Le traitement des agénésies dentaires
Le traitement des agénésies dentaires
Le traitement des agénésies dentaires
Traitement des Agénésies Dentaires
Les agénésies dentaires, définies comme l’absence congénitale d’une ou plusieurs dents, posent des défis cliniques complexes nécessitant une approche multidisciplinaire. Ce document explore de manière détaillée les options thérapeutiques pour le traitement des agénésies, en mettant l’accent sur les incisives latérales supérieures et les deuxièmes prémolaires inférieures. Les choix thérapeutiques dépendent de nombreux facteurs, incluant la morphologie dentaire, les relations occlusales, les conditions parodontales, et les considérations socio-économiques. Les traitements orthodontiques et prothétiques sont souvent combinés pour obtenir des résultats fonctionnels et esthétiques optimaux.
Agénésies des Incisives Latérales Supérieures
Traitement des Agénésies Bilatérales
Alternatives Thérapeutiques
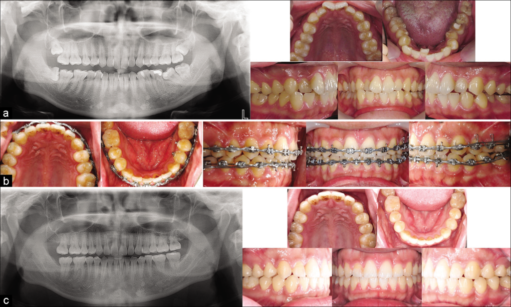
Le traitement des agénésies bilatérales des incisives latérales supérieures repose sur deux grandes options thérapeutiques, chacune présentant des variantes. Une concertation étroite entre l’orthodontiste et le dentiste prothésiste est essentielle pour déterminer la meilleure approche en fonction des caractéristiques cliniques du patient.
Option 1 : Conservation ou Augmentation des Diastèmes pour les Incisives Latérales
Cette option consiste à maintenir ou à augmenter l’espace laissé par les incisives latérales absentes. Les conséquences incluent :
- Relations occlusales : Maintien des relations de classe I pour les molaires et les canines, avec une protection canine en latéralité.
- Solutions prothétiques :
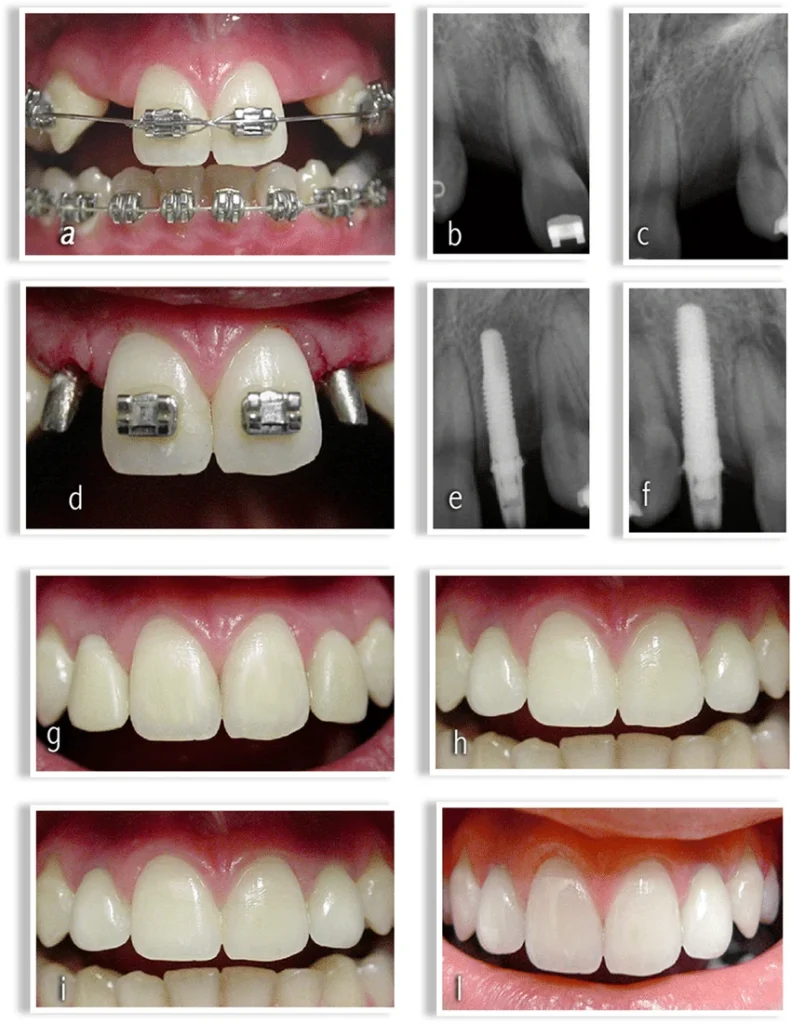
- Bridge fixé ou collé : Une prothèse fixe peut être utilisée pour remplacer les incisives absentes, offrant une solution esthétique et fonctionnelle.
- Prothèse adjointe squelettée : Une alternative pour les patients ne souhaitant pas de prothèse fixe.
- Implants dentaires : Une option à long terme, souvent envisagée en fin de croissance.
- Conservation des incisives temporaires : Une solution transitoire lorsque les incisives latérales temporaires sont encore présentes, bien que leur durabilité soit limitée.
Option 2 : Déplacement des Canines en Position d’Incisive Latérale avec Fermeture des Diastèmes Antérieurs
Cette option vise à fermer les espaces antérieurs en déplaçant les canines pour qu’elles occupent la position des incisives latérales absentes. Plusieurs sous-solutions sont envisageables en fonction des conditions initiales :
- Solution 2 : Relations de classe II pour les canines et les molaires, sans extractions dentaires. Cette approche est souvent choisie lorsque les relations initiales le permettent.
- Solution 3 : Relation de classe II pour les canines, mais classe I pour les molaires, nécessitant l’extraction des deux prémolaires inférieures (par exemple, 34 et 44).
- Solution 4 : Relations de classe I pour les canines et les molaires, avec extraction des incisives centrales inférieures (41 et 31) ou des incisives latérales inférieures (42 et 32). Cette solution évite l’utilisation de prothèses.
- Solution 5 : Relations de classe II pour les canines et classe I pour les molaires, avec report des espaces antérieurs vers la zone postérieure. Un bridge peut être réalisé entre les dents 3 et 4, 4 et 5, ou 5 et 6.
Pour les solutions 2 à 5, une protection de groupe en latéralité est généralement obtenue, assurant une fonction occlusale stable.
Éléments Guidant le Choix Thérapeutique
Le choix entre ces options dépend de plusieurs facteurs cliniques et esthétiques :
- Morphologie coronaire : La forme des canines (pointues ou arrondies) et des incisives supérieures (épaisses ou fines) influence l’esthétique finale. Des canines pointues peuvent rendre la solution 1 plus appropriée.
- Teinte des canines : Si les canines sont très jaunes, la conservation des espaces (solution 1) est souvent préférée pour éviter un contraste inesthétique.
- Position initiale des germes des canines : Une position mésiale ou standard des germes canins influence le choix de déplacer ou non les canines.
- Relations molaires initiales : Les relations de classe I ou II initiales guident la décision de les conserver ou de les modifier.
- Décalage des bases osseuses :
- Rétroalvéolie supérieure en classe I ou brachygnathie en classe III : privilégier la solution 1 ou 5.
- Classe II : solutions 2 ou 4 souvent plus adaptées.
- Convexité faciale :
- Profil concave : solutions 1 ou 5.
- Profil convexe : toutes les solutions (1 à 5) peuvent être envisagées.
- Décalage dento-dentaire (DDM) en classe I : solutions 3 ou 4.
- Typologie faciale :
- Face longue : éviter la distalisation des molaires.
- Face courte : éviter la mésialisation des molaires.
- Supraclusion incisive initiale : Complique la réalisation de prothèses, rendant les solutions 1 ou 5 parfois plus adaptées.
- Microdontie généralisée : Solutions 1 ou 5 souvent privilégiées pour des raisons esthétiques.
- Fonction occlusale : En cas de troubles de l’articulation temporo-mandibulaire (ATM), comme des craquements, douleurs, spasmes musculaires, ou prédisposition aux troubles rhumatoïdes, les canines doivent impérativement être placées en classe I.
- Conditions parodontales : Une hauteur insuffisante de gencive attachée ou une corticale externe fine favorise la solution 1.
- Considérations socio-économiques : Les bridges antérieurs sont coûteux et complexes à réaliser, avec une fiabilité incertaine. Les bridges collés peuvent être une alternative plus économique.
Traitement Orthodontique
Conservation ou Augmentation des Espaces
- Traitement précoce : Vise à établir des relations de classe I molaires nettes, souvent à l’aide d’un fil élastique buccal (FEB) sur bagues.
- Traitement tardif : Repositionnement des canines en classe I et fermeture des diastèmes inter-incisifs à l’aide d’un dispositif multi-attaches.
Fermeture des Espaces
- Traitement précoce : Favorise la migration mésiale des canines et des premières molaires permanentes par :
- Extraction précoce des incisives et canines temporaires.
- Extraction des deuxièmes molaires temporaires (14, 24) ou meulage de leurs faces proximales (mésiales et distales).
- Traitement tardif :
- Coronoplastie : Réalisée avant le traitement orthodontique pour ajuster la forme des dents.
- Dispositif multi-attaches : Indispensable pour un alignement précis.
- Masque de Delaire : Utilisé si nécessaire pour corriger les décalages squelettiques.
- Finition esthétique : Reconstitution des angles des dents à l’aide de composites chargés.
- Rééquilibration occlusale : Meulage de la cuspide palatine de la première prémolaire supérieure (en position de canine) ou utilisation d’un onlay palatin.
Traitement des Agénésies Unilatérales
Approches Thérapeutiques
Le traitement des agénésies unilatérales des incisives latérales supérieures dépend de la présence ou non de microdontie de l’incisive controlatérale et des relations occlusales initiales.
- Microdontie de l’incisive latérale présente : Extraction précoce de la dent naine pour ramener le cas à une situation d’agénésie bilatérale, puis application des solutions décrites ci-dessus.
- Incisive latérale de taille normale présente : Le traitement dépend des relations molaires et des considérations de symétrie :
- Classe I sans DDM :
- Solution 1 unilatérale : Conserver l’espace pour la dent absente, avec pose d’une prothèse.
- Solution 2 ou 4 unilatérale : Déplacer la canine en position d’incisive latérale.
- Classe I avec DDM : Extraction de l’incisive latérale présente et des prémolaires inférieures, appliquant les solutions 3 ou 4 bilatérales.
- Classe II : Extraction de l’incisive latérale présente, appliquant la solution 2 bilatérale.
- Classe III : Extraction de l’incisive latérale restante et de deux prémolaires inférieures, appliquant les solutions 1 ou 5 unilatérales.
- Classe I sans DDM :
Agénésies des Deuxièmes Prémolaires Inférieures
Traitement des Agénésies Bilatérales
Conservation des Deuxièmes Molaires Temporaires
Lorsque les deuxièmes molaires temporaires sont saines et sans infraclusion, elles peuvent être conservées. Cela entraîne une légère relation de classe II molaire due à l’absence de dérive mésiale inférieure. À long terme, un bridge peut être réalisé après rhizalyse des racines des dents temporaires, qui persistent souvent longtemps.
Extraction des Deuxièmes Molaires Temporaires
- Traitement précoce (face longue, sans anomalie orthodontique) :
- Après extraction, un mésialage spontané des premières molaires inférieures peut se produire.
- Une germectomie des deuxièmes prémolaires supérieures peut être envisagée si les germes des dents de sagesse sont visibles.
- Traitement en denture adulte :
- Utilisation d’un dispositif fixe multi-attaches pour corriger les axes dentaires et fermer les espaces.
- Traitement tardif (face courte) :
- L’extraction des deuxièmes molaires temporaires ne permet pas toujours un mésialage spontané. Un isthme entre les premières molaires et prémolaires peut compliquer le déplacement mésial de la première molaire.
- Dans ce cas, l’extraction et le traitement orthodontique sont reportés à la denture adulte jeune.
Choix Thérapeutiques Selon les Anomalies Orthodontiques
- Décalage dento-dentaire (DDM) : Extraction des dents 15, 25, 85 et 75 pour corriger les malpositions.
- Classe II : Préférer la conservation des deuxièmes molaires temporaires.
- Classe III :
- Extraction précoce : Utilisation d’un FEB sur gouttière.
- Traitement tardif : Dispositif fixe complet, conservation des deuxièmes molaires temporaires si elles sont saines et si l’anomalie est alvéolaire antérieure.
Traitement des Agénésies Unilatérales
- Solution unilatérale (Classe I sans DDM) : Extraction de la deuxième prémolaire supérieure du même côté pour rétablir la symétrie.
- Solution bilatérale (DDM en classe I) : Extraction de la deuxième prémolaire symétrique et des dents 15 et 25 pour équilibrer l’occlusion.
Considérations Générales
Intégration des Aspects Esthétiques et Fonctionnels
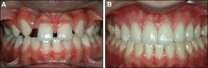
Le traitement des agénésies dentaires ne se limite pas à la correction orthodontique ou prothétique. L’esthétique faciale et dentaire joue un rôle crucial dans la satisfaction du patient. Par exemple, la teinte et la forme des dents doivent être harmonisées pour éviter des contrastes inesthétiques. De plus, la fonction occlusale, notamment la protection canine ou de groupe en latéralité, est essentielle pour prévenir les troubles de l’ATM.
Approche Multidisciplinaire
Une collaboration étroite entre l’orthodontiste, le prothésiste, et parfois le parodontiste est nécessaire pour évaluer les conditions initiales et planifier le traitement. Les décisions doivent intégrer les attentes du patient, les contraintes socio-économiques, et les limites biologiques (par exemple, la hauteur de gencive ou l’épaisseur de la corticale osseuse).
Considérations Socio-Économiques
Les solutions prothétiques, comme les bridges ou les implants, peuvent être coûteuses et nécessitent une maintenance à long terme. Les bridges collés offrent une alternative économique, mais leur fiabilité peut être limitée. Une discussion approfondie avec le patient sur les coûts et les bénéfices à long terme est donc essentielle.
Conclusion
Le traitement des agénésies dentaires, qu’il s’agisse des incisives latérales supérieures ou des deuxièmes prémolaires inférieures, repose sur une analyse rigoureuse des conditions cliniques et des attentes du patient. Les options thérapeutiques, qu’elles impliquent la conservation des espaces, la fermeture des diastèmes, ou l’utilisation de prothèses, doivent être adaptées à la morphologie dentaire, aux relations occlusales, et aux contraintes socio-économiques. Une approche précoce, combinée à une planification multidisciplinaire, permet d’optimiser les résultats esthétiques et fonctionnels, tout en minimisant les complications à long terme.
Voici une sélection de livres:
- “Orthodontie de l’enfant et de l’adulte” par Marie-José Boileau
- Orthodontie interceptive Broché – Grand livre, 24 novembre 2023
- ORTHOPEDIE DENTO FACIALE ODONTOLOGIE PEDIATRIQUE
- Orthopédie dento-faciale en dentures temporaire et mixte: Interception précoce des malocclusions Broché – Illustré, 25 mars 2021
- Nouvelles conceptions de l’ancrage en orthodontie
- Guide d’odontologie pédiatrique: La clinique par la preuve
- Orthodontie linguale (Techniques dentaires)
- Biomécanique orthodontique
- Syndrome posturo-ventilatoire et dysmorphies de classe II, Bases fondamentales: ORTHOPÉDIE ET ORTHODONTIE À L’USAGE DU CHIRURGIEN-DENTISTE
Leave a Reply