Diagnostic des Anomalies dento-alvéolaires du sens transversal
Diagnostic des Anomalies dento-alvéolaires du sens transversal
Introduction
Les anomalies basales du sens transversal suscitent une attention particulière de la part de l’orthodontiste en raison de leur répercussion sur les autres sens (vertical et sagittal) ainsi que de la difficulté de leur diagnostic.
Définition
Ces anomalies correspondent à des troubles de l’occlusion dans le sens vestibulo-lingual d’origine alvéolaire, localisés au niveau des secteurs latéraux. Elles peuvent être maxillaires ou mandibulaires, symétriques ou asymétriques, isolées ou associées à d’autres anomalies. À ces anomalies morphologiques peuvent s’ajouter des anomalies cinétiques, comme la latérodéviation.
Remarque : Le diagnostic des anomalies dento-alvéolaires du sens transversal repose sur :
- L’examen clinique
- L’examen radiologique
- L’étude des moulages (indices et mensurations)
Formes Cliniques
Les Anomalies Maxillaires
L’Endoalvéolie Maxillaire
Définition
L’endoalvéolie maxillaire correspond à une insuffisance du développement transversal des procès alvéolaires, caractérisée par une inclinaison normale des molaires et prémolaires, associée ou non à un encombrement incisif maxillaire.

L’Endoalvéolie Maxillaire Symétrique avec Linguocclusion Bilatérale
Signes Faciaux
- Peu marqués dans les formes légères.
- Dans les cas sévères, on note un amincissement et un allongement de la face.
Signes Occlusaux
- Arcades séparées :
- Arcade maxillaire : La voûte palatine est symétrique et parfois relativement profonde (ogivale), mais ce signe est très inconstant.
- Encombrement incisif maxillaire important.
- Absence d’abrasion des canines de lait et des cuspides d’appui droites et gauches des dents temporaires.
- Arcade mandibulaire : Forme habituelle, sans encombrement incisif notable.
- D.D.M. (dysharmonie dento-maxillaire) associée.
Agencement Inter-Arcade
- En denture temporaire : L’occlusion croisée bilatérale est un signe d’endoalvéolie maxillaire.
- En denture permanente :
- Linguocclusion bilatérale en intercuspidie maximale (ICM).
- Coïncidence des milieux incisifs en relation centrée (RC) et en ICM.
- Latérodéviation mandibulaire rare, sauf en présence d’une incisive latérale en linguocclusion.

Endoalvéolie Asymétrique
S’observe par manque de stimulation de la croissance du maxillaire supérieur (déglutition atypique, mastication unilatérale).
Signes Faciaux
- Peu marqués, contrairement à l’endognathie où l’on observe :
- Déformations faciales par aplatissement côté endognathie.
- Convergence des lignes sourcilière et commissurale du côté atteint.
Signes Occlusaux
- Linguocclusion unilatérale en ICM du côté atteint.
Signes Fonctionnels
- Respiration buccale ou mixte à prédominance buccale, due à une obstruction nasale (végétations adénoïdes) ou à une hypertrophie amygdalienne.
- Déglutition atypique avec étalement lingual entre les arcades.

Signes Téléradiographiques
- De profil : Si l’endoalvéolie maxillaire est isolée, on n’observe pas de modifications, sauf parfois une augmentation de la dimension verticale (D.V.).
- Incidence de face :
- Diminution de la largeur maxillaire.
- Diminution de la largeur nasale.
- Arcade mandibulaire normale.
Étiologie
- Génétique : Syndrome de Crouzon, fentes labio-palatines.
- Absence de stimulation linguale (déglutition atypique).
- Obstruction nasale uni- ou bilatérale.
- Traumatisme de la région maxillaire.
- Infection maxillo-faciale ayant entraîné un déficit ostéo-musculaire (ostéite maxillaire précoce, sinusites).
- Mastication unilatérale.

Diagnostic Différentiel
- Endognathie maxillaire.
- Exoalvéolie mandibulaire.
- Exognathie mandibulaire.
- Latérodéviation mandibulaire.
L’Exoalvéolie Maxillaire
Définition
Anomalie peu fréquente et indissociable de l’endoalvéolie mandibulaire. Elle peut être aggravée en association avec le syndrome de Brodie, causant une inocclusion totale.
Diagnostic Positif
L’exoalvéolie peut être uni- ou bilatérale.

Exoalvéolie Unilatérale
- Exceptionnelle, relève de l’hémi-hypertrophie faciale.
- Signes cliniques très marqués.
Exoalvéolie Bilatérale
Caractérisée par :
- Une face large et courte.
- Des pommettes saillantes.
- Une implantation verticale des dents latérales sur une base large.
- Supraclusion importante.
- Mandibule inscrite dans le maxillaire.

Ventilation et Posture Linguale
- Ventilation nasale et posture haute de la langue.
- Ventilation orale et posture basse de la langue.
- Déglutition atypique avec interposition linguale, empêchant le développement.

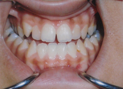
Image : Endoalvéolie bilatérale sévère associée à une D.D.M. par macrodontie, pouvant faire penser à une exoalvéolie mandibulaire.
Les Anomalies Mandibulaires
Endoalvéolie Mandibulaire
Définition
En général, la rétroposition associée à l’endoalvéolie mandibulaire laisse croire à une endognathie mandibulaire, ce qui fait que cette anomalie n’existe pas à l’état pur. Elle est caractérisée par :
- Étage inférieur diminué.
- Vestibuloclusion des secteurs latéraux maxillaires.
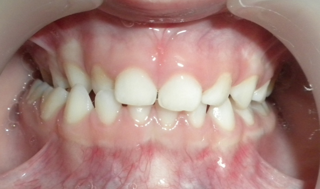
Image : Orthodontie pédiatrique Archives – ODF
Exoalvéolie Mandibulaire
Définition
Anomalie moins fréquente, caractérisée par :
- Une mandibule trop large, la rendant visible sur la face.
- Une langue volumineuse, trop basse et antérieure.
- Une vestibuloclusion des dents inférieures.
Étiologie
- Position linguale basse.
- Macroglossie, ankyloglossie.
- Expansion transversale exagérée.
- Génétique : Hémi-hypertrophie faciale.
Diagnostic Différentiel
- Endoalvéolie maxillaire.
- Endognathie maxillaire.
- Exognathie mandibulaire.
Les Troubles de la Symétrie Faciale
La Latéro-Déviation Fonctionnelle
Définition
Anomalie cinétique de position de la mandibule sans atteinte de sa forme. Elle est caractérisée par :
- Au repos : Symétrie faciale parfaite, parallélisme entre les lignes horizontales (bi-sourcilière, bi-pupillaire et bi-commissurale), rapports labiaux normaux, et coïncidence des freins médians et des milieux incisifs avec le plan sagittal médian (PSM).
- En occlusion : Déviation latérale du menton, convergence des lignes horizontales du côté de la déviation, déviation latérale (droite ou gauche) de la médiane inférieure, et dysharmonie occlusale transversale.
Signes Téléradiographiques (Incidence Frontale)
- Au repos : La mandibule est d’une largeur normale et symétrique, ainsi que les structures de la base du crâne et du maxillaire.
- En ICM : Déviation latérale du menton et du milieu incisif inférieur.
Étiologie
- Contact prématuré ou interférence déflectrice unitaire ou multiple.
- Endoalvéolie maxillaire symétrique.
Diagnostic Différentiel
- Latérognathie mandibulaire.
- Latérodéviation dentaire.
Latérodéviation Mandibulaire Sévère
Définition
Déformation structurale dissymétrique ayant pour conséquence une déviation du milieu incisif inférieur d’origine squelettique. Elle est caractérisée par :
- Retentissement facial avec convergence des lignes horizontales (bi-sourcilière, bi-pupillaire, bi-commissurale) vers le côté atteint.
- Déviation latérale permanente du corps de la mandibule.
- Occlusion inversée unilatérale.
- Milieux incisifs déviés en ICM et en RC.
Causes
- Hypertrophie condylienne unilatérale.
- Hypertrophie transversale du corps.
- Hypertrophie transversale et verticale de tout l’hémi-mandibule.
- Hémi-atrophie mandibulaire.
Diagnostic Différentiel
- Latérognathie mandibulaire.
- Exoalvéolie unilatérale.
- Endognathie et endoalvéolie maxillaires unilatérales.
- Déviations dentaires.
- Atteintes basi-crâniennes (plagiocéphalie).
- Atteintes rachidiennes (torticolis).
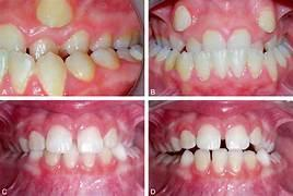
Image : Latérodéviation mandibulaire.
Indices et Mensurations
Image : Exemple d’indices et mensurations pour le diagnostic des anomalies dento-alvéolaires.
Examen Radiologique
Examen radiologique
Image : Radiographie de face pour le diagnostic des anomalies dento-alvéolaires.
Conclusion
Les dysmorphoses dento-alvéolaires du sens transversal se retrouvent le plus souvent combinées à une dysmorphose du sens sagittal et/ou vertical. Notons également que des compensations alvéolaires peuvent parfois masquer une anomalie squelettique, ce qui complique considérablement le diagnostic.
Bibliographie
- Antonio Patti, Guy Perrier d’Arc. Les traitements Orthodontiques Précoces. Paris : Quintessence International, Octobre 2003. 121 p.
- Bassigny, F. Manuel d’orthopédie dento-faciale. Masson, 1983.
- Marie-José Boileau. Orthodontie de l’enfant et du jeune adulte Tome 1. Elsevier Masson, 2011.
Voici une sélection de livres:
- “Orthodontie de l’enfant et de l’adulte” par Marie-José Boileau
- Orthodontie interceptive Broché – Grand livre, 24 novembre 2023
- ORTHOPEDIE DENTO FACIALE ODONTOLOGIE PEDIATRIQUE
- Orthopédie dento-faciale en dentures temporaire et mixte: Interception précoce des malocclusions Broché – Illustré, 25 mars 2021
- Nouvelles conceptions de l’ancrage en orthodontie
- Guide d’odontologie pédiatrique: La clinique par la preuve
- Orthodontie linguale (Techniques dentaires)
- Biomécanique orthodontique
- Syndrome posturo-ventilatoire et dysmorphies de classe II, Bases fondamentales: ORTHOPÉDIE ET ORTHODONTIE À L’USAGE DU CHIRURGIEN-DENTISTE
Leave a Reply