires d’origine génétique ne peuvent pas être prévenues, un bon suivi bucco-dentaire permet de limiter leurs conséquences. Voici les bonnes pratiques à adopter :
- Consultation régulière : une visite chez le dentiste tous les 6 mois reste le meilleur moyen de dépister précocement les anomalies.
- Hygiène quotidienne rigoureuse : brossage deux fois par jour avec une brosse à dents adaptée (électrique conseillée pour un nettoyage plus efficace), complété par un fil dentaire.
- Alimentation équilibrée : limiter les sucres raffinés et les boissons acides, qui accélèrent la dégradation de l’émail.
- Surveillance orthodontique précoce : pour les enfants présentant des anomalies de nombre ou de position, un suivi orthodontique dès l’école primaire peut être préconisé.
Pour un nettoyage quotidien plus complet et plus efficace, une brosse à dents électrique comme la Oral-B iO Serie 6 — avec ses 5 modes de brossage et son capteur de pression — représente un bon investissement pour préserver la santé dentaire à long terme.

Ressources professionnelles et livres de référence
Pour les professionnels de santé dentaire ou les étudiants en odontologie souhaitant approfondir leur connaissance des anomalies dentaires et de la pathologie bucco-dentaire, voici quelques ouvrages de référence :
- Guide clinique d’odontologie — un outil de consultation indispensable pour la pratique quotidienne : Guide clinique d’odontologie
- Référentiel internat en parodontologie — pour maîtriser les fondamentaux de la parodontologie : Référentiel internat en parodontologie
- Orthodontie de l’enfant et du jeune adulte — un guide de référence pour la prise en charge orthodontique des jeunes patients : Orthodontie de l’enfant et du jeune adulte
Conclusion : les anomalies dentaires, un sujet qui concerne tous les âges
Les anomalies dentaires affectent aussi bien les dents lactéales que les dents définitives. Elles peuvent être le signe d’une maladie générale, d’un défaut de structure lié à un trouble congénital ou acquis, et nécessitent souvent une prise en charge pluridisciplinaire.
Les points clés à retenir sont :
- Les agénésies dentaires touchent entre 3 et 11 % de la population, selon leur forme.
- La MIH affecte environ 1 enfant sur 7 et nécessite un dépistage précoce.
- Plus de 50 gènes sont identifiés comme facteurs génétiques des anomalies de nombre.
- Une visite régulière chez le dentiste reste le meilleur moyen de prévenir les complications.
Ne négligez jamais un symptôme dentaire inhabituel : une dent mal formée, une absence de dent ou une tache inexpliquée sur l’émail peuvent être le signe d’une anomalie qui nécessite une attention médicale rapide.
Consultez un chirurgien-dentiste spécialisé pour un diagnostic précis et une prise en charge adaptée.
Bibliographie
- La bouche de l’enfant et de l’adolescent, 1re édition, Elsevier Masson, septembre 2019 (Beatrice Thivichon-Prince).
- La dent normale et pathologique, 1re édition, DeBoeck Université, 2001 (Etienne Piette).
- HAS – Synthèse pour le médecin généraliste : Agénésies dentaires multiples – Oligodontie et anodontie, novembre 2021.
- JADA – Worldwide prevalence of natal and neonatal teeth, 2023.
- La Revue du Praticien – Hypominéralisation molaires incisives, 2025.
- O-Rares – Centre de Référence des Maladies Rares Orales et Dentaires, Université de Strasbourg.
Cette page contient des liens d’affiliation. En cliquant dessus, vous n’êtes pas tenu de vous procurer les produits suggérés, mais si vous le faites, cela vous coûte rien de plus, et cela m’aide à financer ce site.
[…] symétriquement au niveau de la première prémolaire, ils peuvent être douloureux à la pression et nécessitent une […]