LE DOSSIER ORTHODONTIQUE
LE DOSSIER ORTHODONTIQUE
INTRODUCTION
Le dossier orthodontique est constitué de documents enregistrés auxquels doivent s’ajouter des documents complémentaires choisis selon l’âge du patient et les besoins particuliers mis en évidence par l’examen clinique.
Il comporte essentiellement les examens complémentaires qui complètent et précisent l’examen clinique en permettant de mesurer et de quantifier les différentes anomalies observées. Certains examens sont incontournables tels que : les modèles d’étude, les photographies, la radiographie panoramique ainsi que la téléradiographie de profil prise en occlusion, auxquels sont souvent ajoutés d’autres documents complémentaires choisis selon l’âge du patient (radio du poignet) et les besoins particuliers du traitement (cône beam).
Les moulages orthodontiques
Définition
Les moulages orthodontiques constituent un précieux document du dossier d’un patient, qu’ils soient en plâtre ou en 3D. C’est la reproduction positive des arcades dentaires et des tissus mous du patient. Ils permettent l’évaluation objective et quantitative des paramètres occlusaux et dentaires indispensables à l’élaboration du plan de traitement.
Il convient de réaliser trois moulages : ceux de début de traitement (noir), ceux de fin de traitement (rouge), et ceux de la fin de contention (vert).
Coulée et taille

La coulée se fera en plâtre orthodontique extra dur (classe 3) qui servira également à la réalisation des socles (conformateurs). Ils doivent reproduire d’une façon fidèle : les dents, les procès alvéolaires, les vestibules, le palais, la région tubérositaire et les trigones rétro-molaires (1 à 2 mm en arrière).
Les moulages sont taillés par un taille-plâtre équipé d’un angulateur selon des angles bien précis.
TAILLE AMÉRICAINE
| Étape | Description |
|---|---|
| Coulée | Utilisation de plâtre orthodontique extra dur (classe 3) pour les arcades et les socles. |
| Fidélité | Reproduction fidèle des dents, procès alvéolaires, vestibules, palais, région tubérositaire et trigones rétro-molaires (1 à 2 mm en arrière). |
| Taille | Réalisée avec un taille-plâtre équipé d’un angulateur selon des angles précis. |
Intérêt
Les moulages orthodontiques permettent de faire :
- L’analyse des relations intra-arcade : évaluer les formes des arcades, calculer la DDM (disponibilité d’espace), repérer les malpositions dentaires et évaluer les courbes de compensation.
- L’analyse des relations inter-arcades : déterminer la classe d’Angle, calculer le surplomb et le recouvrement incisif, noter la coïncidence ou non des milieux inter-incisifs, vérifier l’articulé latéral, calculer l’indice de Bolton (DDD).
- La confection des dispositifs : orthopédiques et orthodontiques.
- La réalisation d’un set-up : qui permet de visualiser la position dentaire post-thérapeutique (simulation du traitement).
Les moulages numériques
Les moulages en plâtre, qui s’avèrent fragiles et encombrants, peuvent désormais être remplacés par des modèles numériques. Ils sont obtenus par numérisation d’empreintes conventionnelles ou de modèles en plâtre, ou bien directement par empreinte optique, voire par l’intermédiaire d’un CBCT ou d’un scanner.
Leurs principaux avantages sont :
- La précision accrue.
- Les délais de production réduits.
- L’économie d’espace de stockage.
- L’accès rapide et facile aux modèles archivés.
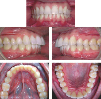
La photographie

Les photographies font partie du dossier orthodontique car elles permettent de compléter et de détailler l’examen clinique et surtout d’en conserver une image objective, référence pour les comparaisons ultérieures.
Les photographies exobuccales
Les photographies exobuccales de face, de profil et la ou les photographies du sourire.
La photographie du sourire, souvent prise de trois quarts, est de plus en plus souvent remplacée ou complétée par une photographie du sourire de profil.
Les photographies endobuccales

Les photographies endobuccales de face et latérales droite et gauche, complétées par des vues occlusales maxillaire et mandibulaire.
L’utilisation de miroir intra-buccal améliore la qualité de ces clichés.
La radiographie
L’examen radiographique est un outil primordial en médecine dentaire. Il permet d’établir le diagnostic en complément des données cliniques, d’orienter le plan de traitement et de réaliser un bon suivi de nos patients.
Plusieurs techniques sont à l’usage du praticien, à chacune ses indications et ses limites, on trouve :
- Radiographies de 1ère intention : panoramique et téléradiographie de profil.
- Radiographies de 2ème intention : mordu occlusal, rétro-alvéolaire, téléradiographie de face et axiale et radiographie de la main.
- Radiographie de 3ème intention : scanner et cône beam.
La prescription de radiographie doit tenir compte de ce que l’on recherche, il est inutile de trop irradier inutilement le patient.
L’orthopantomogramme
La radiographie panoramique est l’examen de première intention, c’est un véritable examen de débrouillage de la région dento-maxillaire. Cette technique radiologique permet d’obtenir sur un seul film une image globale de l’ensemble des arcades dentaires. C’est un examen simple, peu irradiant, qui permet une mise à plat des structures courbes dento-maxillaires et s’avère souvent suffisant.
Après avoir recherché des images radio-claires ou radio-opaques laissant suspecter une pathologie de type kyste, tumeur…, on étudie en particulier :
- La formule dentaire.
- L’état et la morphologie dentaires.
- Les sinus et les fosses nasales.
- Les ATM (articulations temporo-mandibulaires).
- La morphologie des deux hémi-mandibules et leur symétrie.
C’est un examen indispensable dans le dossier orthodontique.
Téléradiographies

Ces radiographies donnent une image du crâne et de la face avec une déformation minime permettant la céphalométrie. De plus, grâce à la standardisation des conditions de prise du cliché et d’orientation de la tête, il est possible de comparer des clichés entre eux et donc d’étudier la croissance du patient ou les effets thérapeutiques.
Trois incidences sont utilisées en orthopédie dentofaciale :
La téléradiographie de profil en norma lateralis
La plus utilisée, elle permet :
- L’étude des structures basales, alvéolo-dentaires et crâniennes dans les plans sagittal et vertical grâce aux différentes analyses céphalométriques.
- De déterminer le taux et la direction de croissance.
- L’évaluation des résultats grâce aux techniques de superposition en cours et en fin de traitement.
Cet examen ne donne aucune information du sens transversal.
La téléradiographie de face en norma frontalis
Elle permet :
- L’analyse des dysmorphoses dento-cranio-faciales dans les sens vertical et transversal ; donc trouve son indication en présence de dysmorphoses du sens transversal.
- D’évaluer la largeur des maxillaires et de la mandibule ainsi que leurs rapports.
- De mesurer la distance inter-canines et inter-molaires.
La téléradiographie basale en norma axialis
Habituellement prise en O.D.F. avec le rayon incident perpendiculaire au plan de Francfort cutané, incidence dite de HIRTZ.
C’est “une vue négligée en céphalométrie” pourtant, la mandibule est beaucoup mieux étudiée en vue axiale et permet d’étudier son implantation sur la base du crâne. Aussi, elle donne une bonne image du complexe dentaire.
La rétro-alvéolaire
Le cliché rétro-alvéolaire trouve son indication en complément du panoramique dentaire pour apporter plus de précisions en dimensions réelles d’un groupe de dents bien déterminé : inclusion, agénésie, résorption… Il permet aussi de préciser :
- La forme et l’anatomie de la racine.
- L’état du follicule dentaire et de l’espace desmodontal.
- L’existence d’une ankylose.
Le mordu occlusal
C’est un cliché qui permet d’obtenir une image globale des deux arcades dentaires en vue occlusale maxillaire ou mandibulaire.
Il détermine avec précision la position vestibulo-linguale de la dent, surtout incluse.
La radiographie de la main
La région de la main et du poignet comporte de nombreux petits os dont la maturation permet au praticien la lecture de l’âge osseux et donc situer son patient sur sa courbe de croissance et de prévoir le taux de croissance à venir.
L’os sésamoïde (face interne de la 1ère phalange du pouce) apparaît en moyenne avant le pic de croissance pubertaire, laissant au praticien de juger de la possibilité d’un traitement orthopédique.
L’imagerie sectionnelle 3D
Les évolutions récentes dans le domaine de l’imagerie n’ont pas épargné notre discipline et l’orthodontie tire aujourd’hui les bénéfices apportés par l’imagerie en coupe.
En effet, les analyses céphalométriques 3D se développent et doivent permettre d’éliminer les imprécisions inhérentes aux radiographies conventionnelles.
Le scanner
Il est devenu un moyen d’exploration de routine, d’accès facile et aux indications multiples, il réalise des coupes de 1 à 10 mm d’épaisseur dans les 3 sens de l’espace avec possibilité de reconstitution.
Le Denta Scan
C’est une technique de scanographie spécifique à l’exploration en médecine dentaire, sa principale indication est l’étude des inclusions.
Le cône beam
Ou tomographie volumique à faisceaux coniques (CBCT) est une nouvelle technique d’imagerie radiographique en plein développement qui présente des résultats de type scanner avec une irradiation moindre. Plus précis qu’un panoramique et moins irradiant qu’un scanner classique. Il permet de focaliser les rayons uniquement sur la zone à visualiser réduisant ainsi l’irradiation.
Les bilans médicaux
Des explorations médicales sont souvent nécessaires à l’établissement du diagnostic étiologique :
- Bilan oro-laryngologique (ORL) : à la recherche d’obstacles à la respiration qui devront être supprimés ou du syndrome d’apnées – hypopnées obstructives du sommeil.
- Bilan psychologique : des troubles psychoaffectifs peuvent générer des habitudes nocives, tics de succion ou de mordillement, facteurs d’apparition d’anomalies orthodontiques.
- Bilan à la recherche d’un terrain allergique.
Conclusion
L’examen clinique est primordial mais il est aussi insuffisant, il doit être mis en relation avec l’ensemble des examens complémentaires afin d’établir le diagnostic le plus précis possible et donc le plan de traitement le plus adapté à chacun des patients.
Bibliographie
- Bassigny F. Manuel d’orthopédie dento-faciale. Paris: MASSON; 1983.
- Boileau M-J, Canal Pierre. Orthodontie de l’enfant et du jeune adulte Tome 1 : principes et moyens thérapeutiques. Issy-les-Moulineaux: Elsevier Masson; 2011.
- Masson E. Examen clinique de la face en orthopédie dentofaciale [Internet]. EM-Consulte. [cité 21 oct 2021]. Disponible sur: https://www.em-consulte.com/article/237519/examen-clinique-de-la-face-en-orthopedie-dentofaci
- Philippe J. La beauté, la normalité et la moyenne. Rev Orthop Dento Faciale. 1 sept 2004;38(3):333‑43.
Voici une sélection de livres:
- “Orthodontie de l’enfant et de l’adulte” par Marie-José Boileau
- Orthodontie interceptive Broché – Grand livre, 24 novembre 2023
- ORTHOPEDIE DENTO FACIALE ODONTOLOGIE PEDIATRIQUE
- Orthopédie dento-faciale en dentures temporaire et mixte: Interception précoce des malocclusions Broché – Illustré, 25 mars 2021
- Nouvelles conceptions de l’ancrage en orthodontie
- Guide d’odontologie pédiatrique: La clinique par la preuve
- Orthodontie linguale (Techniques dentaires)
- Biomécanique orthodontique
- Syndrome posturo-ventilatoire et dysmorphies de classe II, Bases fondamentales: ORTHOPÉDIE ET ORTHODONTIE À L’USAGE DU CHIRURGIEN-DENTISTE
LE DOSSIER ORTHODONTIQUE

Dr J Dupont, chirurgien-dentiste spécialisé en implantologie, titulaire d’un DU de l’Université de Paris, offre des soins implantaires personnalisés avec expertise et technologies modernes.

